你知道“人肉”是什麼味道嗎?英國一位小哥為“改善一下伙食”,想吃點“人肉”試試,於是從自己的大腿上取下一塊肉煮熟,當他聞到這塊肉的味道後差點沒控制住自己,那麼“人肉”到底是啥味道呢?
俗話說“人肉”是酸味的,但是這位英國小哥,捨身來為我們證明,“人肉”的味道並不酸,並且根據小哥的描述,這塊“人肉”的味道聞起來十分的不錯,並且笑著說出了一句讓人後背發涼的話,他說:“我想吃了它”。
這塊肉聞起來就像是真正的肉香,甚至比豬肉和雞肉的味道,聞起來還香,可無奈在英國吃“人肉”是要遭受牢獄之災的。
就算是吃自己的肉也不行,所以小哥並沒有吃下自己的肉,但是為了體驗一下“人肉”的感覺,於是他憑藉著“人肉”樣本中提取到的味道。買來了豬肉和雞肉,將它們混合起來,烹製出了最接近“人肉”味道的肉餅,又做成了““人肉”漢堡”的樣子。
品嚐後的小哥表示,這個漢堡是他此生吃過的最香的漢堡,並且還說,這個味道已經非常接近“人肉”的味道了,咱也不知道這是他的心理作用,還是真的這麼認為。
由於在我們的從小的認知中,吃人是絕對的禁忌,當然除了極個別的惡性事件,或者是處於一種惡劣的環境下,除了這樣的情況,是沒有人願意吃“人肉”的。
甚至從心底就會感到厭惡和排斥,而這種心理和生理上產生的反應,主要是由於在我們所認知的知識裡,“人肉”是一定不能吃的。
但是在歷史上的記載中,就曾經出現過不少吃“人肉”的案例,那麼為什麼會出現“人吃人”的現象呢?
就在1943年的列寧格勒保衛戰時,戰爭破壞了城市內所有的公共設施還有能源,並且還阻斷了糧食的來源,城市中成千上百萬人顛沛流離,人人都是餓著肚子,能吃的東西都已經全部吃完。
造成了空前絕倫的大饑荒事件,造成了150萬人死亡,就這樣“人吃人”的事件就發生了,並且層出不窮,到處都瀰漫著死亡的氣息,因為戰爭的原因,才讓人們出現了這樣的選擇。
除此之外,自然災害帶來的災難也並不小於戰爭。
1875年華北地區就發生了,史無前例的大旱災,人稱丁戊奇荒,山東 河南 山西 等地都發生了大範圍的嚴重旱災。
並且這場大災難,還在逐漸影響周圍的其他幾個省份,甚至連江南地區都受到了一定的影響而且這場大災難,一直持續到了1878年。
整整4年,天災加上這亂世,讓老百姓不得不成為流民,只能外出逃荒,面對無糧可吃的情況,不少人不得不選擇吃黏土,但是因為黏土在肚子裡不能被消化,所以不少人都脹著肚子被“餓死”。
飢餓難當的災民,甚至已經開始賣兒賣女聚眾搶糧,在重災區,還會每天上演“人吃人”的現象,如果這次讓2億人受災的饑荒,是不得已吃人的原因。
那麼在現實中,卻有人把“吃人”當做是一種信仰,就在北印度恆河的沿岸,生活著一群的食屍者。
他們信奉著溼婆神毀滅的力量,在這個族群中,他們打從心底裡相信死者,擁有著神秘的力量,吃了就可以擁有這種力量,屍體就是“神的禮物”。
但是他們並不殺人只是對屍體情有獨鍾,眾所周知在印度恆河水對他們的意義重大,他們會將去世的人放進恆河水進行水葬,而食屍者就會將死者的屍體打撈出來進行食用。
並且不止如此,他們還會將死者的骨灰抹在自己的身上,並且用他們的頭骨拿來裝水喝,在他們看來,生吃屍體其實是為了更近的與神進行溝通。
這樣就可以得到神的庇佑,而且被吃的人也能夠得到身體和心靈的救贖,不得不說,這些人的口味實在是有點重。
其實,“人肉”的味道並不怎麼美好,甚至可以說是難以下嚥。
就在《盧氏雜記》中就曾經記載過“人肉”的味道,“人肉腥且肕 爭堪吃”,這句話的大概意思是,也就是說“人肉”十分的腥氣,並且肉質老 很難咀嚼。
從這個對“人肉”的描寫中,我們可以看出“人肉”並不是一種可以嘗試的食物,並且不止是史料記載,就連老一輩的俗話都在說,“人肉”是酸的,就像是在醋罈子裡泡過一般,根本難以下嚥。
甚至還有人說“人肉”就像是貓肉一樣,總的來說,“人肉”的味道並不好,並且它除了味道差以外,食用它甚至會引來致命的危險,甚至可以說是,同類相食會有巨大的危險。
那麼吃“人肉”會給自身帶來什麼致命的危害呢?使用“人肉”最直接的危害就是,會得一種嚴重的疾病,那就是庫魯病。
這種病又可以稱為笑病,而這種病就和吃“人肉”有關,庫魯病是最早研究的人類病毒病,就在上個世紀中期,美國科學家卡頓家杜塞克和一名澳大利亞醫生家索姆。
第一次記錄到了庫魯病,在大西洋巴布亞紐幾內亞高原,生活著一群原始部落,他們長久以來就一直與世隔絕,庫魯病就是在這裡發現的。
而這種病翻譯過來也就是“顫抖變壞病”,而且這種病的病症也十分的奇特,這種病最初的特點表現為手腳疼痛 頭痛和行走不穩,漸漸的他們就不能再站立和行走,只能夠依靠木棍的力量艱難的行走。
然後再經過幾周的時間後,僅僅是依靠木棍已經不能使他們行動了,於是就只能坐著進行一些行動,接著他們的肌肉就開始萎縮,智力也隨之下降,直到最後智力也完全消失,已經到了痴呆的地步。
他們的身體不能移動記憶也完全消失,大小便也開始失禁,甚至有的患者還會不自覺地,發出詭異的大笑,當他們開始大笑時。
也就意味著,病人已經離死亡不遠了,這樣子就像是被魔鬼附身了一樣,最終會在一種癲狂的狀態下慢慢死去,在當地每年最少會有200百人會因此病去世。
隨著科學家和醫生對這種病,進一步的研究後發現,在這個部落有著一種,歷史悠久的習俗也就是食人,但是這裡的食人族,並不是透過捕殺的手段,去獵殺其他部落的人為食,而是食用自己最親近人的屍體。
他們的這種習俗,是我們現代人不論怎樣都無法接受的,但是在他們的觀念中,認為透過食用有智慧的長者的屍體,就可以透過吃來獲得他最高的智慧。
並且這種行為也就是在表示,對死去長者的尊重,其實這也就像是我們常說的,吃啥補啥了吧。
而且在他們那裡,科學家還發現了一種特殊的現象,他們有著非常明顯的男尊女卑的習俗,當他們在食用長者的身體時,只有男人才有權吃死者的肌肉組織。
而婦女和兒童卻只能吃,死者的大腦和身體的內臟,其中也就包括死者的腦組織,並且在部落中,兒童和婦女患病的機率是遠遠高於男子的。
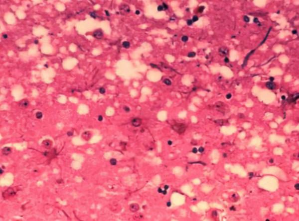
於是科學家就準備從這裡入手,開始調查,科學家將病人的腦組織,放在顯微鏡下進行觀察。發現這些腦組織中有著無數的小孔,看起來就像是海綿一樣。
這樣的表現也就是說明,這塊腦組織有極大的可能是被細菌引起感染,才導致的病症,於是為了驗證這一觀點,科學家將病人的腦組織接種給黑猩猩。
果然,黑猩猩也出現了類似於庫魯症的症狀,這樣的結果也就是在表明,庫魯病的病因就是因為吃人所導致的。
在吃人時同時把死者體內的致病因子,也吃進了肚子,於是經過科學家們進一步的研究,這種疾病其實是由一種蛋白質所導致的。
由於人和人之間,蛋白質的結構不同,從而就會導致人體本身的蛋白質產生改變,所以才會有這樣的症狀。
這種蛋白質又稱之為朊,所以這種病毒被稱為朊病毒,或者是蛋白質病毒,這種病毒的獨特之處,就是它和其他的病毒不同。
它沒有DNA和RNA,但是卻可以和病毒一樣進行繁殖,而且它還稱不上是一個病毒,它只有已知最小病毒的1%。
並且它在被高溫蒸煮4小時後,仍然有很強的感染力,一旦被感染,基本就無法被消滅,一旦發病,6個月到1年就會發病,直至死亡。
但是我們不用過於恐慌,因為這種病毒的傳播途徑十分的有限,一個是因為家族傳播,第二個是因為醫源性感染,第三個則是因為吃“人肉”而傳播。
而我們所熟知的瘋牛病,也是由於牛感染了朊病毒所導致的,當一頭牛被宰殺後,當身體的各個部位都已經被販賣後。剩下的內臟以及賣不出去的部位。
都會被製成肉骨粉,並且新增到牛飼料中,就是因為這樣的操作,使牛間接地感染了朊病毒,感染後就會出現瘋癲運動失調,或者是許多的過激行為。
這種行為就是瘋牛病的表現,而且不僅僅是牛,任何的動物只要出現,同類相食的行為就會感染朊病毒。
如果人不小心吃了,感染了朊病毒的動物,同樣的人類也會被感染,這種病症也被稱為克雅氏症。
一旦感染,大多數人會在一年內死亡,而且曾經在英國就出現過,這樣的事情。
1995年一位年輕人突然精神錯亂,呈現瘋癲的症狀,就和瘋牛病一樣,而且後來又有數百人出現了一樣的症狀,經過調查後發現。
這些人無一例外,都吃有瘋牛病的牛,這樣的事情一出,整個歐洲都變得人心惶惶,所以同類相食的危害巨大,為了保住小命,還是不要冒險嘗試。
並且於情於理於法律都不允許我們這樣做,而且我們在買肉時,一定要買檢疫合格的肉類,不要讓病毒鑽了空子。
今天的分享到這就結束了,我們下期再見!






















 
			 
			 
			 
			 
			 
			 
			 
			 
			 
			 
			 
			 
			 
			 
			