9月1日上午,一位身材適中、打扮入時的女士走進了位於濟南市天橋區濟洛路的宮氏腦針總部診所。
她叫白亞妮(化名),今年48歲,來自威海,自2018年,白女士就飽受眼底視網膜黃斑性病變的折磨和困擾,至今三年多了。
視網膜黃斑性病變,是一種嚴重的眼底疾病。早期症狀比較輕微,隨著病情加重,逐步出現視力明顯下降,視物變形、顏色異常的症狀。如不及時治療,其新生血管產生的代謝物會堵塞視網膜之後的“玻璃膜”,以至於重要的營養素無法從血孔進入視網膜,廢物的排出也會出現障礙,這將造成視網膜細胞的衰亡,導致永久性失明。
本來日子過的平靜又安逸,可自從患上眼疾後,白女士心情變得煩燥而又焦慮,失眠健忘、頭暈頭痛、厭食、便秘等症都找上身。剛患眼疾時,看東西模糊,“就像蒙了一層紗”,睡覺休息後緩解,當時覺得是疲勞的原因,但逐漸地,休息之後也不起作用。自去年下半年開始,感到眼晴看東西更模糊,視物不清的時間更長,今年以來覺得更重了。
白女士曾諮詢了很多醫生,查閱了不少資料,愈熟悉愈擔擾。失明!太可怕了,這種危險籠罩著她,一度變得惶惶不可終日。
“黃斑病變一般指老年病,我還不到老年啊,怎麼提前步入”?
“我都快讓我的眼睛愁死了”,白女士說。
今年6月,白女士到北京一所醫院治療,醫生推薦使用了一種注射療法,“能緩解,可是費用太高,而且不能永久,要不斷地注射才行。”白女士嘆道。
宮氏腦針發明者宮長祥,對白女士的病情進行了認真研究,9月1日開始了第一個療程的治療,當天紮下第1針。
第2天在開始扎針之前,白女士就高興地說:“昨天上午扎針後,下午就感覺眼睛變亮,以前看東西就像玻璃窗上霧濛濛一片,現在那層霧擦掉了,清亮了”。
![]()
上圖0CT影象顯示,右眼黃斑裂孔(上),接受腦針治療後,好轉穩定,沒有再發展。
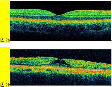
![]()
上圖0CT影象顯示:左眼黃斑裂孔(上),接受腦針治療後,裂孔癒合(下),視力得到明顯改善。
宮長祥認為,導致白女士眼底視網膜黃斑病變,主要是脾腎陽虛、心營虧虛、肝腎不足、肝氣鬱結所致。中醫治療應注重調理髒氣虛衰、脾腎兩虛、肝鬱火旺等五臟功能,標本兼治,而且以補虛為主,辮證施治。這樣以腦針治療為主,同時輔以中藥湯劑,兩種療法有機結合,相得益彰。
一針又一針紮下去,效果一天比一天好起來,視力繼續提升。同時,困擾白女士的其他毛病,失眠健忘、頭暈頭痛症狀大大減輕,多年的便秘也治好了。
第一個療程結束後,白女士趕到北京檢查。眼睛視神經成像圖(0CT)結果顯示:“右眼病情穩定,沒有發展,左眼有較大好轉。”白女士看了既驚喜又激動。
![]()
上圖右側4幅為9.17日0CT影象;左側4幅為10.20日0CT影象。
10月20日,治療到第三個療程的中間階段時,白女士第二次到北京複查,診斷及0CT成像結果顯示:“右眼病情穩定,未有再發展;左眼繼續好轉,裂孔己癒合,明顯改善症狀”。
宮長祥同樣感到十分高興,他表示:目前,國內和國際還沒有能夠治癒這種病的藥物,有些方法只能短期改善症狀,起緩解作用,不能“一勞永逸”。這例用腦針輔以中藥,對白女士眼底視網膜黃斑性病變的治療,療效十分顯著。
10月27日,白女士結束了第三個療程的最後1針,踏上了回家的路程。
(牧天)
![]()
找記者、求報道、求幫助,各大應用市場下載“齊魯壹點”APP或搜尋微信小程式“壹點情報站”,全省600多位主流媒體記者線上等你來報料!
