結核病是由結核分枝桿菌透過空氣傳播引起的世界性傳染病。根據2021年世界衛生組織釋出的全球結核病報告,2020年全球範圍內約有990萬新病例,約150萬人死於結核病。
受COVID-19大流行影響,2020年結核病作為單一傳染源的死亡原因將降至第2位。耐藥結核病仍然是一個公共健康威脅。瞭解結核分枝桿菌如何在宿主中發生突變和進化從而產生耐藥性,將為改進結核病治療和控制策略提供理論指導。
結核分枝桿菌在遺傳上是靜態的,突變率低,並透過單核苷酸多型性進化。然而,在持續化療的情況下,一小部分結核菌最終會產生廣泛的抗生素耐藥性。目前尚不清楚這種基因穩定的生物體為何能如此迅速地適應抗生素治療和感染宿主的免疫壓力。
微生物表觀遺傳學是研究微生物多樣性形成、基因調控、進化遺傳和表型分析的重要新興領域。細菌中最常見的DNA甲基化在腺嘌呤上(N6-methyladenine,6mA),在結核菌中有3種甲基轉移酶-MamA、MamB和HsdM。臨床分離的結核分枝桿菌的6mA甲基化組分析顯示DNA修飾有助於細菌快速適應不斷變化的環境壓力;結核菌不同進化譜系來自不同的地理區域,這些結核菌亞群的遺傳變異影響耐藥性的進化。
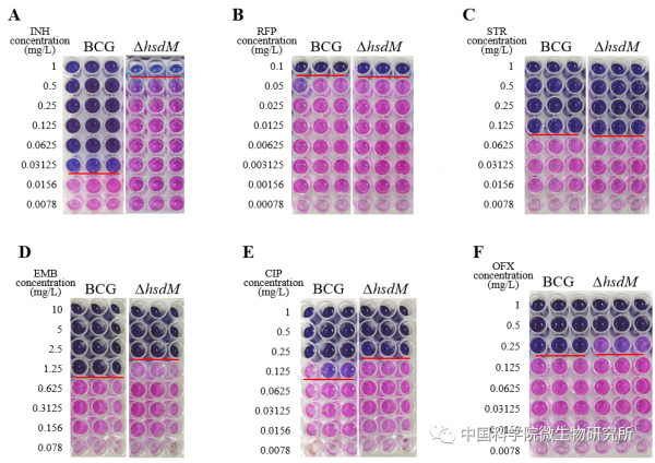
結核菌DNA甲基化的基礎研究很少,米凱霞團隊透過遺傳學方法構建了不同HsdM的重組菌株,篩選了結核病臨床治療的抗生素包括異煙肼(INH)、利福平(RFP)、鏈黴素(STR)、乙胺丁醇(EMB)、環丙沙星(CIP)和氧氟沙星(OFX)(圖1),與野生型比較,hsdM敲除菌高抗INH。利用Pacbio三代單分子實時測序技術(Single-Molecule Real-Time,SMRT),鑑定出219個HsdM甲基化的底物。
生物資訊學分析表明,大多數HsdM修飾的基因在呼吸和能量相關通路中富集。qPCR分析的結果顯示,HsdM的修飾影響了基因的轉錄。潛伏感染模型中,ΔhsdM比野生型BCG具有低氧存活的優勢,並且HsdM調節潛伏復活相關基因trcR的表達水平。
基於研究結果,我們提出了分枝桿菌表觀遺傳調節異煙肼耐藥新的分子機制--HsdM透過甲基化修飾調控基因的轉錄水平,改變了分枝桿菌氧化還原狀態,從而降低結核菌對異煙肼的敏感性(圖2)。研究表明表觀遺傳在分枝桿菌耐藥中起著重要的作用,研究為抗生素靶標選擇和抗生素研發提供了新思路。
    圖2. HsdM調節結核菌異煙肼耐藥性模式圖
該研究以“The Mycobacterial DNA Methyltransferase HsdM Decreases Intrinsic Isoniazid Susceptibility”為題在Antibiotics期刊上發表。
研究團隊胡新玲助理研究員和周心童助理研究員為該文章的並列第一作者,米凱霞研究員為通訊作者,中國科學院微生物所朱寶利研究員和中國農業大學胡永飛教授為共同作者。
此項工作得到了國家重點研發計劃、國家自然科學基金、東京大學醫學研究所國際聯合研究專案及兒科重大疾病研究教育部重點實驗室開放課題的支援。
2020年熱文精選
1. 杯具了!滿滿一紙杯熱咖啡中,滿滿的塑膠微粒…
2. 美英澳科學家《自然醫學》再添力證:新冠病毒乃自然進化產物,或有兩種起源…
3. NEJM:間歇性禁食對健康、衰老和疾病的影響
4. 一年內治癒失眠!研究發現:改善睡眠,你或許只需要一條沉重的毯子
5. 哈佛新研究:僅12分鐘的劇烈運動,能為健康帶來巨大的代謝益處
6. 第一項人類干預試驗:在大自然裡“摸爬滾打”28天,足以提高免疫力
7. 垃圾食品是“真.垃圾”!它奪走了端粒長度,讓人老得更快!
8. Cell解謎:不睡覺真的會死!但致死的變化不是發生在大腦,而是腸道…
9. 《自然通訊》超大規模研究:血液中鐵的水平是健康與衰老的關鍵!
10. 不可思議!科學家一夜之間逆轉動物“永久性”腦損傷,還讓老年大腦恢復了年輕態…


 
			 
			 
			 
			 
			 
			 
			 
			 
			 
			 
			 
			 
			 
			 
			