今天一位網路問診病人,女性,34歲,檢查發現雙肺多發實性結節,在當地醫院不同科室就診意見不一,再到不同醫院胸外科就診,意見也不一。怎麼辦呢?是結核、免疫疾病、風溼,還是腫瘤轉移?要不要手術活檢?我們來瞧瞧她的病例:
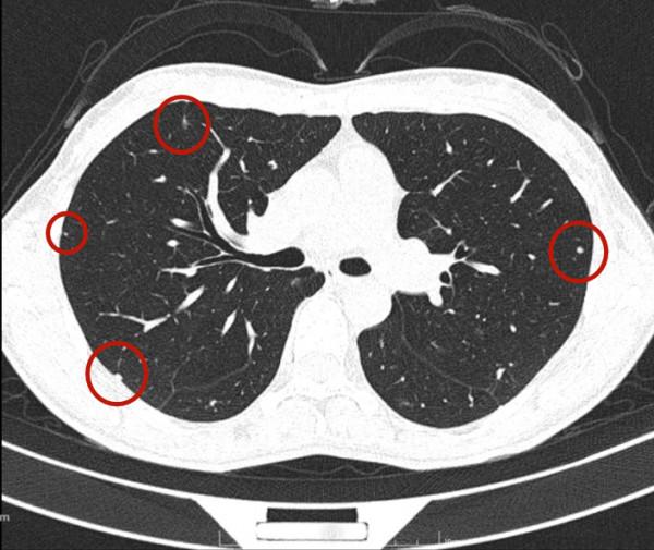
可見她體檢發現,沒有症狀,看了呼吸科、風溼免疫科、結核科以及胸外科,而且還看了三家三甲醫院的胸外科,但意見莫衷一是。其CT是如何的呢?來看看:
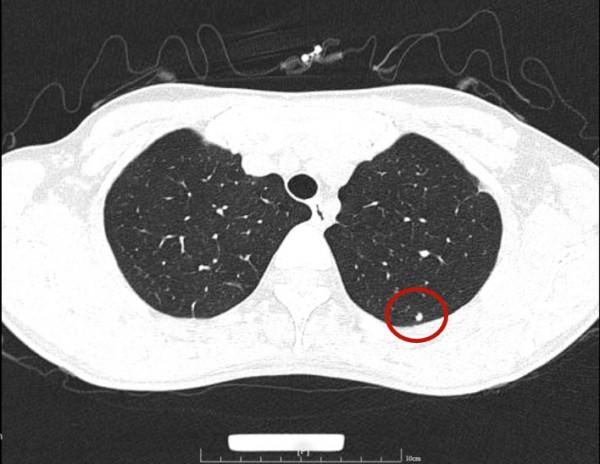
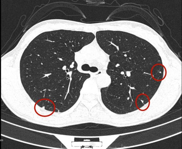
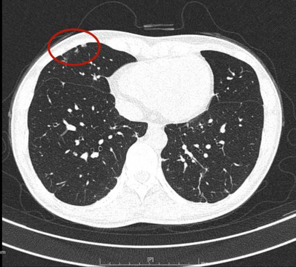
那麼多結節,基本上都是實性,分佈兩肺,形態不似圓形或類圓形的轉移瘤。是什麼呢?我們是不是一定要弄明白到底是什麼病?其實我覺得有時並不一定要弄清楚,所以我回復的意見如下:我認為我們看病,有時候可以從結果來反推,從而考慮是不是干預治療。比如這個病例的兩肺多髮結節,我看沒有一個是主病灶,也就是說“明顯考慮惡性的,其他考慮是這個病灶轉移的”這種樣子。那麼這些實性小結節,可能是:1、良性結節:包括慢性炎,纖維增生、肺內淋巴結、風溼結節、肉芽腫、隱球菌等各種可能性。但只要是良性,不處理不影響生命,也沒什麼不舒服,只需關注著,定期複查就可以了;2、腫瘤多發轉移:不管原發灶在哪裡,如果兩肺這麼多轉移,你再怎麼治療,預後也不好,現在還不是典型的腫瘤,也未見明顯的原發部位,遲點有進展再考慮又有多少區別呢?3、結核:即使真是結核,沒有明顯症狀的情況下,很多人自己得過結核也不自知,意思是說,如果痰找結核菌陰性,不是活動性肺結核,沒有症狀,不治療也沒什麼關係,也是隻需要定期複查。所以你的病例,我的意見是:1、形態數目不像惡性;2、不需深究到底是什麼;3、把診斷交給時間來決定,建議每4-6個月複查平掃,有變化時展再考慮活檢或干預,否則先不去管它。
(此處已新增醫療卡片,請到今日頭條客戶端檢視)
