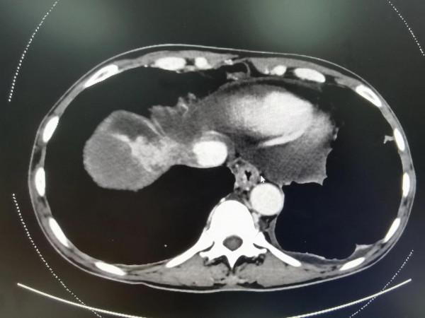
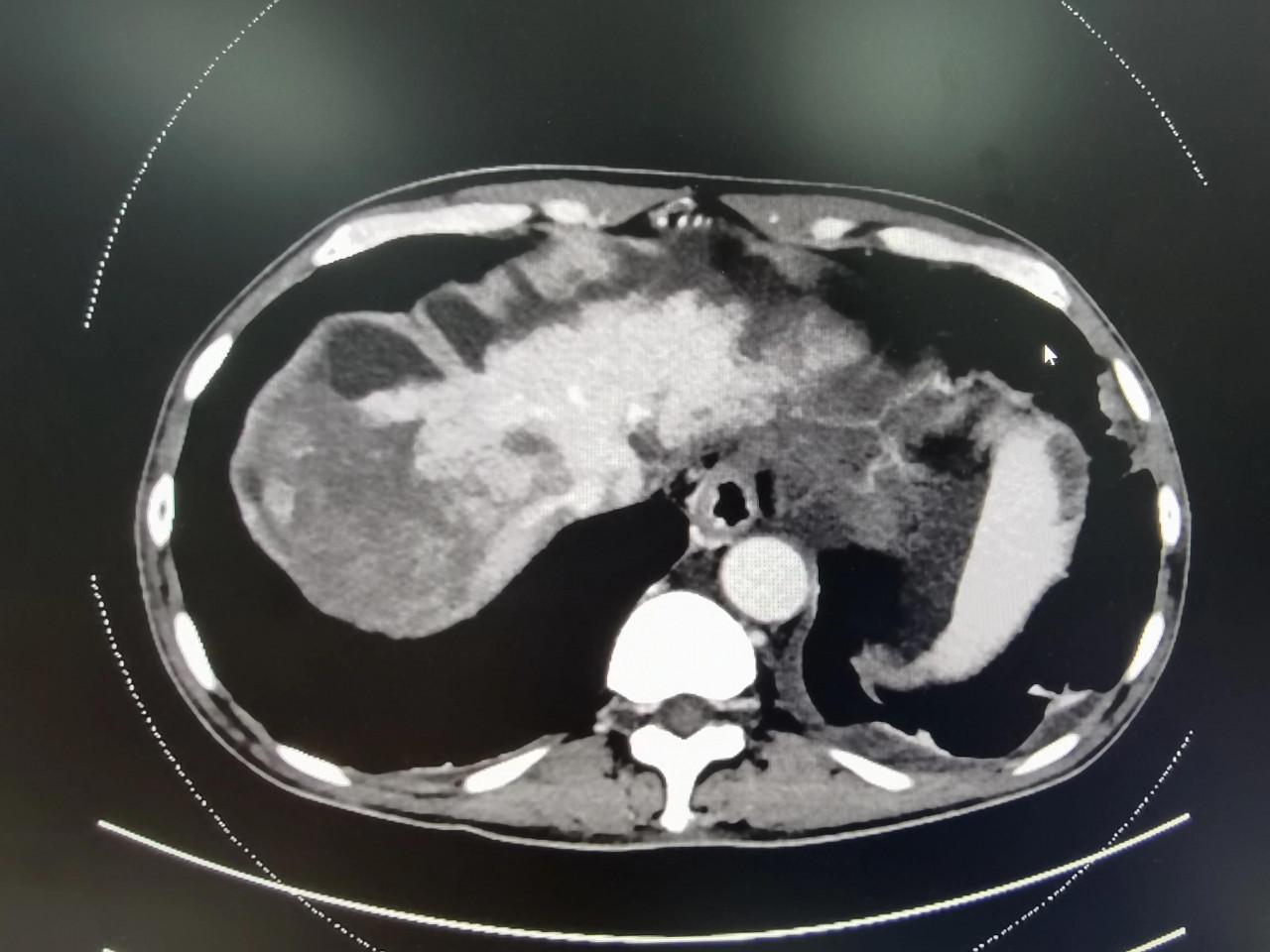
晚期肝癌的病人也不要輕易放棄!近2-3年,晚期肝癌的治療獲得了較大的突破,介入治療+靶向藥+PD1的治療組合,大部分情況下可以取得不錯的治療效果。這是一例非常晚期的肝癌病人,這要是在2-3年前,估計就是勸病人回家,該吃吃該喝喝,預計不會超過3個月的生存期。本例患者巨塊型肝癌合併下腔靜脈癌栓(下腔靜脈幾乎完全堵塞並臨近心房口了)及門靜脈主幹及右支癌栓的病人,經過2次的介入治療(肝動脈灌注化療術(HAIC)後,病灶明顯的縮小,癌栓明顯的消退,腫瘤指標直線下降,整個人的精神狀態持續好轉,未來可期。
sponsored links
晚期肝癌的介入治療
分類: 科技
時間: 2021-12-10
