對於牙齦上長膿包,可能很多人以為是簡單的牙齦發炎,吃點消炎藥就沒事了,甚至有些人會想要自己挑破膿包。其實這些做法都是不正確的,應對膿包,一定要從「根源」瞭解牙齦為什麼會長膿包。
(網路配圖)
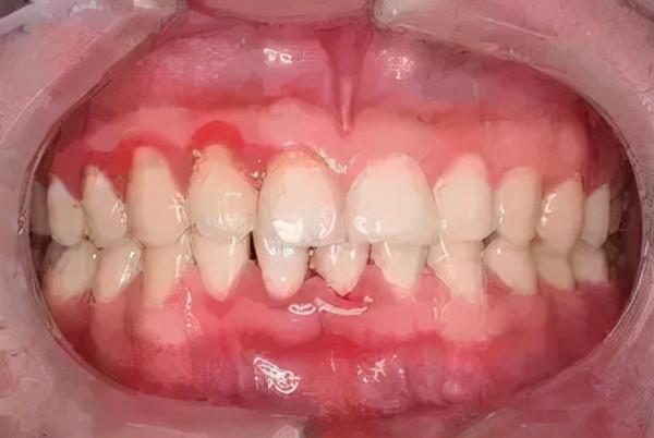
牙齦長膿包,通常有兩種情況
牙根發炎導致
由於細菌感染牙髓後逐漸繁殖,炎症透過牙髓進軍牙根、牙槽骨然後開始慢慢蔓延,牙槽骨遭到破壞,吸收,便在牙齦上鼓起一個膿包,形成從根尖到牙根的瘻管,炎症產生的分泌物便由此流出。(多見於嚴重蛀牙、補牙的患者)。
牙周炎引起
已形成牙周袋,會引起牙齦流白色的膿液。
牙齦膿包可以挑破嗎?
最好不要自己亂動,建議到醫院口腔科檢檢視看判斷是牙周引起的還是根尖炎症引起的,然後再進行治療。另外。牙齒問題,吃抗生素只能在短時間內起到消炎的作用,並不治本,還浪費錢,牙病也拖重了。
牙齦膿包的治療方式
根尖炎導致的治療方式:
如果是根尖炎導致的,要拍片檢查一下其根尖周組織破壞情況,看患牙是否能保留,若不能保留可以直接拔掉。
然後做牙髓處理(根管治療),並且在牙齦下做切口排膿,放藥幾天之後如果好轉,可以做「填充」牙洞處理。
牙周病導致的治療方式:
如果是牙周引起的膿包的話,治療原則是止痛防止感染擴散,先自牙周袋內或牙齦切開引流,緩解疼痛,切開後應沖洗膿腔並匯入消炎藥,同時注意飲食,避免辛辣刺激等。
對於口腔護理,要注意定期檢查牙齒,定期洗牙,不要等到嚴重了才去看牙醫,那時候你不光花費時間、金錢,還要承受疼痛。
如何預防和治療?
1、關鍵是控制和消除牙菌斑,目前最有效直接的方法就是直接去看牙醫,看牙醫給你解決的方案。
2、每天堅持正確刷牙,按摩牙齦,促進牙齦血液迴圈,增強牙齦組織的抗病能力。注意鍛鍊身體,增強機體免疫力。
3、除去區域性刺激因素,清潔牙齒和刮除牙周的牙石、牙垢,矯正不良修復體及矯治食物嵌塞,基本可治癒。
4、牙周病發病後應積極治療,初期療效尚好,晚期療效較差,會導致喪失牙齒的後果。
5、補充含有豐富維生素C的食品,可調節牙周組織的營養,有利於牙周炎的康復。
