肉瘤樣癌(sarcomatoid carcinoma,SC)是一類少見的惡性腫瘤,兼有上皮和間葉腫瘤的特徵,可以發生在多種器官,比如面板、骨骼、甲狀腺、乳腺和肺等。肺肉瘤樣癌(pulmonary sarcomatoid carcinoma,PSC)罕見,佔肺惡性腫瘤的0.1%。
PSC是一類罕見的肺惡性腫瘤的總稱,屬於非小細胞肺癌(NSCLC)範疇。此類腫瘤在1981年被稱為“鱗狀細胞癌的一種變體。1999年,更名為“癌含有多形細胞、肉瘤樣或肉瘤成分;2004年,世界衛生組織(WHO)根據肺腫瘤病理形態學特徵,規定其歸屬於肺惡性上皮細胞腫瘤,有了一個統一的名稱,即“肺肉瘤樣癌”。
肺肉瘤樣癌(PSC)約佔肺癌的0.1%-0.4% ,佔非小細胞肺癌的1%。多發生於中老年吸菸男性,且呈年輕化趨勢。在影像學上多變現為周圍型肺癌,並且對放化療不敏感,預後很差。
肺肉瘤樣癌(PSC)目前為止,仍是一個臨床難題,主要是因為其發病率低,病理型別罕見,容易被誤診;生長迅速、易發生遠處轉移和臨床耐藥;全身治療效果差;難以早期診斷。
肺肉瘤樣癌(PSC)無特異性臨床表現。常見的臨床症狀包括:咳嗽、咳痰、痰中帶血、胸背部疼痛;其他症狀:體重減輕、呼吸困難;以及與遠處轉移灶相關症狀:骨轉移引起的疼痛,腦轉移引起的劇烈頭痛等。
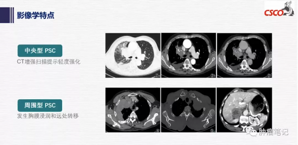
PSC在CT影像上具有一定特點,表現為腫瘤體積巨大;直徑多數>3cm,有的可達到18 cm;多為單發,中心型或外周型,圓形,密度均勻,邊緣光滑,可有毛刺或分葉,鈣化少見;增強CT呈環形或斑片狀強化;胸壁侵犯和(或)胸腔積液徵象。
PSC從病理組織學形態上織學形態可分為
①鉅細胞癌(GCC),幾乎全部為鉅細胞(包括多核鉅細胞)構成;
②多形性癌(PC):最多見的亞型,指鱗狀細胞癌或腺癌或未分化的NSCLC中至少含有10%的梭形細胞和(或)鉅細胞,或只含有梭形細胞或鉅細胞的分化差的NSCLC;
③梭形細胞癌(SCC):幾乎全部為梭形細胞構成;
④癌肉瘤:NSCLC(主要為鱗癌和腺癌)和伴有異源性成分的肉瘤(如橫紋肌肉瘤、軟骨肉瘤、骨肉瘤)構成的惡性混合型腫瘤;
⑤肺母細胞瘤:由原始上皮成分和間葉成分構成。
免疫組化特點:由於肺肉瘤樣癌存在上皮和肉瘤兩種成分割槽域,上皮標記物和間質標誌物均可呈陽性表達。與上皮組織相關的標誌物:CK、EMA、AE1/AE3、TTF-1;與間皮或者間充質相關的標記物:vimentin、esmin)。
PSC的治療主要包括手術切除、放療、化療、靶向治療、抗血管生成治療、免疫治療及聯合治療等。
手術切除是早期PSC的首選治療方式,也是綜合治療的基礎。手術切除可以帶來更好的生存獲益。
對於放化療的選擇也有適用的人群。放療適用於術後有殘餘病灶,有對側病灶,胸外轉移,腦轉移。化療適應於手術切除的輔助治療;早期但不能手術切除的患者,序貫治療和姑息治療。
放療似乎有效,但也有證據表明術後輔助放療預後無明顯獲益,需要更多的研究進行支援。
同樣,化療在PSC治療的作用也有一定爭議。因此,對於化療優勢人群的選擇,哪種化療的方案更有效,化療的最佳時機是什麼,仍然值得進一步探討。
2015版WHO肺癌分類中,建議含有腺癌成分的肉瘤樣癌行基因檢測,可以給一部分晚期PSC患者帶來新的治療機會 。PSC的主要的突變基因是KRAS、PIK3CA、EGFR、MET等。在PSC中EGFR突變率不一,治療效果也不盡相同。由於TKI在PSC應用報道少,亦有學者認為單藥使用TKI無效。
MET是另一個重要的驅動基因,幾項大型的針對PSC患者全外顯子基因測序結果顯示,8%-31%的患者存在MET14外顯子跳躍突變。來自不同研究的資料顯示東西方PSC患者中MET基因突變的比例相似。有研究顯示:對比驅動基因陰性患者,MET14外顯子跳變陽性的晚期PSC患者疾病進展的速度更快。由於PSC的預後太差,MET-TKI的“三駕馬車”,沃利替尼、Tepotinib、Capmatinib中只有沃利替尼入組了近40%的PSC患者,對於結果,拭目以待。
抗血管生成治療或許會給PSC患者帶來新的治療機會,但需要更多臨床資料支援,去最佳化治療效果。
經過100多年的探索,免疫治療已經開闢抗癌新天地,廣泛用於臨床實踐。對於傳統治療方案收效甚微的PSC,新型治療手段是否能夠取得突破呢?
多項研究表明,PSC患者中PD-L1的陽性表達率約25%-90%,TMB也比較高。PD-L1表達水平與腫瘤反應及生存率呈正相關。有研究表明,使用PD-L1治療的PSC患者中,約70%患者達到了PR或者CR,中位PFS為8個月,想對於化療2-6個月的PFS,顯示出一定的優越性。
該列患者TPS為90%,先接受2週期Durvalumab治療,病情PD,隨後給予Pembrolumab治療(如上圖),原發病灶縮小。
小結:PSC臨床診斷困難,全身治療效果差。因此,病灶的鏡下改變和免疫組化檢查至關重要。基因檢測和PD-L1表達水平的檢測,對於後續治療提供了新的希望。對於PSC的治療,手術切除仍是治療的基石,放化療是臨床可選治療策略。探索高效的聯合治療策略,刻不容緩。
資料內容來源於:2020CSCO會議 腫瘤筆記
