“醫生,告訴你一個好訊息!”老王(化名)抑制不住喜悅的聲音從電話那頭傳了過來。
原來老王已經被確診為肝硬化20來年,5年前他肝臟上長了個小結節,大小約1.0*1.2cm,超聲造影考慮結節惡變可能,當時浙江醫院超聲醫學中心主任黃斌主任醫師給他做了肝臟結節穿刺活檢加消融,病理結果提示為肝細胞性肝癌。透過微創手術,老王很幸運地將1cm左右的肝癌扼殺在搖籃裡,腫瘤被完全滅活。隨後他康復出院,同時也開始了定期的複查。
(此處已新增小程式,請到今日頭條客戶端檢視)
今年4月開始,老王的甲胎蛋白逐步上升,多種影像學提示肝內腫瘤復發,但是由於腫瘤位置特殊,一個長在膽囊的邊上,壓迫膽囊,一個長在肝臟尾狀葉,幾次介入治療都不見效,經皮消融和外科切除的風險和難度都極大,稍有不慎就會造成嚴重的併發症。老王輾轉於多家省市級單位,均被告知手術風險極高,無法施行手術。與此同時,他的甲胎蛋白也在求醫過程中飛快的上漲,最高值達到了1200U/L多!(甲胎蛋白是檢測肝癌的血清標誌物,用於肝癌的診斷及療效監測,正常值小於10U/L)。心急如焚中,老王想到了5年前曾經幫他治療的黃斌。
“就算有一線機會,
我們也願意去嘗試”
“就算有一線機會,我們也願意去嘗試,以最小的傷害給患者最滿意的療效!”黃斌安排老王入住超聲介入病房後,診療團隊迅速為患者制定最佳治療方案。浙江醫院超聲醫學科孫希希副主任醫師介紹,患者肝內兩個腫瘤都處於危險部位,特別是尾狀葉的腫瘤,是外科手術和經皮消融的困難部位,甚至是禁忌部位。近些年隨著消融輔助技術的應用,膽囊旁及尾狀葉腫瘤消融雖已不再是禁區,但對操作醫生的技術要求仍然很高。
經術前充分評估和準備後,黃斌往患者腹腔內注入約1000ml的溫生理鹽水,人為造成腹腔積液,分離周圍胃腸道和膽囊,保護其不受熱損傷的同時,將肝門部的腫瘤完全消融乾淨。而尾狀葉的腫瘤透過超聲造影的引導,消融針在僅有5mm空間的進針路徑穿行,避開動脈血管和膽管,將消融針精準地插入瘤體內使之滅活。整個手術過程猶如行走在懸崖峭壁的鋼絲,需要十足的耐心和精準的操作,患者術後當天下午就下床活動,術後1周增強磁共振和超聲造影均提示腫瘤完全滅活。
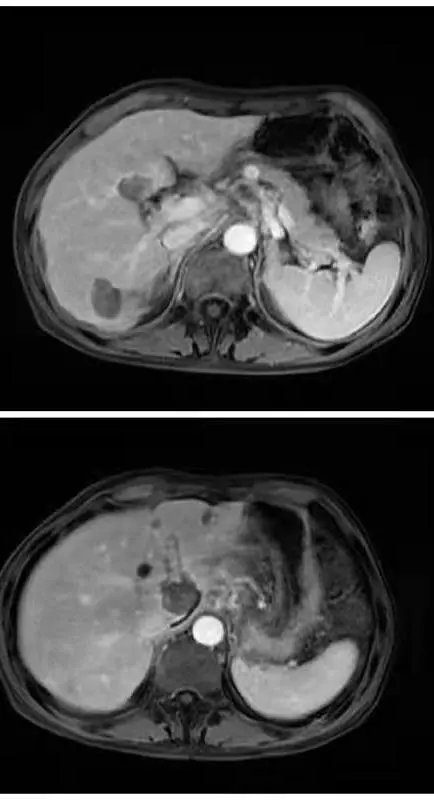
∆ 術前超聲顯示病灶位於膽囊旁和尾狀葉
∆ 消融術中
∆ 術後一週增強磁共振顯示病灶完全消融
出院後,老王遵醫囑在3周在家鄉當地複查甲胎蛋白,發現數值已從1200U/L多降至30U/L左右,說明他這次的消融治療是非常成功的,於是才有了文章開頭的一幕,老王開心地打電話向浙江醫院超聲介入團隊報喜。
時間短、技術好、服務佳
近日,浙江醫院平湖分院先後收到了兩名患者送來的錦旗,以感謝“雙下沉,兩提升”專家黃斌以及超聲醫學科科穿刺團隊“小針孔、大作用” 的精湛技術。
70歲的樊奶奶(化名)和50歲的管先生(化名)因肝膿腫先後入院,入院時體溫均高達39℃。患者及其家屬瞭解到,肝膿腫可行“肝膿腫置管引流術”,該手術具有“組織損傷小、患者痛苦小”的優點,並且在超聲引導下,可清晰觀察到穿刺針尖回聲、進針方向以及定位穿刺點、路徑和深度,操作十分精準安全。在詳細瞭解患者的情況後,為及時緩解患者的病痛,黃斌在結束總院一天的忙碌後駕車2小時趕至平湖,帶領分院超聲科穿刺團隊為兩位患者行肝膿腫置管引流術。
術後數天覆查,樊奶奶和管先生的膿腫體積明顯縮小,感染得到控制,配合臨床治療,兩人很快康復出院。而穿刺的整個治療過程,用患者的話來說,就是“時間短、技術好、服務佳”。
自2020年12月來,僅在黃斌的指導下,平湖分院就已完成甲狀腺結節穿刺70餘例、肝膿腫引流10餘例、臟器聲學造影40餘例、腹腔穿刺引流例+膽囊造瘻+經皮經肝肝內膽管穿刺引流10餘例。
1
黃斌在平湖
哪些肝臟腫瘤
可以做消融
超聲介入的主要特點是在實施時超聲的監視或引導下,完成各種穿刺活檢、抽吸、插管、注藥治療等操作,可以避免某些外科手術,達到與外科手術相當的效果。並且,介入治療區別於其他治療方式的技術優勢是,只需要一般區域性麻醉即可,從而極大的降低了麻醉的風險。不開刀,損傷小,恢復快,效果好,對身體干擾不大,在最大程度上保護了正常器官。
超聲引導經皮消融具有精準、微創、恢復快等優勢,是實體腫瘤滅活的有效手段之一,且療效與手術切除相媲美。浙江醫院超聲醫學中心也是省內少數幾家擁有超聲介入病房的單位之一,微創治療內容涵蓋甲狀腺結節、乳腺結節、肝臟腫瘤、肝腎囊腫、子宮肌瘤和卵巢巧克力囊腫等等。團隊本著“精準、安全、高效”的理念,為廣大患者提供個體化的服務。
肝腫瘤消融的適應症
1. 直徑≤5cm的單發腫瘤結節或直徑≤3cm的3個以內多髮結節,無血管、膽管侵犯或者遠處轉移。
2. 手術切除後復發或者中晚期不能手術切除者。
3. 肝移植等待供體期間的術前治療。
4. 腫瘤較大,數量較多者,但一般情況好,姑息性治療緩解病情。
(溫馨提示:能否行消融術需全面瞭解病情及充分的術前評估。)
來源:浙江醫院










 
			 
			 
			 
			 
			 
			 
			 
			 
			 
			 
			 
			 
			 
			 
			 
			 
			