#2021加油帶頭人#秋末冬初,是各種水果成熟的季節。水果以其富含多種人體所需的維生素和膳食纖維等營養物質而受到大家的喜愛,食用水果的量較春夏季節要多不少,但俗話說的好:美味不可多用。水果食用太多也同樣會引起不良後果,有的還非常嚴重。請看我們臨床上遇到的病例。
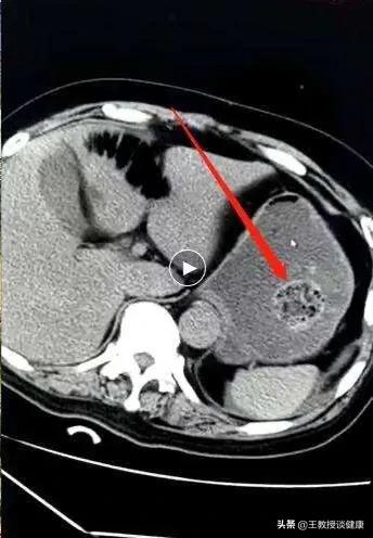
病例一:患者男,75歲,入院前一段時間老是感覺胃疼,以進食後明顯,入院前三天開始噁心、嘔吐。入院後CT檢查發現患者的胃內有一個鵝蛋大的塊狀物,位置可以隨體位變化而移動。臨床診斷為:胃柿石症導致胃幽門梗阻。追問老人非常喜歡吃柿子(非番茄)、山楂,而且食量很大,一次可以吃好多。我們及時為該患者做了胃鏡確診並用胃鏡將柿石鉗碎取出。
病例二:患者女,81歲,以突發陣發性腹痛加重,伴有噁心嘔吐,不排便不排氣兩天收入我科。腹部CT檢查可以看到患者的小腸高度擴張,呈現急性腸梗阻的徵象,並可看到一個巨大“糞石”。追問病史,患者在入院兩週前一次食用大量冬棗、柿子和海帶絲,食後第二天就感覺腹部不舒服,隱隱作痛,後來腹痛加重而來院治療。經過系統治療腸梗阻無改善,遂行急診手術切開小腸將糞石取出。
以上這兩個病例都是因為食用大量柿子、山楂、大棗等導致的嚴重的胃腸道梗阻-胃柿石導致幽門梗阻;腸道糞石導致急性小腸或大腸梗阻。我們在臨床上每年都能收治好多例這樣的病人,說明其發病率挺高。尤其是胃腸道蠕動慢的老年人更容易發生。
那麼為什麼柿子、山楂或大棗會在胃腸道內形成塊狀物,進而引起胃腸道梗阻呢?
這是由於柿子、山楂、大棗等水果含有大量鞣酸,食後這些鞣酸會與胃酸和腸道內的蛋白結合成不溶於水的鞣酸蛋白,從而凝結成塊;另外,柿子含有的樹膠和果膠,也能與胃腸道內的蛋白質結合,凝結成塊。由於凝結塊的強粘附性,使胃腸道內的塊狀物像滾雪球一樣越變越大。到達一定直徑就堵塞了胃腸道引起胃腸道梗阻,尤其是通不過胃幽門或迴盲瓣(這兩處是生理性狹窄)。如果不及時治療,除了會引起患者噁心、嘔吐、腹部劇痛外,甚至會導致腸壞死等嚴重後果。
那麼平時我們應該怎樣預防胃柿石或小腸糞石的發生呢?
一,一定要食用成熟的水果,太酸或太澀的水果不宜食用,因為不成熟的水果含有的鞣酸和果膠較成熟的水果會更高,切記食用量要適宜,不要一次食用量過多。
二,不要同時食用海鮮、牛奶等高蛋白食物;不能與菠菜、韭菜、海帶絲、紅薯等纖維含量豐富的食物同時食用。
三,食用這類水果時最好不要同時飲酒或其它飲料。
四,食用這些水果時要細嚼慢嚥,如果牙齒不全,要抓緊時間補牙、種牙治療。
五,積極治療胃腸道蠕動慢而導致的便秘,比方說積極治療動脈粥樣硬化,以改善腸道的血液迴圈,促進腸蠕動等。
那麼一旦發生了胃柿石症或糞石性腸梗阻該怎麼治療呢,一定要去正規醫院進行診療,切不可聽信民間秘方。
治療一般是先無創保守治療,比方說進行胃腸減壓、腸梗阻導管引流;透過胃腸減壓管注入石蠟油等腸道潤滑劑和鹼性藥物。一部分病人透過保守治療,胃腸道凝結塊可以便出體外而痊癒。
而對於巨大的胃柿石或糞石,由於其通不過胃幽門或迴盲瓣這兩個生理性的“隘口”,導致嚴重的胃幽門梗阻或小腸、大腸梗阻,規範的治療48小時後腸梗阻沒有緩解徵象,則需要透過纖維胃鏡取出或手術切開腸腔取出。
CT見胃內巨大柿石
CT見胃內柿石
CT顯示腸道內巨大糞石
    
        手術取出的柿石
手術取出的糞石


 
			 
			 
			 
			 
			 
			 
			 
			 
			 
			 
			 
			