*僅供醫學專業人士閱讀參考
快來領略西方與日本的PK吧!
隨著消化內鏡技術的不斷髮展,早期消化道腫瘤的檢出率大大加強。
眾所周知,早期胃癌的5年生存率遠遠高於可手術的進展期胃癌,所以提高早期胃癌的診斷水平尤為重要。
國內早期胃癌臨床診治採用日本的診斷器械和內鏡切除方法,內鏡醫師習慣運用日本醫師制定的診斷標準。國內病理診斷醫師習慣採用以西方觀點為核心的WHO診斷標準。但日本和西方WHO針對早期胃癌的診斷標準存在區別。
WHO 5th消化系統腫瘤分類出版後,縮小了西方和日本兩個診斷標準的差距,緩和了內鏡和病理診斷不匹配的矛盾。但是二者之間的矛盾和差距依然存在。
下面對早期胃癌病理診斷的西方WHO和日本標準分別進行梳理。
胃黏膜上皮異型增生/早癌(WHO 5th標準)
1.胃癌的發生西方串聯標準:
HP感染→胃炎→萎縮→腸上皮化生→異型增生/腺瘤→腸型胃癌。
2.定義:胃黏膜異型增生是明確的腫瘤性病變,屬前驅病變;早癌WHO 4th定義為癌組織侷限於黏膜及黏膜下層(pT1,LN+/-),WHO 5th刪除了定義章節。
3.ICD-0編碼:8148/0 腺上皮異型增生,低級別;8148/2 腺上皮異型增生,高級別。
4.臨床表現:內鏡下表現為扁平、凹陷或隆起(息肉樣)病變,並伴有糜爛/潰瘍和顏色的變化。窄帶成像放大內鏡可以明顯改善內鏡評估水平,注重對黏膜上皮和上皮下血管的觀察。(肉眼分型如下圖)
5.不同形態型別的異型增生之組織病理特點:
常見型別為腸型異型增生和小凹上皮型異型增生;亞型為鋸齒狀異型增生(低級別/高級別);隱窩型異型增生(如下圖。備註:腸型異型增生屬於普通型異型增生;小凹上皮型、鋸齒狀、隱窩型異型增生屬於非普通型異型增生)。
![]()
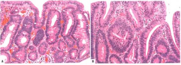
腸型胃黏膜異型增生——A:低級別異型增生,高柱狀的細胞分化呈腸型細胞,細長的核位於細胞基底;B:高級別異型增生,高柱狀的細胞,細胞核極性消失。(屬普通型異型增生,細胞異型性低,但結構不典型性明顯)
![]()
小凹上皮型胃黏膜異型增生——A:低級別異型增生,高柱狀的細胞有區別於正常的胃小凹上皮細胞,細長的核位於細胞基底;B:異型增生的細胞免疫組化MUC5AC陽性。(屬非普通型異型增生)
![]()
小凹上皮型胃黏膜異型增生——C:高級別異型增生,高柱狀的細胞之細胞核失去極性;D:異型增生的細胞免疫組化P53過表達。(屬非普通型異型增生)
![]()
亞型——A:隱窩型胃黏膜異型增生:異型增生的細胞侷限於胃小凹深部,表面成熟的上皮呈鋸齒狀;B:鋸齒狀異型增生。(屬非普通型異型增生)
6.異型增生分級:無論其形態型別,根據核異型性程度(即核擁擠、核深染、核覆層)、核分裂、細胞質分化及結構的變化,將異型增生分為低級別異型增生LGD和高級別異型增生HGD。
低級別異型增生LGD——腫瘤細胞為輕度-中度異型性,細胞核深染,在腸型異型增生中細胞核呈細長的雪茄樣;在小凹上皮型異型增生中核呈圓形至橢圓形。這兩種型別的異型增生,其細胞核均保持極性,核位於細胞基底位置,核分裂為輕度-中度。腺體結構相對儲存是LGD的特點。
高級別異型增生HGD——腫瘤細胞為立方或柱狀,細胞異型性明顯,細胞核增大,核/漿比增高,明顯的嗜雙色核仁,核極性消失,非典型的細胞核延伸至管腔表面,病理性核分裂多見。
腺體結構複雜,扭曲、背對背。當觀察到輕度的細胞異型性,但具有明顯的結構異型性的病例(如不同大小、形狀的腺體)也應被診斷為HGD。
7.黏膜內癌定義:侵犯黏膜固有層或黏膜肌的腫瘤。與高級別異型增生HGD的區別在於,黏膜內癌存在明顯的結構異型性。如腺體過分擁擠、分支、出芽或呈篩狀,無論是否存在促結締組織反應,均視為黏膜內癌的表現。單個細胞浸潤或小片狀生長、腺腔內壞死、不規則爬行或融合、或小的退行性腺體可能是有用的發現。
附表:胃黏膜上皮低級別異型增生VS.高級別異型增生(WHO 5th)
1.胃癌的發生日本並聯標準:
![]()
2.定義:早癌包括WHO的異型增生和早期浸潤性癌(pT1,LN+/-)。日本不建議使用WHO異型增生的術語,腫瘤性病變包含腺瘤和腺癌。
3. 日本標準:
①當細胞低異型性(N/C<50%,類似於WHO的低級別異型增生的細胞學改變),結構異型性也不明顯時,觀察病變與周圍正常黏膜組織是否有分界,或伴有表面上皮分化不成熟,或細胞分化單一,或細胞增值帶分佈不規則,均提示存在病變;
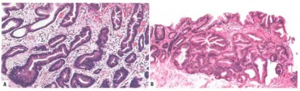
當病變黏蛋白表型提示胃型表達(胃型粘液表型分別異常),也支援分化型癌診斷。所以WHO診斷標準下的低級別異型增生LGD可能會是日本標準的低異型的分化型癌(tub1)(如圖)。
![]()
LGD(WHO標準)/高分化管狀腺癌(日本標準)——引用八尾隆史教授線上會議圖片。
②當細胞低異型性,結構異型性明顯時,早癌診斷並不困難。
③當細胞高異型性,在無結構異型性和間質浸潤證據時,僅依靠細胞高異型性也支援診斷癌。所以對細胞異型性的觀察很重要(如圖)。
![]()
HGD(WHO標準)/高分化管狀腺癌(日本標準)——引用八尾隆史教授線上會議圖片。
④當細胞高異型性,結構異型性明顯時,早癌診斷並不困難。
4. 低異型性腺癌:八尾教授的定義為細胞異型性非常低的癌(N/C<50%)。特點是腫瘤組織和周圍正常組織存在界限,並且偏離正常組織結構的一個增殖性病變。結構異型性就是黏膜浸潤的一種表現,存在這一表現支援低異型腺癌,沒有這一表現支援腺瘤(如圖)。
5. 黏膜內癌:當病變偏離、失去正常胃粘膜結構時,按照日本標準認為此類病變是存在間質浸潤的,視為黏膜內癌。
![]()
黏膜內癌伴有間質浸潤(日本標準)——引用八尾隆史教授線上會議圖片。
6. 鑑別診斷:與再生性改變鑑別。下圖示一例胃黏膜伴腸上皮化生的病變。單看深層胃黏膜腺體,雖然細胞核漿比增高,但這是胃黏膜增殖帶所在。依次觀察從深層到中層,再到表層胃粘膜,細胞逐漸分化,細胞核逐漸變小,顯示細胞分化成熟的特點,並且表層黏膜與周圍黏膜無界限存在,以上特點均支援胃黏膜再生性改變。
附表:胃黏膜上皮異型增生/早癌(WHO 5th)VS.日本標準對照
1.陳光勇,黃受方.WHO消化系統腫瘤分類第5版關於胃癌的解讀:
著重對早期胃癌的理解和認識[J].中華病理學雜誌,2020,49(9):882-885.
2.WHO Classification of Tumours Editorial Board. WHO classification of tumours. Digestive system tumours[M]. 5th ed. Lyon: IARC Press, 2019.
3.塚本徹哉.胃癌病理[M].宮健,譯.瀋陽:遼寧出版社,2019.
宣告:除上述參考文獻外,本文寫作還參考了八尾隆史教授線上會議課程及北京友誼醫院消化病理線上系列培訓--胃早癌相關內容,透過八尾隆史教授,陳光勇、金木蘭及周成軍教授的精彩講解,對胃早癌的病變診斷有了初步的認識,特此表示感謝。由於水平有限,不足之處難免,內容僅供參考,懇請專家及同道批評指正。
特別緻謝:感謝陳光勇教授在本文寫作過程中給與的指導與幫助!
本文首發:醫學界病理頻道
本文作者:喵喵 滄州市中心醫院病理科
責任編輯:Sweet
作者招募
醫學界腫瘤頻道招募兼職作者啦!
如果你是【熱愛寫作】的【臨床醫生】【醫學生】,如果你相信【醫學知識傳播的價值】,就快來聯絡我們吧~
要求:
1、醫學專業本科及以上(本科必須大四及以上);
2、有時間、有興趣,對文字有追求;
3、能勝任英文翻譯!
快來聯絡我們叭~
微信:result_crazy(最好附上作品,時間充裕者優先~)
*醫學界力求其發表內容在稽核透過時的準確可靠,但並不對已發表內容的適時性,以及所引用資料(如有)的準確性和完整性等作出任何承諾和保證,亦不承擔因該些內容已過時、所引用資料可能的不準確或不完整等情況引起的任何責任。請相關各方在採用或者以此作為決策依據時另行核查。
版權申明
本文轉載 歡迎轉發朋友圈
- End -
