當肺癌與親情交織,當腫瘤醫生得知自己的父親患癌,這是一場現代醫學、病死率極高的惡性腫瘤、以及親情羈絆的搏鬥。
在北大人民醫院劉彥國醫生的事蹟中,我們感受到了親情的力量,或許能幫助患者戰勝最恐怖的疾病。
    父親查出肺癌,希望放棄治療
劉彥國是胸外科醫生,在他手上康復的病例不計其數,但是在面對親人患癌的時候,再堅強的柳葉刀也不再勇往直前。
2017年,劉彥國醫生帶著父親在自己的單位做了一次體檢,他的父親兩鬢斑白,是一位普普通通的農民。劉老爺子多年前曾患過結腸癌,好在發現得早,在早期干預下切除了癌症灶,自此劉醫生每年都帶著老父體檢,從不敢怠慢。他們運氣也不錯,這麼多年來結腸癌一直沒有復發。
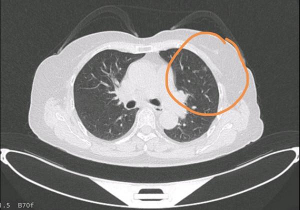
可是,當這一次體檢的報告出來後,劉醫生不淡定了,在父親的肺部CT上,能明顯看到有一個直徑在1.5cm左右的邊境不清晰的陰影,多年的臨床經驗讓劉醫生一下子就明白了,這是肺轉移癌,不過好在屬於早期,問題並不太大。
看著父親疲憊的雙眼和滿頭白髮,劉醫生實在想不到為什麼癌症病魔會接二連三地找上這個普通且勤勞的農民。
沉默半晌,劉醫生還是開口了:“爸,你這肺裡有個結節,可能還要再做一次手術”。
很明顯,聽到兒子說的話後,劉父本就不高大的身影又瞬間矮了下去,劉醫生很心疼,正想安慰兩句沒事的時候,劉父開口了:“是轉移了吧,別費勁了,反正年紀也大了”。
看到老父親情緒低落,有想放棄之意,劉醫生張了張嘴,自然不能同意,安慰父親道:“能治好”。
    醫生:能治好的
第二天起床以後,劉醫生就陪著父親在醫院裡做大大小小的治療,同時安排了床位住院,有了第一次患癌的經歷以後,劉父很明顯看上去輕鬆了很多,劉醫生也在想辦法儘可能地讓劉父保持輕鬆。
因此在那段時間,經常能看到劉醫生帶著父親在醫院的草地上、飯堂裡、咖啡廳中到處溜達,要不是身穿病服,他們真像在旅遊。
沒過多久,北大人民醫院腫瘤科的權威教授王主任,接受了劉醫生父親肺癌的手術,劉彥國醫生特地在手術室中找了位置,觀摩王主任的操刀手術。
手術開始了,王教授嫻熟地用柳葉刀劃開了劉父的胸部面板,然後是筋膜、肌肉,等切到胸膜的時候,劉醫生能清晰的看到父親跳動的有力的心臟,以及已經變形的血管。王教授事後對劉醫生很滿意,連連稱讚:“果然能培養出優秀孩子的人,一定不是一般人”。
劉教授看著父親平穩的呼吸,逐漸紅了眼圈……
等到切除癌症灶的時候,王醫生停了下來,他先切了癌症灶的部分組織,準備到病理科化驗,因為在沒搞清楚癌症的基底時並不能直接切,很快病理科的診斷出來了,原來是原發性的小細胞肺癌,並不是結腸癌轉移肺癌。
王教授當機立斷,切除了劉父的部分肺葉。這次的手術危險係數其實比較大,患者年齡70多歲了,而且有曾經做過癌症手術的經歷,因此較為兇險,不過好在王教授技術嫻熟,僅用了一個小時便切除癌症灶。
術後,劉醫生又帶父親做了兩次化療,為了讓父母散心,劉醫生還趁著節假日買了去海南三亞的機票,一家人其樂融融,劉父的心情也越來越好。回到老家後,劉醫生及其兄弟姐妹一致反對父親再繼續做農活,徹底讓他休息了下來,並且還買了許多花花草草讓父親照料。
2021年,劉父徹底恢復了健康,劉醫生也鬆了一口氣。
在這場癌症和醫學的較量下,正是有了親情的陪伴,癌症才能輸得如此徹底,希望劉醫生的經歷能幫助正在經歷癌症折磨的患者,願世界永無病痛。
    肺癌老父親為什麼能治好?
劉醫生父親能康復,不僅僅是因為王教授的手藝好,更關鍵的是因為劉父的肺癌並沒有進展到後期。
早期肺癌只要經過手術治療和化療就能完全康復,5年生存率非常高,部分患者可以存活20年以上不復發。
因此,醫生提醒,有以下生活習慣的人群需要注意,建議經常體檢以防肺部癌變,不要像劉父那樣患癌後才後悔。
1,吸菸很兇的人
據統計,肺癌患者中有90%的人擁有10年以上的煙齡,香菸中有尼古丁、焦油和兩百多種毒素,它們能堵塞患者的肺泡,影響人體正常的氣體交換,還能讓肺部變黑,使正常的肺組織完全壞死,可以說抽菸者就是肺癌的預備軍。
除此以外,抽菸者禍害的不僅是自己,二手菸的危害比直接抽菸更嚴重,抽菸者不但在自殺,也在危害家人、孩子的生命。
2,長期在粉塵漫布的工廠工作
劉醫生的父親為什麼突然患上肺癌?主刀醫生王教授切開劉父的肺葉後驚訝地發現,他肺部的淋巴結增生非常多,肺部血管很難找到與精準下刀。
而它肺部淋巴結增生的原因,就是粉塵吸入過多導致肺泡難以擴張,最終促使淋巴液分泌增加,淋巴功能亢進。久而久之就演變成了肺小細胞癌症。
劉醫生解釋,他的父親曾在某建築公司做過機械工,平時做的工作是切割車床、電焊、電器切,因此吸入的顆粒物數量過多導致了肺部發生病變。
據臨床統計,我國有許多因工作患肺癌的人,例如“矽肺”、“石綿肺”等等,時間一長還有可能直接導致肺纖維化。
所以從事伴隨顆粒物吸入的工作者,應當儘早進行肺部檢查,將患癌的可能性扼殺在搖籃中。









 
			 
			 
			 
			 
			 
			 
			 
			 
			 
			 
			 
			 
			 
			 
			