來源:協和深圳醫院
“江主任,救救我吧!”
運動醫學科的門診室傳來了一陣哭訴,在醫生面前,63歲的王阿姨卸下了心防,帶著哭腔講述著她的經歷。
7個月前,王阿姨的右肩關節無緣無故地痛了起來,肩膀抬不高,而且到晚上,疼痛還會更加劇烈。
在多家醫院予以口服鎮痛藥,理療等對症治療,效果欠佳。王阿姨的疼痛日漸加重,患肢活動困難,生活無法自理,尤其是夜間疼痛更為明顯,根本無法入睡。
原本一個性格開朗,笑口常開的老太太,現在變成一個脾氣暴躁、愁眉苦臉的“火藥桶”。王阿姨不但自己身心俱疲,而且與家人的關係也變得十分緊張。
江主任安撫好王阿姨的情緒後,詳細向王阿姨詢問了病史並翻閱了之前的病歷,做了相關的查體後,對病情已經大概瞭解——王阿姨7個月前已經在外院診斷為肩周炎,剛開始予以吃藥、康復等保守治療,隨著病情的發展,保守治療逐漸失效。
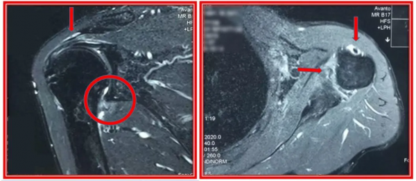
江主任迅速給王阿姨安排了肩關節 X 光片及核磁檢查。慢慢地,一個肩關節隱形殺手的真面目逐漸暴露在大家面前——肩袖鈣化性肌炎。
肩袖鈣化性肌腱炎
肩袖鈣化性肌腱炎是一種能導致肩關節僵硬和疼痛的常見病,通俗的講可以理解為肩關節的一種“結石病”。
肩袖鈣化性肌腱炎發生的病理本質為鈣鹽沉積在肩袖的肌腱組織內所致。
當肩關節疼痛時,很多患者會以為是肩周炎。而肩袖鈣化性肌腱炎與肩周炎相似,其病程具有自限性。二者的區別主要體現在以下幾個方面:
肩周炎通常好發於40歲以上的中年人,從事高強度體力勞動者發病率高,男女差別小;鈣化性肌腱炎則常發於30~50歲女性,發病人群多為家庭主婦、上班族、老師等,糖尿病的患者發病率較高。
肩周炎患者肩部疼痛一般比較和緩,夜間加重,肩部仍能活動;肩袖鈣化性肌腱炎患者一般起病較急,肩部疼痛劇烈,手臂抬舉困難。
文獻報道肩袖鈣化性肌腱炎的發病率在無症狀的肩關節為2%~20%,在有肩痛症狀的病人中高達50%。因此,鈣化性肌腱炎發生的嚴重程度各不相同,有些患者是透過影像學檢查時偶爾發現的;有些是因為肩關節疼痛,嚴重功能障礙時就診發現的。
![]()
上圖為一例嚴重肩袖鈣化性肌腱患者X光片,紅色箭頭所指為鈣鹽沉積
鈣化性肌腱炎可分為鈣化前期、鈣化期、鈣化後期三個時期。
在鈣化前期,肌腱中血供相對較少的地方可發生纖維軟骨性轉化,此期患者一般沒有症狀;
在鈣化期,鈣質逐漸沉積,軟骨逐漸被替代、侵蝕,之後可進入病變靜止階段,患者無任何臨床症狀。靜止階段時間長短不一,直至鈣鹽開始吸收,死腔由肉芽組織填充,吸收階段可出現極度疼痛,多數患者在此時尋求治療;
在鈣化後期,肉芽組織轉變成為成熟的膠原組織,重新形成肌腱,此期患者也可出現疼痛。
江主任立刻給王阿姨辦理入院,安排肩關節鏡微創手術。
肩關節鏡微創手術
因為肩關節內結構複雜,腔隙狹小,導致關節鏡操作困難,所以肩關節鏡手術為關節鏡手術中難度最高的一類,需要主刀醫生有豐富的臨床經驗及解剖知識。
肩關節鏡手術較傳統切開手術有著手術病灶更精準切除、併發症低、創口小、恢復快的優勢。
患者往往術後第二天就會明顯感覺疼痛消失,患肢可以自如活動,生活自理。
術中,手術團隊為王阿姨的右肩徹底清除了鈣化組織,並修補了破損的肩袖。
術後第二天王阿姨發現右肩疼痛完全消失,終於睡了大半年來第一個安穩覺。
久違的笑容重新綻放在臉上,親朋好友眼裡的那個和藹可親的老太太又回來了。
早上查房時王阿姨拉著江主任的手笑著說:“我本來以為我的手廢了,想死的心都有,感謝你們給了我第二次生命。”
肩袖鈣化性肌炎 臨床表現
1.肩部劇烈疼痛:大部分出現在鈣鹽吸收階段, 伴隨著突如其來的劇痛。
2.夜間疼痛:靜息痛,肱骨大結節處壓痛明顯,夜間可痛醒。
3.患肢無力,僵硬,手臂上舉困難 。
4.大部分患者因疼痛劇烈時尋求治療,夜間痛醒;也有一部分病人在評估肩袖撞擊綜合症時偶然發現 。
肩袖鈣化性肌炎 預防方法
1)讓肌肉休息,但避免休息過久,以免肌肉萎縮。
2)若肌腱炎的發生是運動引起的,更換運動專案。
3)洗按摩浴可幫助提高體溫並促進血液迴圈。
4)可以溫溼的毛巾熱敷膝蓋部位。
5)平時及運動前應多多伸展肌肉。
6)戴護具,可強化肌肉與肌腱。
7)使用冰塊消腫止痛,但心臟病、糖尿病或血管有問題的人不宜使用。
肩袖鈣化性肌炎 治療方法
臨床對這種疾病常見治療方法一般有以下幾種:
1)由於病程為自限性,應首選保守治療,而且大部分可以透過保守治療能夠治癒。包括休息、消炎藥物治療、理療、功能鍛鍊等,以及區域性注射類固醇藥物。
2)疼痛持續加重,影響日常活動,或者保守治療無效,可考慮手術治療。目前手術治療首選在關節鏡下切除鈣鹽沉積塊,如果鈣鹽沉積塊體積較大,需要同時在關節鏡下修復肩袖。
3) 衝擊波治療慢性鈣化性肌腱炎是近幾年出現的新的方法,其機理是通過沖擊波造成微創傷,刺激區域性血流來達到治療目的。大約有50%-70%的病人在接受1到2次高能量的衝擊波治療後症狀有好轉。治療過程中患者較為疼痛,有時需在麻醉下進行。但衝擊波治療極少發生併發症。
4)中醫治療是一個選項,康復訓練能輔助治療。
