Invited Review
Published: 14 September 2014
Complications in percutaneous nephrolithotomy
Iason Kyriazis,
Vasilios Panagopoulos,
Panagiotis Kallidonis,
Mehmet Özsoy,
Marinos Vasilas &
Evangelos Liatsikos
World Journal of Urology volume 33, pages1069–1077 (2015)Cite this article
1929 Accesses
41 Citations
Metricsdetails
Abstract
與其他微創技術相比,經皮腎鏡取石術 (PCNL) 通常被認為是一種安全的技術,在首次治療後,可提供較高的無石率。儘管如此,在這種經皮手術後仍會出現嚴重的併發症,儘管這種情況很少見。在這項工作中,正在審查與 PCNL 相關的最常見和最重要的併發症,重點是圍手術期危險因素、當前管理和需要採取的預防措施以減少其發生率。此外,由於對 PCNL 併發症描述缺乏普遍共識,併發症報告也受到批評。不同作者將圍手術期出血、腎面板造瘻漏尿、腎盂系統損傷和疼痛等併發症單獨分級為併發症,並導致報告的總體 PCNL 併發症發生率存在顯著差異,因此幾乎不可能比較研究之間的併發症發生率。由於後者,一個普遍接受的分級系統專門用於評估 PCNL 相關併發症,並針對 PCNL 技術的每個變化進行標準化,被認為是必要的。
Introduction
關於腎結石病PCNL治療的早期報道可以追溯到 1941 年和 1955 年,當時報道了第一次腎結石切除術和第一組經皮腎造瘻術 。1981 年,Wickham 報道了第一個系列的經皮腎鏡取石術 (PCNL)。從那時起,該技術及其儀器不斷髮展,該程式已成為泌尿外科裝置中治療結石症的常用方法。根據歐洲泌尿外科協會的指南,PCNL 是推薦的大 (>2 cm)、多發性和下盞腎結石的一線治療方法 。與其他微創碎石技術相比,PCNL 通常被認為是一種安全技術,可在首次治療後提供最高的無結石率 。儘管如此,經皮腎鏡取石術後仍會出現嚴重的併發症,儘管這種情況很少見。在當前的研究中,正在審查與 PCNL 相關的併發症,重點是圍手術期危險因素、當前管理和需要採取的預防措施以減少其發生率。
一、併發症和分級
目前,缺乏用於評估 PCNL 相關併發症的專門分級系統,修改版的 Clavien-Dindo 手術併發症分類是最廣泛接受的評估系統。根據後一種分類,絕大多數 PCNL 併發症屬於低級別,而嚴重併發症非常罕見。德拉羅塞特等在對包括 5,800 多例病例在內的國際泌尿外科臨床研究辦公室 (CROES) 國際前瞻性資料庫的分析中,79.5% 的病例報告無併發症,16.4% 的病例報告低度併發症(1 級和 2 級),3.6% 的病例出現中度(IIIa 和 IIIb)併發症,而僅 0.5% 的病例出現嚴重併發症。
然而,應該指出的是,由於對 PCNL 併發症的描述缺乏共識,並且缺乏標準化的 PCNL 特定併發症分級系統,導致報告的併發症發生率之間存在很大差異,並使不同研究之間的發病率比較存在問題。例如,術後即刻出現輕微的、臨床上無意義的血尿或腎造口管周圍穿刺部位或腎造口引流管移除時的短暫(
二、併發症和管理
1.出血性併發症
PCNL相關出血可分為手術期出血、術後即刻出血和遲發性出血。
(1)PCNL手術期出血
PCNL手術期出血通常很常見,但很少有臨床意義需要輸血。已記錄的輸血率範圍在 0 到 20% 之間,最近的系統評價 中計算出的總體輸血率為 7%。圍手術期出血通常是由於腎造口術鞘過度彎曲導致腎小管擴張或腎臟撕裂導致實質血管破裂。這種出血不應被視為併發症,除非需要輸血或停止手術。僅 0.2% 的病例記錄了因過度出血而中止 PCNL,因為腎造口術鞘往往會填塞並壓迫大部分穿刺路徑相關的出血,同時將鞘移近腎盂系統壁可改善視野,並允許安全完成手術。傳統上,透過 Brodel 無血管平面內的腎盞尖端進入腎盂系統被認為是導致較少出血的途徑。此外,建議使用軟性腎鏡進入遠處的腎盞,避免進入鞘過度彎曲,從而避免大量出血。出血性併發症的預測因素是多次穿刺、大通路鞘管擴張、大結石(鹿角)和手術時間長。意外擴張導致的主要腎血管破裂是一種非常罕見的併發症 (0.4 %),可能危及生命,可能需要緊急腎切除術。為了避免這樣的事故,應始終檢查以驗證針頭在腎盂或腎盞系統中的正確定位。在出血液情況下,應該中止擴張,並且應該撤回針頭並重新定位。此外,擴張應始終在導絲引導下進行,導絲透過腎盂或腎盞系統安全盤繞或沿輸尿管向下推進。
(2)術後即刻出血
術後即刻出血, 通常在腎造口術鞘移除後,並且是由實質腎血管或位於穿刺路徑中的血管出血引起的(即肋下血管)中的血管出血引起的。腎造口管內的血液引流可證明實質出血,可以透過將腎造口引流管抬高至患者水平面或將管子夾住幾分鐘,以允許系統內形成凝塊來控制實質出血。此時的輕微出血不應被視為併發症,除非它不能輕易控制和/或需要輸血。腎造瘻管周圍出血證明的循跡出血可以透過對瘻管面板口施加的外部壓力輕鬆控制。很少需要使用透過切口注射的額外止血劑。少數情況下,在腎造瘻管移除過程中,術後幾天會出現嚴重的延遲性出血。未癒合的實質血管(通常是繼發性動脈早午餐)通常是造成這種出血的原因,並且立即插入 Folley 導管以防止膀胱凝塊形成對瘻管的面板口施加外部壓力是處理這種併發症的關鍵。除了確保血流動力學穩定性的保守措施外,計算機斷層掃描可以記錄診斷並檢查是否需要保守控制出血或需要對出血血管進行選擇性栓塞。
(3)延遲出血
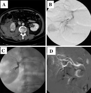
延遲出血的其他原因是動靜脈瘻和動脈假性動脈瘤(圖 1)。這些併發症很少見,佔所有病例的 1.2% 。患者通常在經歷一個複雜多事的過程後出院,並在幾天甚至幾周後返回,抱怨持續性輕度血尿。該病的特徵是間歇性或持續性血尿、血紅蛋白緩慢下降,很少出現低血壓或肉眼血尿。腹部 CT 可證實診斷,應透過選擇性栓塞術進行治療 。
![]()
圖1 透過栓塞治療,右腎假性動脈瘤導致延遲出血和腎周血腫形成。a, b 栓塞前。c、d 栓塞後
包膜下腎或腎周血腫是非常罕見的出血併發症。它們大多是由於其他原因(例如,腎絞痛)在放射學評估後被意外診斷出來的,並且通常會順利消退 。CT 掃描也是區分血腫和尿腫的建議檢查。保守治療在大多數情況下是有效的,而很少需要介入措施(或放置經皮引流)。
2.感染性併發症:發燒/膿毒血癥
發熱是 PCNL 的常見術後併發症,總髮生率為 10.8% 。在大多數情況下,短期靜脈注射抗生素的保守治療通常是有效的。術前菌尿是結石病感染性併發症的已知原因,應在術前透過尿培養確定並進行相應治療 。對於術前尿液無菌的患者,手術持續時間和沖洗液用量已被確定為術後發熱的危險因素 。
PCNL 很少發生膿毒血癥,但會對患者產生有害影響 。術後膿毒症的易感因素包括術前菌尿、神經源性膀胱功能障礙、腎臟異常、手術過程中腎內壓升高和手術時間延長。基於上述情況,術前在出現菌尿的情況下開始適當的抗生素治療,限制手術時間並確保碎石期間的低壓沖洗設定,可以減少這種嚴重的併發症。此外,如果在穿刺過程中發現膿性物質,應中止手術,插入腎造瘻管,並在適當引流和腎盂系統消毒後處理病例(圖 2)。
右腎鹿角結石和腎積水的患者。在進入腎盂系統期間,注射後,造影劑透過輸尿管導管與胸膜(瘻管)連通。手術被取消。上極膿腫被引流,第二次進行 PCNL。
應該強調的是,雖然 PCNL 後感染併發症相對常見,但尚未建立普遍接受的圍手術期抗生素預防方案。對於術前尿液無菌的患者,單劑量預防或短期預防在預防感染方面被認為是等效的 。儘管如此,在一項前瞻性對照研究中,術前使用環丙沙星治療 1 周可降低發熱和膿毒血癥。此外,最近的一項薈萃分析顯示,預防性抗生素可降低術後感染併發症的發生率,而延長抗生素療程可有效降低發熱和菌尿的發生率。
3.胸部併發症
經皮穿刺路徑中胸膜的存在很可能會導致某種圍手術期胸膜併發症,包括輕度氣胸、胸水和罕見的血胸或尿胸。此類併發症通常不常見(
PCNL 後的氣胸通常發生並不嚴重,並且在大多數情況下無需治療,即可順利消退。儘管如此,一旦確診,應密切進行放射學隨訪直至完全消退。術中胸水是由沖洗液進入胸膜腔引起的。為避免此類併發症,應在手術結束時,且僅在沖洗停止時,去除除上盞通路鞘。後者是因為即使胸膜已被侵犯,通路鞘也傾向於填塞胸膜腔的入口,避免形成胸水。如果輕度,可以透過延長腎臟引流,保守治療胸水。在大量積液的情況下,應插入經胸膜引流管。
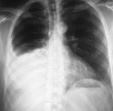
血胸和尿胸是非常罕見的併發症。血胸可能是肋間動脈損傷或更罕見的直接肺部穿刺的結果。在大多數情況下,透過肋骨的上邊界繞過肋骨可以避免這種併發症。當意外的圍手術期胸膜侵犯未癒合而留下腎胸膜瘻時,腎造口引流管移除後通常會出現尿胸(圖 3)。收集系統和胸膜腔都應引流(最好透過新的腎造口術和小口徑胸腔引流管)。一旦排尿停止,應首先移除胸腔引流管,幾天後移除腎造口術。
在右腎 PCNL 後,取出malecot 鞘後第 3 天尿胸胸部 X 光片。該病例透過胸部引流和插入同側豬尾支架進行管理。置入後 2 天拔除胸腔引流管,1 周後拔除豬尾支架
4.腎面板瘻/外周梗阻引起的尿漏
通常,一旦腎造口引流管被移除,腎面板瘻會引流一些尿液,直到腎盂系統入口癒合。當使用大口徑腎造瘻導管(即 36 Fr Malecot 鞘)、導管插入時間長,且未使用輸尿管內引流時,腎面板瘻引起的尿漏通常更為突出,.因此,尿漏本身不應被視為一種併發症,除非它超過正常的持續性,這通常是由結石碎片或凝塊引起的外周阻塞的跡象,需要干預。文獻報道了 1.5% 到 3% 的持續性尿漏發生率。大多數腎面板瘻持續漏尿的病例應透過插入雙 J 輸尿管支架來處理,以解決梗阻的症狀和放射學評估。
5.腎盂系統破裂
從字面上看,每次 PCNL 穿刺和通路擴張都是腎盂系統破裂的一種形式。此外,在導絲和通路鞘放置以及碎石操作期間,集合系統的撕裂可能是明顯的。外科醫生的目標是在碎石術期間,以可控且安全的方式進入集合系統,以避免導致術後尿囊形成的嚴重破裂。據我們所知,與輸尿管的醫源性損傷相比,目前沒有針對 PCNL 後腎臟損傷的分級系統。因此,根據術後引流的需要與否,這種損傷被定為輕度或重度。儘管如此,如果術後充分引流,大多數腎盂撕裂會順利癒合。因此,儘管據報道集合系統損傷高達 5.2%,但僅在 0.2% 的病例中記錄了尿囊形成。綜上所述,圍手術期造影劑外滲不一定與任何不良結果相關,只有尿囊形成應視為併發症。
集合系統重大破裂的誘發風險因素是高壓沖洗系統、強行插入硬導絲和擴張器,以及在受影響的腎盞結石上強行使用碎石器材。為了到達遠處的腎盞,腎鏡經皮通路的過度成角是集合系統破裂的額外風險。
6.器官損傷
穿刺不相關的腹腔內器官(如腸、脾和肝)是一種罕見(
如果術後確診,應開始腸外營養和廣譜抗生素治療。如果瘻管持續存在或腹膜炎體徵,手術和臨時結腸造口術 3 個月是不可避免的 。如果在術中確診,管理的關鍵是分離腸道和泌尿道之間的連續性,以防止兩個系統之間形成瘻管。在結腸中建立引流管(即腎造瘻管)並在腎盂系統中插入另一個腎造瘻管是最常見的處理方法。從術後第 7 天開始,可以逐漸移除結腸引流管(1 釐米/天)。之後,可以在隨訪期間透過鋇劑灌腸或 CTU 確認結腸完整性 。
PCNL期間肝脾損傷的文獻報道較少。大多數病例透過嚴格固定和長期維護腎造瘻管以填塞受傷區域進行保守治療。然而,在血流動力學不穩定或症狀持續存在的情況下(通常透過 CT 掃描診斷),手術探查是必要的。
7.神經系統併發症
PCNL 後的神經系統併發症很少遇到,報告的系列相當有限。報道的併發症包括通常影響 T12 皮節的局灶性神經病和暫時性截癱 。
8.疼痛
術後疼痛不是也不應該被視為 PCNL 的併發症,而是該方法的預期結果。儘管如此,已經報道了不同 PCNL 技術在術後即刻期間疼痛和鎮痛需求的顯著差異。根據最近的研究,減少術後疼痛的重要作用在於儘量少使用腎造瘻管和輸尿管支架,因為與標準 PCNL 相比,無管和完全無管 PCNL 的特點是住院時間更短,鎮痛劑消耗量更低 。儘管如此,這些技術只能應用於不復雜的情況 。應該強調的是,雖然疼痛是 PCNL 技術的一個重要圍手術期引數,但它在研究中的記錄相對較少。視覺模擬量表和鎮痛藥用量是最常用的術後恢復方法。因此,除了康復過程和重返工作的記錄之外,更好的疼痛記錄(例如,透過使用經過驗證的問卷)必須在進一步的前瞻性研究中得到改進,旨在獲得經皮技術的這一重要術後方面。
9.死亡
PCNL 的直接後果是死亡,是非常罕見的併發症。Unsal 等人記錄了 0.2% 的死亡率(三名患者死亡),審查了 1,406 例病例的佇列。重要的是,他揭示了危及生命的併發症發生率與查爾森合併症指數 (CCI) 的直接關聯。2.9 % 的 CCI 0 患者、7.6 % 的 CCI 1 患者和 21.6 % 的 CCI 2 患者出現危及生命的併發症。患者不適合克服潛在的 PCNL 併發症,如出血或敗血症,對於非常高風險的患者,應考慮更保守的治療選擇。
三、風險因素
目前,影響 PCNL 相關發病率的幾個引數已被確定為併發症的預測因素,總結在表 1 中。表 1 確定的 PCNL 相關併發症的危險因素
Table 1 Identified risk factors of selected PCNL-related complications
最近的一項薈萃分析證明,患者體位(即俯臥位與仰臥位)不會影響總體併發症發生率。相比之下,使用多通道時出血、敗血症、肺損傷和腎假性動脈瘤的發生率更高。沒有術後腎造瘻術(無管 PCNL)不會危及患者的安全,因為它不會增加併發症,正如幾項薈萃分析所證明的那樣 。在有大量適應症、適當的裝置和足夠的經驗的情況下,兒童 PCNL 可提供與成年人相似的結果,具有相似的併發症發生率。相比之下,老年患者出現併發症的風險略高,住院時間更長。不過,應該指出的是,老年人併發症發生率較高的原因是併發症發生率較高而不是年齡本身,而且在選定的老年患者中,PCNL 的併發症發生率與其他人群相當。
總體而言,肥胖患者的結局與一般人群相似;然而,超肥胖(BMI>40)患者出現更嚴重併發症的機率更高。病態肥胖患者的 PCNL 與更長的手術持續時間、更高的再次干預發生率相關,以及圍手術期併發症(如出血)的風險增加。此外,從長遠來看,代謝綜合徵患者的結石複發率非常高(> 40 %)和腎功能惡化 。
毫無疑問,直接影響併發症發生率的一個基本因素是外科醫生的手術經驗。實際上,經驗豐富的泌尿科醫生不僅可以降低併發症的發生率,還可以縮短手術時間,這也會影響發病率。
結論
PCNL 是一種安全的手術,具有頻繁但低度的併發症,通常可以順利解決。然而,儘管在集合系統穿刺和經皮路徑擴張技術方面有所改進,但 PCNL 很少會引起嚴重的併發症。使用這種經皮方法的外科醫生必須熟悉所有相關的併發症,並在必要時準備好進行適當的管理。此外,PCNL 穿刺技術的標準化可以將嚴重的併發症減少到最低限度。在 PCNL 相關併發症的分級方面,我們的審查顯示,包括圍手術期出血、腎面板瘻漏尿、腎盂系統損傷和疼痛在內的特定主觀評估的併發症被不同作者單獨分級為併發症,並且是造成顯著差異的原因。報告的總體 PCNL 併發症。根據我們的意見,將上述併發症替換為更客觀的引數,例如輸血率、有症狀的尿路瘤形成和二次手術的要求,將使研究之間的併發症報告更加一致(表 2)。
表 2 主觀訪問的圍手術期引數導致所報告的 PCNL 併發症發生率的顯著變化,並建議使用等效的客觀引數來代替它們
Table 2 Subjectively accessed perioperative parameters responsible for the significant variation in the reported PCNL complication rates and suggested equivalent objective parameter to replace them
【來源:中國網醫療頻道】
