影像檢查“未見異常”
在門診上,經常有病人拿著檢查報告過來問:一切影像正常,可我總覺得身體難受,這是什麼毛病?
影像診斷,是一個客觀的識讀過程,在影像上有問題可以診斷,沒有發現問題,不代表完全正常,所以影像報告一般說:未見異常,而不會使用正常,沒事等述語。
那麼未見異常,在臨床上怎麼來進一步處理呢?
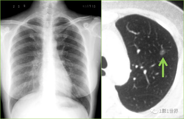
第一,未見異常,僅代表這種儀器、這種裝置未見異常,可能真沒事,也可能是這種裝置的侷限性。比如,最常用的胸部X線拍片,很多細小的病變真就顯不出來,只能報胸部正位片未見異常,但很多這種病人,在胸部CT底下,又會發現更多細小的問題。
胸部平片未發現異常,但是胸部CT發現左上肺磨玻璃結節
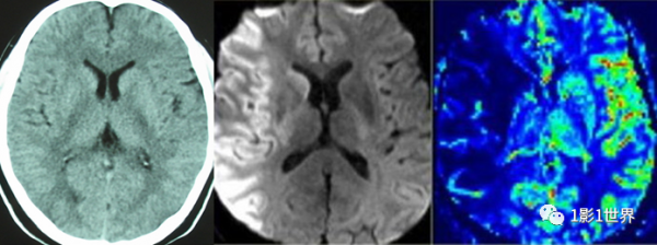
再比如,急性腦梗死,在急性期一般頭部CT會表現“正常”,報告未見異常,但是一些特殊檢查如磁共振彌散加權(DWI)序列上、在CT大腦灌注掃描上,還是會有明確的異常表現。
男,55歲,突然發現左側肢體活動不靈3個小時,頭部CT未見異常,磁共振DWI和ASL均發現右側大腦中動脈供血區異常訊號
這時,需根據臨床症狀、可能的疾病方向,來判斷是真沒問題,還是需要換檢查方法進一步檢查。
第二,未見異常,是目前沒有發現什麼問題,是疾病發展的一個階段。比如,腦外傷的病人,頭部CT未見異常,但過了幾個小時,病人煩躁不安,意識模糊了,這時立即再複查CT,發現顱內有了出血。這是一個過程,受傷當時可能真沒有出血,或出血量太少,根本看不見,但隨著時間程序,出血不斷增加,臨床症狀也開始加重,此時頭部CT也可以明確顯示病變了。再比如,現在還在肆虐的“新冠”肺炎,有些病人在胸部CT上查沒發現問題,但隨著病情進展,可能就表現出來了。
2019年武漢打工回鄉人員,發熱就診,第一天胸部CT未見異常,第2繼續複查發現肺內小片狀病變,到第3天發展很快,後核酸檢測陽性而確診。
還有些疾病,時間尺度可能更大,不是幾個小時,可能是幾周,幾個月才會表現出來,所以,醫生經常會囑咐病人,定期複查,就是這個道理。
第三,未見異常,可能是醫生個人經驗不足。影像檢查,是一個憑影斷病的技術,所以無論從裝置上還是從技術上,都可能存在盲區,不可能100%地檢出實際存在問題,於是國家也有相關規定,漏診率<5%,這個小機率事件,遇到經驗不足的醫生,可能報告未見異常,從而造成漏診。
第四,未見異常,是疾病本身的特點使然。比如,一些內分泌或代謝性疾病,主要表現在化驗指標的異常,而影像學上一般不會有宏觀上的結構異常,所以影像檢查會報告未見異常。這種情況,不代表沒有問題,而是應該注重化驗或其它臨床檢查。
