導語:大家對克羅恩病或有耳聞,它屬於炎症性腸病的一種,和普通的腸胃炎有許多相似之處,急性發病時易與闌尾炎混淆,慢性發病時又可能被誤診成腸結核等疾病,若是隻累及結腸部位時,症狀就與潰瘍性結腸炎相像了,但實際上此病與腸胃炎的性質有很大區別。
腸胃炎是發生在胃腸道粘膜的炎症,而克羅恩病則是慢性炎症肉芽腫性疾病,一旦患上以如今的醫療條件是無法完全治癒的,只能透過各種治療方式來緩解。那麼這種病症究竟是什麼樣的一種病症呢?我們來進一步瞭解吧。
克羅恩病/CD的病變部位以末端迴腸和鄰近結腸最多見,但從口腔到肛門這整條消化道都是它的可能累及物件,這也是為什麼此病會和諸多疾病類似的原因之一,患病群體多為青少年,男女患病率基本持平。
致病因素
CD的具體病因仍待明確,但許多研究結果發現與環境、遺傳以及腸道菌群綜合作用引起的腸道免疫失衡有關係。總體來說就是,環境可能影響了遺傳易感性,再加上腸道微生態紊亂,腸道的免疫機制被異常啟用,促使腸粘膜受損,並造成其持續性的炎症損傷。
病理特點
①病變部位一般呈節段性分佈;
②發生病變的粘膜其潰瘍是上下走行的,形狀像排列的鵝卵石;
③CD可以損傷腸壁的全層結構,纖維增生使得腸壁厚度和硬度都增大,變得更狹窄
另外,腸壁病變時可有纖維素滲出導致腸道相互粘連;潰瘍嚴重到穿孔的時候可能繼發引起膿腫,若是穿透到其他組織,則可能形成瘻道。
症狀
多數CD患者病發沒有異狀,早期症狀不明顯,病情發展也緩慢,所以想要確診此病或需要等上幾個月甚至幾年,此病病程長,常常是一段時間有活動一段時間又沉寂,如此往復,難以治好。小部分患者則是急性起病,表現類似急腹症—劇烈腹痛。CD的臨床症狀多變複雜,以下是常見的症狀:
(一)腸內表現
·腹痛 這在CD患者身上最經常見到,疼痛位置在右下腹+臍周的機率大,觸及有壓痛,如果壓痛很明顯或者腹痛是持續性的,有可能是發生了腹膜炎、膿腫。
·腹瀉 病人可發現拉出糊狀的糞便,有時會有血液摻雜,但是程度不像潰瘍性結腸炎那麼嚴重,但要是累及結腸下段、直腸的話,患者可出現粘液血便以及裡急後重感。
·腹部包塊 十個患者約有一兩個會有此症狀,可能為腸黏粘,腸壁變厚或者區域性膿腫等導致
·瘻管 這可以說是CD比較有區別性的表現,也比較常見,分為內外瘻,前者是通向相鄰腸段、腸繫膜、腹膜後、輸尿管等,後者是通向腹腔、肛周面板等。腸道之間的瘻管會加重患者腹瀉症狀和營養不良。
·肛周病變 比如瘻管、肛裂等,這可以成為某些病人就診的原因
(二)腸外表現
除了累及消化道外,CD還能損傷關節、眼、面板和口腔粘膜等,導致口腔粘膜潰瘍、面板結節性紅斑、眼病等疾病。
(三)全身症狀
·發熱 一般是因為腸道有炎症性活動或者出現了繼發感染,但是溫度並不高,多為間斷性的中低熱度,如果變成高熱,就要檢查是否有膿腫或者感染。
·營養狀況不佳 慢性腹瀉、沒胃口等都是原因,患者會出現體重下降、維生素缺乏等表現
(四)併發症 因為上面提到纖維素會使腸段粘連,所以腸梗阻是最多發生的併發症,其次是腹腔形成膿腫。要知道的一點是,CD經久不愈的病理特點決定了該病患者相較普通腸胃炎病人有更高的癌變機率。
檢查方法
1.血液、糞便等實驗室檢查可以起到輔助作用,比如貧血、血沉加快、C反應蛋白數量增加說明疾病處於活動期;大便中檢測到紅細胞、粘液細胞等代表患者便中有血、粘液。
2.結腸鏡是首選檢查CD的方法,並且鏡檢的範圍應該擴至迴腸末端。鏡下可以觀察到非對稱但呈節段性的粘膜炎症,縱行潰瘍、鵝卵石樣外觀是有特異性的徵象;如果懷疑是小腸CD的病人,在排除掉腸腔狹窄、梗阻後(防止卡住內鏡),可以選用膠囊內鏡。
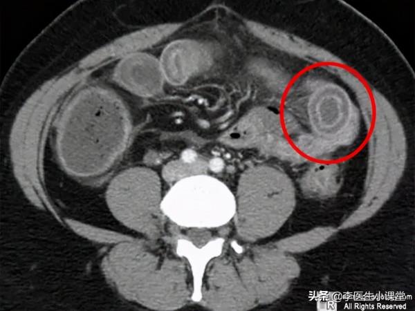
3.藉助CT或者磁共振腸道顯像能夠知道到病變的位置、範圍、腸道是否有狹窄以及一些腸外併發症,可以作為小腸CD的常規檢查手段;
克羅恩病活動期在CTE影像學上的表現有比較明顯的特點—腸壁增厚+分層改變、腸粘膜、粘膜內層與漿膜外層密度都增加,看上去就像一個靶子,醫學上將此稱為“靶徵”;當腸繫膜的血管增多扭曲並且發生擴張,影象上看起來形似木梳,也就是所稱的“木梳徵”;
對於肛周病變,盆腔磁共振可以幫助瞭解它的分佈和瘻管型別等資訊
但是在鄉鎮這樣的地方,醫學條件有限,不能做像CTE/MRE這樣相對先進的檢查,多用胃腸鋇劑灌腸造影,當然效率也比較低下。
鑑別
克羅恩病的各種性質讓得它和很多消化系統疾病相似,所以在下診斷的時候要注意和其他疾病鑑別,以急性闌尾炎為例,患者不經常腹瀉,但是一般都有典型的轉移性右下腹痛和麥氏點的侷限性壓痛,CD患者則少有這樣的特徵性表現。
治療
CD的醫治在於緩解病情,預防併發症和復發,提高生存質量,其中對粘膜的治療是關鍵環節。
Ⅰ控制炎症反應 要根據CD處於的時期來選擇適合的藥物
活動期—水楊酸類;糖皮質激素;免疫抑制劑;抗菌藥物;生物製劑;全腸內營養
緩解期—硫唑嘌呤、硫嘌呤是臨床上常用的藥物,有維持治療的效果;5-ASA用在程度輕且病變侷限的CD。
Ⅱ對症治療 有些患者會出現水電解質紊亂、貧血、低蛋白血癥等現象,需要及時糾正,防止進一步引起病情加重
Ⅲ手術治療 克羅恩病本身一般不採用手術介入,但是針對如腸梗阻、急性穿孔、腹腔膿腫等併發症,僅靠藥物是很難預期的治療效果的,手術則比較有效。
結語:克羅恩病是常見有罕見的疾病,雖然不能完全治癒,但是堅持治療控制病情可以讓患者獲得比較高的生存質量。
