如果肺結節治療可以不用手術,不用挨一刀,相信很多患者都會義無反顧地選擇這一方法,但現在的消融技術並沒有達到與手術完全對等的效果。在我碰到過好幾例磨玻璃結節消融手術後,最後結節灶都不同程度地繼續長大,最後只能再次手術。
下面這位患者在發現磨玻璃結節後,當地醫院表示,因為她的結節位置不好,需要肺葉切除,40多歲的年紀,一想到肺葉切除對肺功能的影響,就表示完全接受不了,輾轉多家醫院諮詢後,都告知要麼隨訪,要麼葉切,沒辦法,在慌亂之下,患者治病心切就選擇了消融。但是隨著術後對消融的深入瞭解,患者後悔了,貼吧向我尋求補救措施。
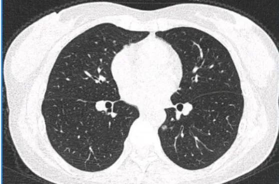
第一次看了她的片子後,我發現只是微浸潤腺癌,在精準定位下,楔形切除小手術即可根治,段切都不需要。目前建議定期隨訪,密切關注消融後病灶的變化情況,不長大就安全。萬一長大也可以再手術。
在我之前的科普文章中也提到過,消融主要用於不能手術的高危人群,算是一種姑息治療或替代性治療。但做了也沒關係,如果長大也還可以控制,只是手術比之前難一點而已。
以下轉自患者諮詢:
2022-01-09
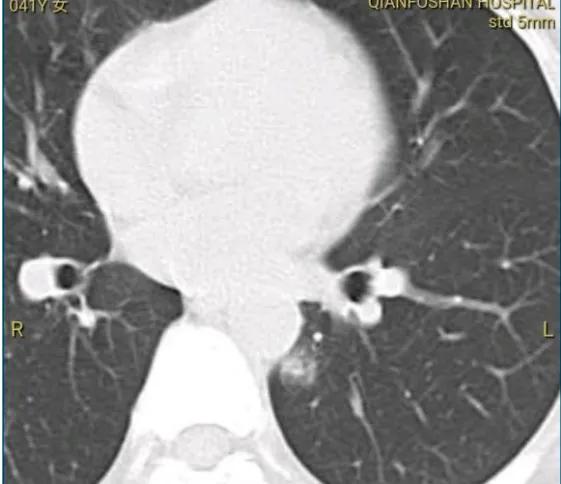
戴主任,您好!很遺憾現在才知道您,要不然也不會這樣焦慮。本人,女,43歲,於2020年10月單位體檢,發現磨玻璃結節後一直隨訪,大小、形態也沒有變化。最後一次2021年11月檢查時大夫讓做手術,說位置不好需切肺葉。由於對切肺葉接受不了,上北京求診,先後去過協和、東腫胸外科。協和說切,東腫說可以繼續觀察,如果切除要段切,甚至葉切。由於治療心切,又不想葉切,在心慌意亂之下選擇了消融,也沒有病理。可深入瞭解消融,又開始後怕,整夜睡不著覺。懇請戴主任百忙之中,看一下我的片子是什麼性質?磨玻璃如果復發會怎麼樣?是磨玻璃結節,還是會變成別的?會不會惡性程度高了?現在,有什麼補救措施嗎?懇請您百忙之中,能回覆,百分感謝。
我的回覆:
這個是微浸潤腺癌,精準定位下,其實楔形切除小手術即可根治。目前建議定期隨訪,密切關注消融後病灶的變化情況,不長大就安全。萬一長大也可以再手術。
我做過好幾例磨玻璃結節消融後繼續長大,我們再手術的病例了。萬一長大也有辦法控制,只是手術難些了。
2022-01-19
尊敬的戴主任您好,前幾天向您諮詢過。我有0.8cm的純磨玻璃結節,您判斷是微浸潤。我已經做了消融術,您的意見是不長就是安全的,讓我把消融的片子發給您看看,當時還沒做,所以也沒發。現在我做了,麻煩您看一下:
1. 消融有沒有轉移擴散的風險?
2. .如果復發,是再長一個磨玻璃結節,還是會變成性質更嚴重的結節?
今天去看了一個當地有名的胸外科專家,連片子都沒看,就要求我住院再做手術,我現在已經六神無主了。祈盼戴主任百忙之中,再給我指點迷津,萬分感激。
我的回覆:
消融灶隨訪吧,沒有長大,暫時可以不手術。若心理壓力大就楔形切除小手術切掉。
