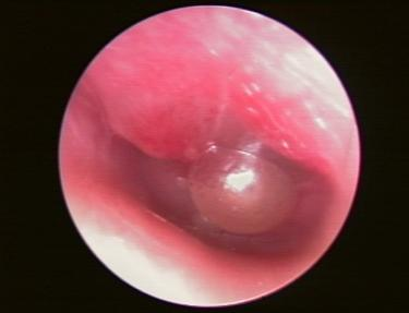
大皰性鼓膜炎又稱出血性大皰性鼓膜炎,是病毒感染引起的鼓膜和鄰近鼓膜的外耳道面板的急性炎症。
大皰性鼓膜炎在現代生活中較為常見,這個疾病多發於兒童和三十歲以下的人群,患有大皰性鼓膜炎往往會給患者的健康以及生活質量帶來一定影響,該疾病最主要的症狀就是耳部疼痛。如果有一天耳部突然發生疼痛並且迅速加重,那就有可能是得了大皰性鼓膜炎。此病首要症狀為外耳道劇痛,有時會伴有頭部疼痛的情況出現,在大皰破裂之後,耳部疼痛的情況則會逐漸減輕。
大皰性鼓膜炎患者的大皰破裂之後,患者的耳內會流出淡黃色或稀薄血液的分泌物,血皰破裂或自行吸收,在鼓膜表面一般不留痕跡或僅有鼓膜充血。大皰性鼓膜炎的患者會出現聽力下降,還會伴有耳部悶脹、耳鳴、眩暈、四肢無力、低熱等急性炎症的症狀表現,需儘快就診。
大皰性鼓膜炎的發病原因比較複雜,一般認為該疾病是由於流感病毒感染而引發,也可發生在其他呼吸道感染後。除此之外耳道區域性感染、藥物的刺激以及不正確的生活習慣等原因也會誘發疾病出現。
發現患有大皰性鼓膜炎患者要特別重視,需要立即到正規醫院的耳鼻喉科進行檢查,根據感冒病史、劇烈耳痛等症狀,加耳鏡檢查見大皰,可協助診斷。大皰性鼓膜炎還需要與急性化膿性中耳炎等疾病相鑑別。確診為大皰性鼓膜炎需積極治療,如果患者疼痛的情況較為嚴重需要進行鎮靜藥物治療,口服抗病毒藥物,區域性外用滴耳液,但選擇何種治療方法要聽從專業醫生的意見。
大皰性鼓膜炎的患者在平時生活中要特別注意,在大皰破裂前應區域性保持清潔,大皰破裂後應拭乾外耳道,保持清潔。並及時注意關注氣候變化,儘量避免著涼,兒童應注意營養均衡,提高自身免疫力,減少耳部疾病的發生。
科室簡介:耳外科
山東省耳鼻喉醫院耳外科是在我國著名的耳科專家樊忠教授、王海波教授、樊兆民教授等一批學科帶頭人辛勤工作下逐漸發展的科室。在中耳及相關疾病的規範化治療方面走在國內前列。配備獨立的專業門診,專科手術室,擁有OH6等高階手術顯微鏡,進口動力系統,術中神經監測儀等一流水準的裝置,主流手術技術達到與國際同步。年手術量達2000餘臺,手術數量及精細程度均具國內先進水平,在國內具有較高的學術影響力。近年來,依託FISCH國際顯微手術基金會山東培訓中心,每年開辦多期顳骨解剖高階培訓班,進修醫師來自國內20餘個省市。
專家簡介:李莉
主任醫師,耳外科主任,臨床醫學博士,英國Royal London Hospital訪問學者
專業領域:擅長各種慢性化膿性中耳炎,鼓室硬化症,中耳膽脂瘤,以及各種迷路瘻管,中耳炎後遺疾病(粘連性中耳炎、鼓室硬化、中耳膽固醇肉芽腫、隱匿性中耳炎)的手術治療及聽力重建等;咽鼓管相關疾病,如分泌性中耳炎、咽鼓管功能障礙致耳悶堵、咽鼓管異常開放等的診療(咽鼓管功能評價,咽鼓管球囊擴張術、咽鼓管異常開放的手術治療);面神經腫瘤、各種周圍性面癱,包括Bell面癱,外傷性面癱,Hunt綜合徵及中耳疾病併發周圍性面癱,晚期面癱的整復等。
學術成就:承擔國家自然基金面上專案一項,承擔並完成山東省自然基金面上專案一項,山東省重點研發專案一項。近年來以第一作者發表sci及國家級核心期刊20餘篇,主編專著一部。多次參加國際性面神經及耳科學等學術會議並作大會發言。
學術兼職:中國醫師協會顯微外科分會耳神經及側顱底顯微修復專業委員會委員。
