病史資料:
患者,男性,分別於今年2021年9月份和2021年12月份做的CT,且CT結果顯示相關肺結節大小沒有發生顯著變化。9月份醫生診斷意見吃消炎藥,三個月後複診。12月在同一家醫院同一醫生診斷為肺癌。煩請大夫說說您的意見,如有手術必要,最好採取哪種方式,楔形還是其他方式,謝謝。
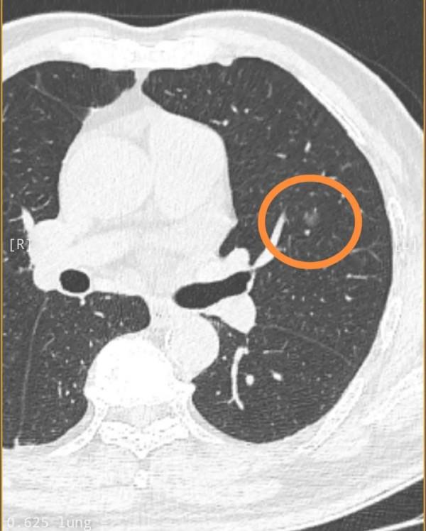
圖片展示:
我的意見:
閱片見兩肺多發磨玻璃結節病灶,其中右下葉2處紅色圈起來的都考慮是浸潤性腺癌,不能再觀察隨訪了,得儘早手術,建議右下葉切除;中葉綠色圈起來的是良性的可能性大,可隨訪,但若反正右側手術了,順便定位後區域性切掉也可考慮;左上葉桔色圈起來的考慮原位癌或不典型增生可能性大,目前風險不高,位置也不好,若隨訪有進展再來考慮怎麼處理它。以上意見供參考!
