一般而言,顱腦MR平掃報告是很多剛入門的影像診斷醫生喜歡寫的,因為序列固定(T1WI、T2WI、FLAIR、DWI),影象加起來也就一百來張,而且通常沒啥難寫的,經常寫的就是些缺血灶、腦白質疏鬆和老年腦改變,頂多來個腦出血、急性腦梗塞,遇到再難的就直接建議增強了。但事實上顱腦MR平掃也是平時工作中漏診率較高的檢查部位之一,如果不能總結教訓、積累經驗,很多初學者一不小心就會漏診。期望透過本文學習,能夠有所收穫。
今天主要和探討一下腦血管的病變。在很多人的固有思維中,腦血管病變需要對腦血管清晰顯示才能診斷,應該做CTA或DSA檢查,再不濟也得做個MRA或顱腦MR增強,透過MR平掃怎麼能診斷腦血管病變?正是在這種想當然的定式思維下,一個個病變才得以在眼皮底下被漏掉(不怕丟人,我也漏!),不信咱們看看下面三個典型病例 ↓↓↓
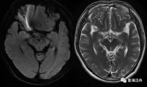
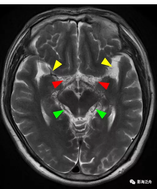
病例一:患者男,51歲,頭暈1月餘,神經系統查體無殊,血壓正常。
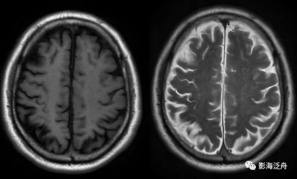
病例二:患者女,78歲,頭暈1周,無頭痛、惡性嘔吐等症狀,既往有胃CA手術史和糖尿病、高血壓等病史。
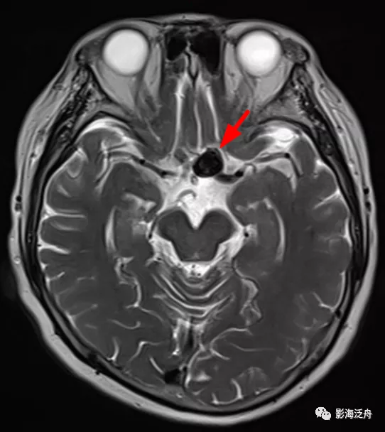
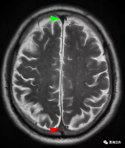
病例三:患者男,67歲,頭暈伴頭痛1周,既往有腦梗死病史,血壓145/95mmHg,神經系統查體無殊。
上面三個病例,大家診斷什麼?
其實答案已經比較明顯了,因為截的圖都是比較典型的層面,如果把這些典型的影象隱藏在一個序列中,你是否還能診斷出來?如果把這個病例隱藏在每天幾十份甚至上百份報告中,你還有信心不漏診嗎?假如沒有把握,那以後可就得加強化練習了。
病例一:煙霧病。如圖所示,T2WI序列上在腦底池可以看到多發雜亂的細小流空血管影(紅箭頭),右側側裂池中大腦中動脈間斷顯示,且管腔粗細不均,而左側大腦中動脈完全不顯影(黃箭),兩側的大腦後動脈顯示清晰(綠箭頭)。腦底池中細小血管影增多的另一個常見原因多見於顱內感染,比如病毒性腦炎或隱球菌腦炎等。
病例二:左側前交通動脈動脈瘤。動脈瘤瘤體顯示清晰,呈流空改變,內見斑片狀T2WI稍高訊號影,可能是湍流造成的。如果腦子裡完全沒有去觀察顱內血管的意識,那就很容易漏診。
病例三:靜脈竇血栓。正常情況下,上矢狀竇在SE序列(T1WI)和FSE(T2WI)序列上均呈流空低訊號(綠箭頭),本例中上矢狀竇呈等高訊號(紅箭頭),結合患者頭痛病史,應考慮上矢狀竇血栓。
小結:透過上述三個病例,不難發現在顱腦MR平掃檢查中,T2WI序列對腦血管病變診斷具有較大價值,這主要得益於血液流動造成的流空效應以及腦池中腦脊液的襯托。反過來,也正是因為血管的流空效應,導致腦血管病變在T2WI上呈低訊號而容易被忽略,再加上經驗不豐富的診斷醫生對腦池、腦血管解剖的不熟悉,就非常容易漏診。希望透過本文能對大家有所啟發和警醒,在平時顱腦MR閱片中,除了觀察腦實質的病變,還應當多留意一下顱內血管是否存在異常。
來源:影海泛舟
作者:七田小溪
【版權宣告】本平臺屬公益學習平臺,轉載系出於傳遞更多學習資訊之目的,且已標明作者和出處,如不希望被傳播的老師可與我們聯絡刪除
