來源:廣西醫科大學第一附屬醫院
通訊員:藍飛燕
9月19日中秋節假期,本是團聚的日子。但是,67歲的農姥姥出現了反覆呼吸困難,甚至因急性心衰住院搶救,急壞了家人。
原來10年前,農姥姥曾因“風溼性二尖瓣狹窄”做過開胸二尖瓣置換術(生物瓣)。近來因二尖瓣生物瓣衰敗,她的病情越來越危重。
危機時刻,廣西醫科大學第一附屬醫院心臟外科、CCU、導管手術麻醉室、超聲科等多學科組成的心臟瓣膜介入團隊,放棄休假,在首都醫科大學北京安貞醫院心外科專家張海波主任醫師指導下,成功為農姥姥完成了一臺高難度的介入二尖瓣瓣中瓣+主動脈瓣置入術。現在,農姥姥的病情恢復平穩。
    不開胸 解難題,多學科專家共同擬定微創治療方案
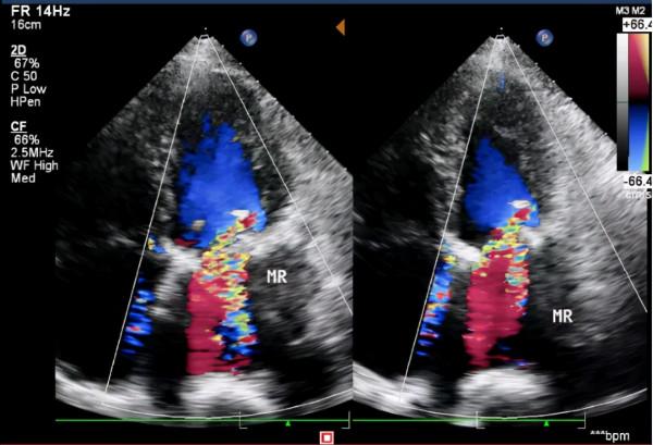
農姥姥入院後,多學科專家評估,發現農姥姥不只生物二尖瓣衰敗、狹窄返流嚴重,而且它的主動脈瓣也出現了較重的風溼性鈣化,心臟收縮功能明顯減低(EF:34-46%)。加上自身基礎疾病很多,屬於外科手術的高危病例,如果再次開胸手術,風險很大,很可能出現各種不良併發症而危及生命。
心臟外科、CCU等多學科專家根據以往積累的介入瓣膜手術經驗,結合農姥姥的身體情況,為她擬定了介入二尖瓣瓣中瓣置入(TMVR-ViV)+主動脈瓣置入術(TAVR)。
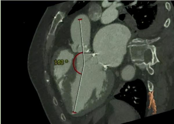
術前,重點根據原生物二尖瓣和自身主動脈瓣的測量資料,選定合適的介入瓣膜型號。
    小切口 大突破,心臟外科、心血管內科輪番上陣
心臟外科鄭寶石主任醫師、CCU黃凱主任醫師、超聲診斷科吳棘主任醫師等多學科專家先後帶領團隊輪番上陣,大家各司其職,按照計劃實施手術。
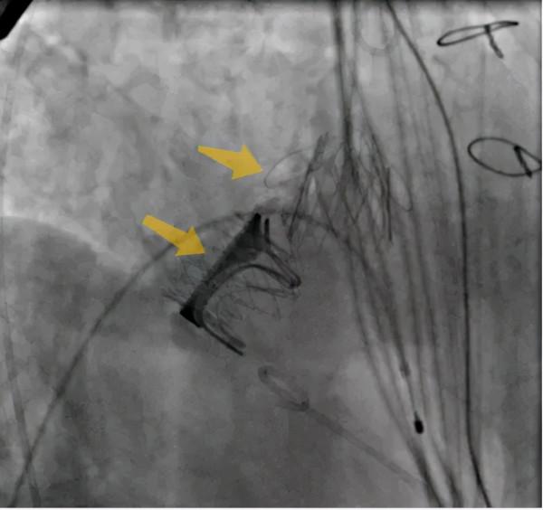
首先,鄭寶石團隊經左前外側胸部小切口,顯露心尖,在荷包線內穿刺,經DSA(數字減影技術)引導下,按預定順序,在主動脈瓣位置成功置入27號J-Valve介入瓣。
接著,黃凱調整導絲方向進入二尖瓣,用球囊預擴狹窄的生物瓣,再置入25號倒裝的J-Valve介入瓣,球囊後擴,完成瓣中瓣置入。
吳棘主任開展食道超聲和DSA實時評估,兩個介入瓣膜位置良好,啟閉正常,跨瓣壓差明顯減輕,無瓣周漏,這標誌著手術成功完成。術後,農姥姥一般情況穩定。
這是廣西首次報道心臟生物瓣衰敗後的介入雙瓣置入術。手術完成後,團隊顧不上休息。當天又為另一位74歲高齡的李大爺,順利實施了生物二尖瓣置換術後9年衰敗的瓣中瓣介入手術。








 
			 
			 
			 
			 
			 
			 
			 
			 
			 
			 
			 
			 
			 
			 
			