上週門診,一個50多歲的男性推著一位女士進入診室,一看女士臉色,幾乎是紫紺狀態,手指也是青紫的,呼吸急促,男士一進門就說自己慕名而來,之前看了好多個醫院都說沒辦法了。病人這兩天在家氣喘,咳血,量很多,來我們這裡看看有沒有辦法止血,並緩解病人呼吸困難的感覺。
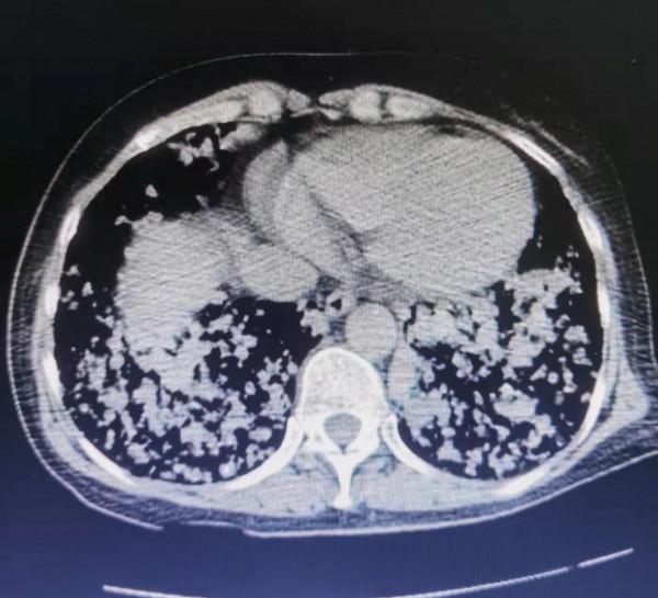
看到這個病人的胸部CT影象,我驚呆了,從醫這麼多年,真的沒見過這麼恐怖的影象,整個肺部就像滿布的雪花,又像蜂巢一樣千瘡百孔。可以說殘存的正常肺組織很少,全部被腫瘤佔據了。然而更為嚴重的是,腫瘤已經侵犯浸潤到氣管,她的氣管狹窄變扁,而咳血和氣喘主要也是由於氣管這裡的病變引起的。
這是這個病人的肺部CT:
這個病人是11年前患甲狀腺濾泡癌,當時做了甲狀腺部分切除手術,術後前兩年複查沒有太大問題,之後再也沒去過醫院,自己服用不清楚什麼成分的偏方,半年前就發現幹活之後氣喘,一直拖著沒去看,這次是咳血了才想起來到醫院檢查,這個肺部的影象屬實把大家都咋了一跳,“千瘡百孔”來形容一點不為過。這就是典型的肺轉移癌。這個病人已有呼吸衰竭的表現,需要立即吸氧,最後趕緊讓其到急診搶救。
肺部是很多惡性腫瘤容易轉移的部位,幾乎全身各個系統的腫瘤都有可能轉移到肺部。比較常見的比如食管癌、乳腺癌、肝癌、甲狀腺癌、腎癌、絨癌及各種肉瘤。而胃癌、腸癌、鼻咽癌、喉癌等,同樣可能最終會向肺部轉移,肺癌本身也容易發生肺內轉移。
肺部之所以容易成為癌細胞“安營紮寨”的地方,是因為肺迴圈的存在。全身的血液最終都要經過肺組織進行氣體交換,透過呼吸,把全身代謝的二氧化碳等廢物排出去,把氧氣吸入肺組織,進到肺血液再運到全身,所以肺迴圈血量非常大。全身不同部位的惡性腫瘤細胞都有可能透過血液迴圈最終轉移到肺部,就是我們通常看到的肺內轉移癌,而且肺內一旦發現轉移癌,多數都是多發的,呈實性的結節或腫塊,這些轉移結節往往是比較規則的圓形,影像學表現為胸片或CT上面很多多發的像棉絮狀的佔位性的病變。
當肺部出現了轉移癌,意味著惡性腫瘤晚期,總體預後比較差。對於單發肺轉移瘤,可以考慮區域性治療,比如立體定向放療、射頻消融等,而大多數肺部轉移癌都是以多發病灶為主,治療上以治療原發病為主,通常是全身化療、靶向治療或免疫治療。
(此處已新增醫療卡片,請到今日頭條客戶端檢視)
