近日,北京師範大學生命科學學院李傑婕教授團隊,揭示了微絲骨架調控植物氣孔免疫的新機制,成果釋出於國際學術期刊Nature Communications(IF: 14.9)。
氣孔是廣泛分佈在植物葉表面的微孔,是植物進行氣體和水分交換的通道,為植物的生長髮育所必需。同時,氣孔也是病原菌進入葉間隙定殖的天然入口,但植物可以透過關閉氣孔來防禦病原菌的入侵,這個過程被稱為“氣孔免疫”,是植物先天免疫的重要環節。先天免疫是透過細胞表面受體識別MAMP啟動PTI,包括MAPK和CDPK的啟用、細胞溶質鈣和ROS的爆發、產生防禦激素,如水楊酸 (SA)、和離子通道啟用或抑制等訊號事件確保強大的氣孔關閉,以防止微生物入侵。在擬南芥表皮細胞中受體啟用後的幾分鐘內,微絲丰度迅速增加,這被認為是 PTI 反應的一個新的早期標誌。因此,微絲骨架和相關的細胞過程對於植物防禦很重要。然而,人們對微絲骨架在植物防禦中的確切功能仍然知之甚少。
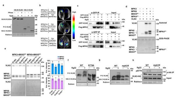
之前基於磷酸化蛋白質組學分析表明多種細胞骨架蛋白在用flg22處理後迅速磷酸化,其中就包括來自擬南芥villin3 (VLN3)蛋白,該蛋白能切割微絲骨架。後續的研究進一步表明,VLN3是一個潛在的MAPK底物。該研究首先表明vln3突變體無法啟用氣孔免疫以防止細菌進入植物,導致植物對細菌感染的易感性增強。
透過生化手段,研究團隊驗證了VLN3與MPK3/6之間的相互作用,並進一步結合體內外磷酸化實驗及質譜分析,證明VLN3能被MPK3/6磷酸化且鑑定到第779位絲氨酸是其關鍵的磷酸化位點。
為了研究VLN3磷酸化修飾對其生化功能的影響。該研究採用全內反射顯微鏡,在體外對微絲動態進行了實時觀測。實驗結果表明,磷酸化修飾能有效促進VLN3蛋白切割微絲的功能。
該工作進一步在植物體內研究表明VLN3和MPK3/6共同調控氣孔免疫中的微絲動態重塑。VLN3或MPK3/6的缺失導致保衛細胞中類似的微絲缺陷表型。vln3單突變體和mpk3/6雙突變體中的微絲合併成束的頻率低於野生型細胞,導致微絲陣列更豐富且更少成束。因此,透過微絲動態和遺傳研究的定量分析表明,MPK3/6對VLN3的磷酸化調節微絲骨架重塑以啟用擬南芥中的氣孔防禦。本研究結果為氣孔免疫提供了新的調控模型。
該項工作由北京師範大學2018級博士生鄒敏霞和2018級碩士生郭萌萌為共同第一作者,博士研究生王冰肖、潘晴和李佳靜為本論文的共同作者。李傑婕教授為通訊作者,中科院遺傳與發育研究所周儉民研究員和中國農業大學周朝陽副教授也參與了本項研究,北京師範大學抗性基因資源與分子發育北京市重點實驗室為第一完成單位。此次發表的文章受到國家自然科學基金青年基金(31801135)和國家自然科學基金重大研究計劃培育專案(92054101)的資助。
延伸閱讀:
李傑婕,北京師範大學生命科學學院教授,主要致力於植物發育與免疫應答的細胞訊號網路研究。主要內容包括研究植物先天免疫過程中微絲骨架的動態變化規律;研究調控微絲骨架動態的上游免疫訊號網路及靶蛋白;闡明先天免疫過程中微絲骨架動態變化的生理學意義。
更多精彩資訊,歡迎關注頭條號:北京師範大學招生辦
注:文章部分素材來自北京師範大學官網、官微、北京師範大學生命科學學院官網
