15個月大的小Nick一直是父母心中的小天使,小傢伙的降臨讓他們的每一天都充滿了歡聲笑語,而這一切被腦幹膠質瘤這個“死亡惡魔”打破!
每一個新生命的到來,對於父母來說都是一個天賜的禮物,惟願他能健健康康長大,永不受病魔侵擾。而事實是,在兒童惡性腫瘤中,惡性腦腫瘤佔到近1/3,而在兒童腦腫瘤中,腦幹膠質瘤發病率為每年0.6/10萬人,由於發病部位特殊,這屬於治療難度極大的一類。
幸運的是,經過一場全切手術,小Nick得以”起死回生“,術後兩週他的各種症狀得到恢復,術後3年複查核磁未見腫瘤復發,一直是世界公認難題的腦幹手術何以能夠成功?小Nick是如何得救的?下文為他們的治療過程摘要,該案例還被收錄在德國巴特朗菲教授發表於腦幹腫瘤手術經典專著《Brainstem Tumors》中的第13章Surgical Approaches to Medullary Tumors(延髓腫瘤手術入路)中。
簡要病史
15個月大,男孩,飲水嗆咳,頭部異常左側傾斜,眼球外展活動受限,此外,反反覆覆的嗆咳導致的反覆發作的喉炎
術前影像
a圖為術前MRI顯示了起源於左側延髓的膠質瘤,其擴充套件到後橫向和橫向。
主刀醫生
世界神經外科顧問團成員、世界神經外科聯合會WFNS教育委員會主席、德國INI德國Helmut Bertalanffy(巴特朗菲)教授
手術過程
在術中磁共振系統和術中神經電生理監測的輔助下,主刀專家為男孩進行了俯臥位下腫瘤切除全切手術(b)
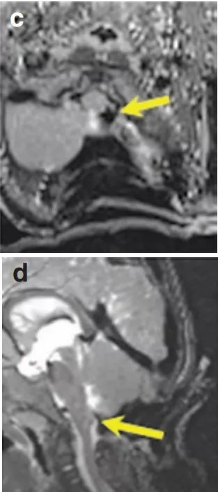
術中T1和T2MR(c和d)顯示腫瘤獲得全切,無任何腫瘤殘餘。
透過枕後正中開顱術,暴露腫瘤(e)
使用CUSA刀切除腫瘤,腫瘤基底粘連顱神經根部,術中小心地將腫瘤與顱神經成功分離,顱神經成功保留(f)
術後情況
術後兩週,吞嚥困難、脫水、頭部傾斜情況得到恢復(g);
術後3年,進行T1加權對比增強MRI記錄,顯示全切腫瘤(h)
目前Nick狀態良好,無神經功能缺損(i)。
膠質瘤,在腦幹延髓區域該手術嗎?
Nick的腦瘤位於腦幹延髓左側,這個部位的手術一直都是世界高難度級別的,因為處在生命中樞”禁區“,解剖位置極深,手術風險極大,且難以切除乾淨,這就導致這一疾病普遍預後較差。
手術是膠質瘤的一線治療手段,但腦幹膠質瘤就另當別論了。不少人認為腦幹延髓部位不能手術是因為風險太大,這裡是呼吸心跳中樞,出現呼吸心跳停止或功能障礙後果確實很嚴重。
近10年來,隨著顯微神經外科手術技術和裝置的發展以及神經影像、神經導航、術中磁共振、術中超聲、術中熒光顯像技術和多導聯神經電生理術中監測技術的不斷進步和臨床應用,腦幹膠質瘤手術已經成為可能,手術安全性和切除程度也取得了顯著的進步。
對此,Nick的主刀醫生、德國巴特朗菲教授也在諸多的臨床實踐中得出結論:在合理的患者選擇下,即使是一些比較複雜的腦幹延髓腫瘤,顯微手術切除也是可行的。他在該論文中展示的諸多腦幹延髓病變中,很多病例切除率良好,術後效果極佳,併發症發生率極低。他相信,手術在腦幹延髓膠質瘤的整體治療中起著重要作用。持續電生理監測手術有助於指導腫瘤切除和避免手術併發症。此外,根治性腫瘤切除應至少在所有可以很好地鑑別的局灶性低級別腫瘤中進行嘗試,因為腫瘤切除率可能有利地影響患者的長期預後和生存率。
Nick的腦幹膠質瘤治療成功兩大關
為提高腦幹手術的精準性和安全性,腦幹手術時應儘可能的減少對腦幹區域功能的影響非常關鍵,這就要求主刀醫生的”技術“必須過硬,此外,現代手術還需藉助一些特定的”裝置“來保駕護航。Nick的腦幹手術之所以能夠成功,也正在於過了這兩大難關!
1、技術關:對於像Nick這樣的腦幹高疑難手術,其主刀醫生德國巴特朗菲教授已經積累了上千臺成功手術量,他專注腦幹手術30多年,被國內外同行和患者譽為世界顱底腫瘤手術大師。因其傑出的技術能力,他曾被醫學殿堂之一瑞士蘇黎世大學附屬醫院聘為教授和神外科主任,後轉聘至德國INI國際神經學研究所。來自世界各地的超過40個國家的病人不遠萬里慕名求診巴教授,其中很多病人病情是高度疑難的,是當地被判定為“死刑”的,而後經過巴教授手術治療後重獲新生。此外,整個治療團隊的配合和術後管理、康復的技術也是重要的一個環節。
2、裝置關:腦幹手術中,一些世界領先的手術裝置和相關器械十分關鍵,比如術中神經導航、術中神經電生理監測、術中磁共振(iMRI)等的輔助應用將對神經外科手術效果幫助極大。
以術中磁共振成像為例,術中磁共振成像iMRI則能在手術過程中的任何時刻確定大腦內腫瘤的準確位置,實現”術中實時成像“,從而為神經外科醫生提供了實時更新的腦部GPS影像地圖,這樣就可以非常精準地指導手術過程了。這讓許多以前無法觸及的腫瘤都能夠被精準地定位,進而被切除,神經功能將得到極大程度的保護。
膠質瘤術中磁共振成像圖
以術中神經電生理監測來說,它是利用神經電生理技術,在手術中對有可能引起損傷的神經通路進行肌電、誘發電位或腦電監測,客觀顯示患者腦、脊髓、顱神經功能的實時狀態,不僅可以減少或避免神經結構的損傷,還可以辨別不易識別的特定神經結構和界限,從而能避開重要的神經結構,或者及時修正手術步驟,降低或防止永久性神經損傷。
術中神經電生理監測裝置
參考文獻:Helmut Bertalanffy . Surgical Approaches to Medullary Tumors







 
			 
			 
			 
			 
			 
			 
			 
			 
			 
			 
			 
			 
			 
			 
			 
			 
			