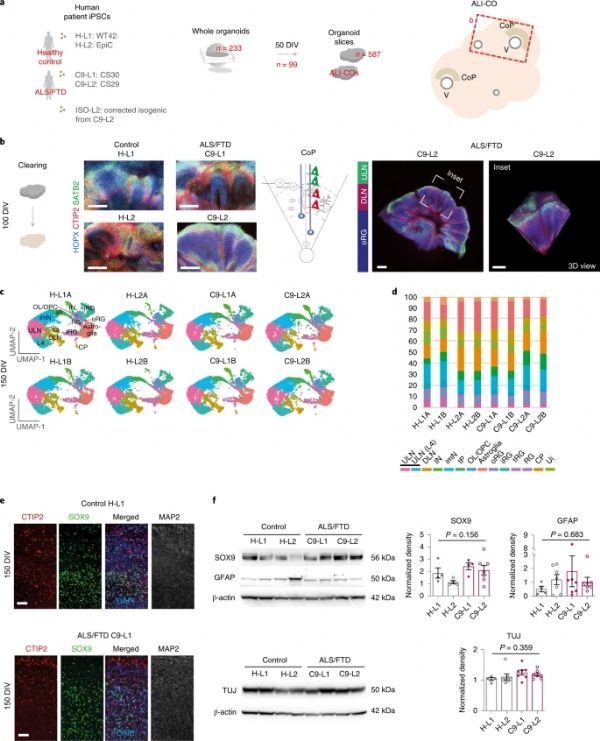
肌萎縮側索硬化合並額顳葉痴呆(ALS/FTD)是一種致命的、目前無法治療的神經退行性疾病,其特徵是認知能力和運動功能迅速下降。闡明初始細胞病理學是治療靶點開發的核心,但從臨床症狀前獲得患者樣本是不可行的。近日,來自英國劍橋大學的研究團隊在《Nature Neuroscience》發表題為“Human ALS/FTD brain organoid slice cultures display distinct early astrocyte and targetable neuronal pathology”的研究成果,報告了一種由人類誘導多能幹細胞(ipsC)衍生的大腦類器官切片模型。
研究人員發現,該模型再現了成熟的腦皮質結構,並顯示了ALS/FTD早期分子病理學特徵。透過單細胞RNA測序和生物學分析相結合,揭示了星形膠質細胞和神經元中基因轉錄、蛋白合成和DNA修復等各方面的功能障礙。他們還發現,星形膠質細胞的自噬訊號蛋白P62表達水平升高,深層神經元中二肽重複蛋白多聚甘氨酸-丙氨酸(poly GA)積聚、DNA損傷,並經歷核固縮,這個過程可以透過GSK2606414(一種蛋白激酶R樣內質網激酶抑制劑)進行藥理學逆轉。
因此,患者特異性ipsC衍生的大腦皮質類器官切片培養是研究臨床前ALS/FTD機制以及新治療方法的一個平臺。
