昨天接到一個患者的電話,大致是他說前兩天去體檢機構做檢查,診斷意見1他知道,因為做過手術,後面的有些就看不懂了。他很擔心,讓我給他看看是不是得做手術啊還是吃吃藥,給他們消滅掉,看著鬧心。
這讓我突然想到,其實,很多我們影像科出的報告結果是不用太過緊張的。比如腦萎縮,小囊腫,基本上天天都會遇到很多。然後我就和同事們聊了聊這件事,讓大家發表一下意見,我總結了一下,把排名最靠前的和大家嘚吧嘚吧。
CT影像結果最不用緊張的前五名(排名不分先後):
腦萎縮
之所以排在第一位,是因為一般60歲以上人群做CT檢查後經常會出現這種徵象。大部分情況下它是一種生理性改變,和人老了頭髮會變白,會有皺紋是一個道理)
肺微小結節(這裡指<5mm結節)
肺小結節近年來越來越受到臨床醫生重視,因為很多小結節其實是早期肺癌。
但是,隨著科技的提高,CT掃描已經能夠發現1mm左右的結節,再加上這兩年人工智慧的應用,使得肺小結節在CT報告上的出現率“氾濫成災”。再加上很多人寧可錯殺一千,不可放過一個的心態,導致緊張情緒蔓延。甚至連我周圍的同事都出現過這種情況,問醫生A,說不能確定良惡性,醫生B說可以觀察,醫生C說先不用管,自己家人說要不切了吧,省的鬧心!![笑哭]
其實,在最新的國際肺小結節指南上已經把事情說得很清楚了,總結下來就是,對於5mm左右的小結節,隨訪就可以了(不同長相的小結節具體方法不同,但最嚴重的3個月後再次複查薄層CT就可以了,這裡不包括1cm左右的混合磨玻璃結節或者其他有明顯惡性徵象的結節)。總得來說,是個事兒,需要上心,但離癌症還有不小的距離。
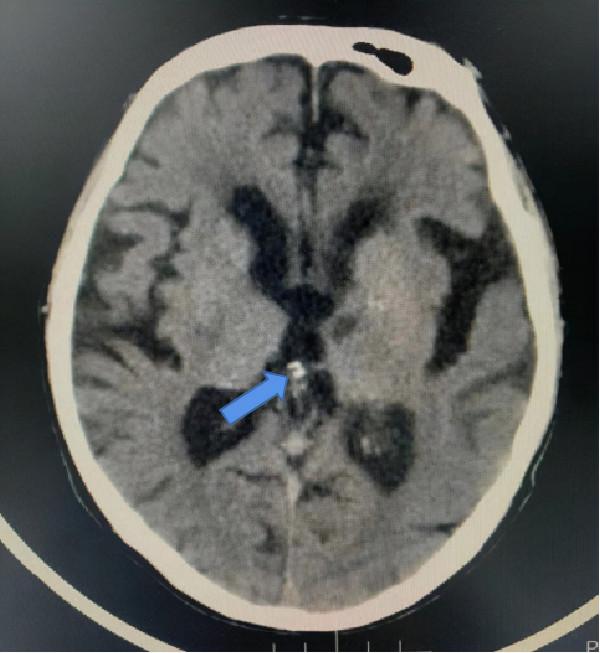
各種單發鈣化灶(如肺內鈣化灶)。鈣化分為生理性和病理性鈣化,通俗地講,人體的某些部分就喜歡鈣鹽沉積,如顱內的松果體,這就是生理性的。
病理性的鈣化,多種多樣,可以是壞死的組織,如結核病,也可以是鈣鱗代謝障礙的疾病等。比如肺內 鈣化灶,其實就是可能過去得過肺炎或肺結核後鈣鹽沉積在壞死組織裡的結果,完全不用管。
![]()
腦,松果體鈣化(箭頭所指,白色,結節狀)。病例同時存在腦白質脫髓鞘,腦萎縮,腔梗。
各種小囊腫。
說實話,我老爸5年前體檢就發現了腎上有個2cm囊腫,於是想起來就要叨叨兩句,我身上有個大囊腫可咋辦,愁!總共解釋了七八次吧,現在不說了[笑哭][笑哭]
囊腫可以是組織壞死的結局,滲出物的包裹,遺傳,腫瘤等,這些原因說來話長。作為普通非專業人士,各位朋友只要知道,大部分的小囊腫是不需要處理的就行了。如果太大(一般指大於5cm)可能會產生佔位效應,壓迫周圍組織、器官,這種另當別論[謝謝]。
小淋巴結(可能的表述形式為還有稍大淋巴結,增大淋巴結)。一般在胸部、腹部CT檢查時,這種表述最為常見。
淋巴結可見於正常人,一般小於1.0cm(有的說1.5cm)是沒有意義的。但是如果淋巴結明顯增大,是有問題的,多見於炎症和腫瘤轉移,或者淋巴結自身腫瘤,比如淋巴瘤,這些疾病臨床及影像都有特徵性改變,可以鑑別。各位小夥伴在遇到這種影像診斷時不必驚慌,更不要認為自己是不是哪裡有癌症沒有發現,以至於都轉移到淋巴結了,這種事非常多見,等於是自己嚇唬自己。
最後,我想說,人體是複雜的,多變的。任何疾病都不能說得太絕對。比如,鈣化可以是一些寄生蟲病的表現,囊腫可能與囊性癌很像,小淋巴結那萬一是早期淋巴結轉移呢?這種事情誰也說不準。所以,去正規的醫院,向有經驗的醫生諮詢,才是最正確的選擇。只不過,太過於擔心,自己嚇唬自己,真的就沒有必要了。
不知道說了這麼多,有沒有小夥伴覺得,那沒啥用,醫生非要寫上去幹啥?其實這就涉及到另外一個層次的問題了。以後有機會可以進一步跟大家嘚吧嘚吧。
篇幅所限,就先到這裡。歡迎點贊、關注、評論、諮詢。
