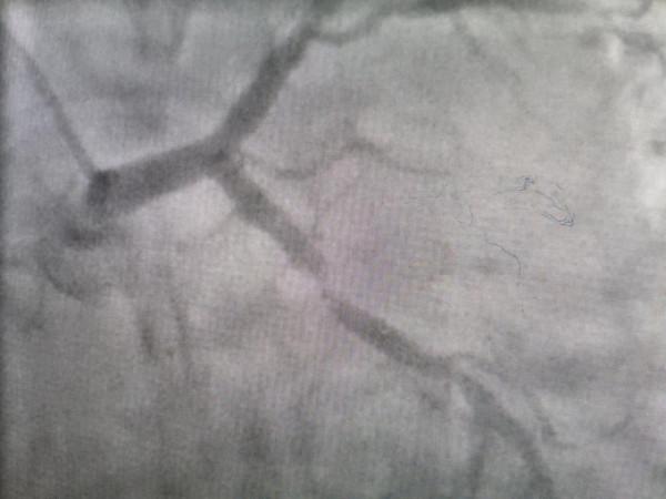
這個患者是從外院轉過來的,發作時胸悶背痛意識恍惚,曾經做過冠脈造影報告迴旋支有80% 的狹窄,考慮室速血液動力學改變引起的意識恍惚轉診過來的。入院後再次犯病,查血壓160/109mmHg,HR98次/分 心電監護為竇性心律,嗜鉻細胞瘤?主動脈夾層?
兒茶酚胺等排除嗜鉻細胞瘤,僅僅存在高腎素型高血壓,針對高血壓的控制措施很快上去,血壓控制良好,腦血管病變不至於引起神志恍惚。肯定還是心臟的問題!心臟磁共振檢檢視看吧!
每次發作時心電圖心電圖有些改變但變化不大,做磁共振時心電圖變化最大。綜合考慮還是冠心病發作引起的 無論怎樣,患者症狀重,還是再次造影吧
這個狹窄程度是需要處理的,無論和症狀是否有關!況且查無他因。
症狀不發了,故事也結束了…
體會……
