編者注:我在徵集惡性高熱和氨甲環酸在脊柱手術區域性應用發生嚴重後果的病例的時候,聽說,西安紅會醫院的重症醫學科2012年曾救治過一例惡性高熱的病例,然後就找西安紅會醫院重症醫學科的董主任,希望能夠將這個病例的資訊分享出來,幫助更多的骨科醫生和麻醉醫生了解此病。正好,她就這個病例寫過一個個案報道文稿,我請她將她的文稿分享出來。非常感謝董主任願意將該病例分享出來。
全麻期間惡性高熱1例
董恩霞 董補懷
西安交通大學醫學院附屬紅會醫院
[關鍵詞] 惡性高熱;全麻
我院於2012年X月X日發生了1例麻醉期間惡性高熱(malignant hyperthermia, MH),經過積極的搶救,但因患者病勢兇猛,進展很快,迅速發生多器官功能衰竭而死亡,現報告如下:
1.病例簡介
患者男性,12歲,以“發現腰背部畸形10年”主訴於2012年X月X日入院。既往體弱,易感冒,自幼雙眼瞼下垂,無手術及麻醉用藥史。入院查體:T36.8℃、P86次/分、R22次/分、BP90/60mmHg。身高133cm,體重30Kg。神志清,精神可,跛行步態。雙側眼瞼下垂,雙肺呼吸音清晰。心率86次/分,律齊,各瓣膜區未聞及雜音。頸7棘突向右側平移約10cm。胸段脊柱向右側突,腰段脊柱棘突向左側凸,腰椎屈伸旋轉活動受限,各椎體棘突間無壓痛,椎旁壓痛陰性。左肩較右肩高約2cm,左側髂嵴頂點較右側高3cm。軀幹、四肢以及鞍區面板淺感覺未見明顯異常。左膝關節屈曲位,四肢各主要肌肉肌力V級,四肢腱反射存在。直腿抬高試驗陰性,病理反射未引出。
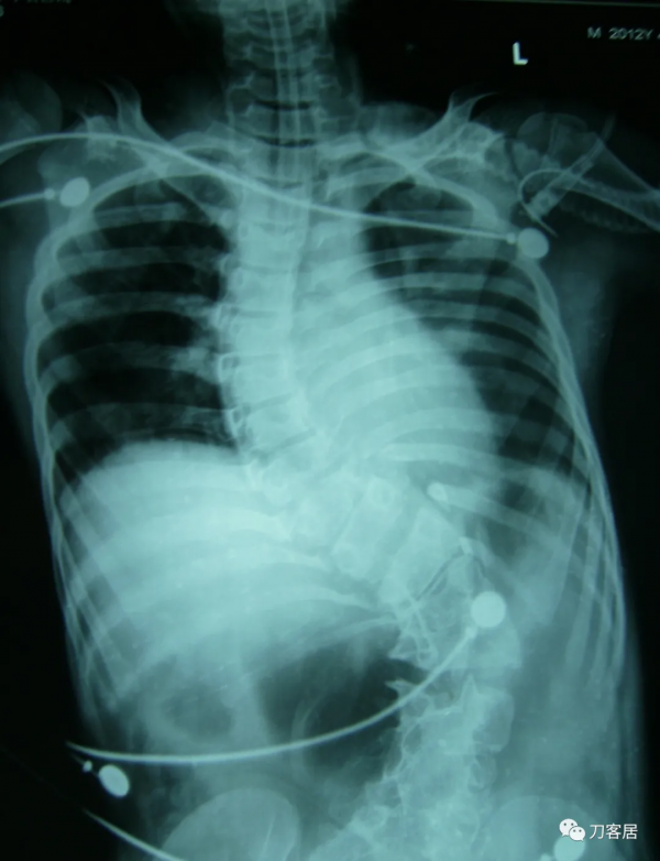
入院診斷:1.先天性脊柱側彎畸形;2.低位脊髓,脊髓栓系。入院後查血常規:WBC 4.30×109/L,RBC 4.83×1012/L,L 41.94%,N 46.54%,HB 134g/L,HCT 41.5%,PLT 295×109/L。尿常規示:PH 5.0,尿比重1.020。糞常規及潛血:正常。凝血四項:PT 12.7s,INR 1.02s,APTT 31.42s,TT 16.20s,FIB 2.27g/L。肝功:AST 32.3u/L,ALT 37.2,TBIL 11.3,IDBIL 7.6,DBIL 3.7,TP 72.3,ALB 45.2,GLO 27.1。腎功電解質:Urea 5.45mmol/L,Cr 51.6umol/L,UA 120.2umol/L,HCO 324.1mmol/L,K+ 3.95mmol/L,Na+ 137.9mmol/L,CI+ 99.1mmol/L,Ca+ 2.25mmol/L。心電圖:竇性心律,心電圖大致正常。胸部X線片:脊柱側彎,胸廓畸形,心肺膈未見異常。腰椎X線片:脊柱生理曲度消失,腰段脊柱向左側凸起,胸10為上端椎,腰5為下端椎,側凸85°,椎體旋轉II°至III°。胸段脊柱向右側突,以胸2為上端椎,胸10為下端椎,側凸90°,胸腰段輕度後凸畸形,Risser徵0級。胸11-腰1椎體分節不全,胸12及腰1及腰2-骶1附件融合。以腰1椎體為中心腰椎向右側凸出。腰1-2椎間隙增寬。診斷結果:先天性脊柱側彎畸形。MRI檢查:胸椎向右側彎曲,所見多胸椎體楔形變,多胸椎間隙不等寬:諸胸椎間盤未見明顯後凸;腰椎脊髓側彎,脊髓位置較低,約平腰3-4水平與硬囊關係緊密。診斷意見:脊柱側彎畸形,脊髓低位,脊髓栓系。心臟超聲檢查:EF55%,心內結構未見明顯異常,左室收縮功能正常,舒張期順應性好,彩色血流未見明顯異常。肺功能檢查:輕度混合型通氣障礙。VC 72%,FEV1 62%, MVV 46%。雙下肢神經電生理報告:DSEP:右側T8、L4,左側T12,雙側T10皮節-皮節P1波潛伏期延長。左側右側雙側皮節內踝-皮層波潛伏期延長。右側L2、5皮節-皮層P1波波幅較對側降低50%以上。視誘發電位CVEP示:雙眼視神經傳導大致正常。
2012年X月X日上午擬在全身麻醉下行“先天性脊柱側彎前路截骨矯形植骨融合內固定術。術前麻醉評估ASA分級Ⅱ級。手術當日晨測T 36.0℃、P 94次/分、R 20次/分、BP 90/60mmHg。術前30分鐘肌注阿托品0.25mg。
7:30患者入室,監測HR 88次/分、R 23次/分、BP 110/60mmHg、SP02 98%。予以開放靜脈通道。
7:45開始麻醉誘導:靜注咪唑安定1.5mg,芬太尼0.1mg,丙泊酚60mg,順阿曲庫銨5mg。
7:50經口插入氣管內導管,並麻醉機控制呼吸,VT 300ml,f 14次/分。
7:55給予1%七氟烷經氣管內吸入麻醉。
8:00給予右頸內深靜脈置管。
8:15再次給予靜脈注射麻醉藥物芬太尼0.1mg,丙泊酚30mg,順阿曲庫銨3mg,並靜滴頭孢硫脒1.5+0.9%氯化鈉注射液100ml。
8:30監測發現患者呼氣末CO2從45%持續增高90%以上,血壓上升至130/80mmHg以上,心率165次/分以上,SPO2 99%。患者咀嚼肌、四肢肌肉緊張,再次予以阿曲庫銨3mg靜注,並過度通氣治療等無效,且患者四肢肌肉、胸腹肌肉呈極度緊張僵直狀態。高度懷疑惡性高熱,立即停止七氟烷吸入,更換鈉石灰。
9:05患者迅速出現面色潮紅,體溫異常快升高至39.8℃。考慮患者發生惡性高熱,立即予頸部、腋下、腹股溝等處放置冰塊,全身酒精擦浴等物理降溫,並靜脈滴注冰生理鹽水。
9:15,急查血氣分析示PH7.02,PCO2 98mmol/L,PO2 34mmol/L,HCO3 27.01mmol/L,BE -4.3mmol/L,Lac 4.4mmol/L。繼續予以呼吸機過度通氣,5%碳酸氫鈉50ml快速靜滴糾正酸中毒。
9:20,患者體溫41.0℃,繼續物理降溫,並穩定呼吸迴圈功能。
9:30,常規消毒右小腿腓腸肌區域面板,行右側腓腸肌活檢術,取腓腸肌組織3g,用福爾馬林固定並送病檢。
9:45,予以速尿注射液40mg。
9:50予以西地蘭0.2mg靜推。
10:00血氣分析示:PH 7.12,PCO2 92mmol/L ,PO2 127mmol/L,HCO3 29.9mmol/L,BE -0.9mmol/L,Lac 2.7mmol/L。予5%碳酸氫鈉50ml快速靜滴。
10:15予地塞米松10mg靜注。
10:16,心電圖檢查示:心室率202次/分,P-R(P-P)間期0.08s,R-R間期0.28s,QRS間期0.28s,QT間期0.22s。R/QavR>1,R/Sv1>1,R/Sv5<1,心電圖診斷:竇性心律,電軸右偏(+150·),竇性心動過速,右室佔優勢。
10:35,患者體溫37.8℃,心率160次/分以上,予艾司洛爾10mg靜注。
10:45予5%碳酸氫鈉50ml快速靜滴。
10:50,予艾司洛爾10mg。
11:00,予以留置胃管,並透過胃管、留置尿管注入冰生理鹽水灌洗降溫。
11:05,查D-聚體0.23mg/L。腎功電解質示:Urea 4.0mmol/L,Cr 86.4umol/L,UA 336.3umol/L,HCO3- 26.5mmol/L,K+ 4.92mmol/L,Na+ 138.9mmol/L,CI- 104.3mmol/L,Ca2+ 1.68mmol/L。
11:15,予西地蘭0.2mg靜推。
11:30,患者體溫降至37.8℃,心率150次/分上下,血壓140/80mmHg上下,呼氣末CO2 80%以上,SPO2 98%。患者肌肉緊張緩解,但意識不清。液體入量共2800ml,尿量1150ml,尿色淡紅。
患者於12:00轉運至ICU,查體:T 36.9℃,152次/分,BP 135/85mmHg,SPO2 97%。深昏迷狀態,GCS評分3分,APACHE評分34分。雙側瞳孔等大等圓,直徑3mm,對光反射存在。胸廓兩側不對稱,左側飽滿,右肺呼吸音清,左肺呼吸音粗糙,可聞及乾溼羅音。心率152次/分,律齊,各瓣膜區未聞及雜音。腹軟,肝脾肋下未及。四肢肌肉及胸前肌肉緊張。生理反射消失,病理反射未引出。立即給予呼吸機支援,並過度通氣,控制心率,穩定迴圈功能,頭置冰帽,腋下、膕窩,腹股溝處放置冰塊物理降溫,持續肛溫監測,中心靜脈壓監測等。同時予以速尿20mg保護腎功,甲基強的松龍120mg靜滴改善炎症反應等,頭孢硫脒1.5g靜滴預防感染,並保護重要臟器心、腎、腦功能,積極聯絡特效藥物丹曲林。患者入ICU後急查血常規示WBC:24.37×109/L,RBC:4.46×1012/L,HGB:123g/L,HCT:38.2%,PLT:401×109/L;NEUT: 84.14%,LYM: 13.42%。凝血檢查:PT 17.20S,APTT 33.70S,TT 28.90S,INR 1.40,FIB 2.0g/L。血氣分析示:PH 7.2,PCO2 59mmHg,PO2 100mmHg,Lac 3.3mmol/L,HCO3 -24.1mmol/L,BE -4.1mmol/L。肝功:AST 65.2U/L,ALT 169.3U/L,TP 56.3g/L,ALB 35.9g/L,GLO 20.4g/L,TBIL 18.1umol/L,DBIL 3.8umol/L,IDBIL 4.3umol/L。心肌酶譜:乳酸脫氫酶(LDH)433.9U/L,肌酸磷酸肌酶(CK)2944.1U/L,肌酸磷酸肌酶同工酶(CK-MB)159.8U/L,提示心肌細胞損傷。腎功、電解質示:Urea 5.03mmol/L,Cr 82.9umol/L,UA 376.1umol/L,HCO3- 25.7mmol/L,K+ 3.38mmol/L,Na+ 143.1mmol/L,CI- 102.2 mmol/L,Ca2+ 1.75mmol/L。D-二聚體 2.18mg/L。
12:25心電圖示:心室率153次/分,P-R(P-P)間期0.12s,R-R間期0.39s,QRS間期0.09s,QT間期0.22s。心電圖診斷:竇性心動過速,心肌缺血。急查血糖11.9mmol/L。予以果糖二磷酸鈉10g,10%葡萄糖注射液500ml+維生素C注射液1.0+輔酶A100u+10%氯化鉀10ml靜滴,微量泵泵注普通胰島素1u/h。
13:00,血氣分析示:PH7.06, PCO2>115mmHg,PO2 83mmHg,Lac 1.4mmol/L,HCO3-測不出,BE測不出。急查胸片示:雙肺紋理模糊,右側肺門處可見片絮狀密度增高影,診斷:脊柱側彎畸形,右肺門片絮狀陰影考慮滲出性病變、炎症。再次給予5%的碳酸氫鈉60ml靜滴,並予以調整呼吸機呼吸頻率,延長吸氣時間,過度通氣等。
14:00,血氣分析示:PH 7.30,PCO2 68mmHg,PO2 96mmHg,Lac 1.4mmol/L,HCO3- 33.5mmol/L,BE 5.5mmol/L。
14:30,患者突然再次出現心率增快,最高177次/分,體溫異常快速升高,最高39.8℃,同時伴有面色潮紅,牙關緊閉,咬肌緊張,胸、腹部及四肢肌肉僵直。立即快速全身酒精擦浴,胃管、尿管內注入冰鹽水等物理降溫等,微量泵泵注鹽酸艾司洛爾,乙胺碘膚酮等控制心率。
15:00,急查腎功、電解質示: UA 350.6mmol/L,Urea 5.57umol/L,CO2 33.5mmol/L,HCO3- 33.5mmol/L,Cr 94.7umol/L,Na+ 149.4mmol/L,K+ 4.06mmol/L,Cl- 98.7mmol/L,Ca2+ 1.49mmol/L。血氣分析示:PH 7.34, PCO2 54mmHg,PO2 199mmHg,Lac 0.8mmol/L,HCO3- 29.1mmol/L,BE 2.6mmol/L。
16:00,查血氣分析示: PH 7.20,PCO2 60mmHg,PO2 143mmHg,Lac 0.7mmol/L,HCO3- 23.5mmol/L,BE -5.0mmol/L。查心臟型脂肪酸結合蛋白陽性(升高),肌鈣蛋白I(TNI)1.67ng/ml,肌紅蛋白(MYO)1053.40ng/ml。
16:40,患者體溫36.7℃,心率113次/分,BP 114/65mmHg,SP02 98%。
16:30,患者血壓開始下降,最低75/40mmHg,予以鹽酸多巴胺180mg微量泵泵注5-15ug/kg/min維持血壓。
18:00,腎功、電解質示:UA:442.1mmol/L,Urea:8.12umol/L,CO2 29.2mmol/L,HCO3- 29.2mmol/L,Cr 99.4umol/L,Na+ 148.2mmol/L,K+ 5.65mmol/L,Cl- 100.2mmol/L,Ca2+ 1.39mmol/L。凝血檢查:PT 14.00S,APTT 30.80S,TT 26.80S,INR 1.16,FIB 2.22g/L。患者尿液呈洗肉水樣,尿常規示:PH 7.5,尿比重1.015,蛋白+1,隱血+2。考慮患者惡性高熱,橫紋肌溶解導致多臟器功能衰竭,尤其急性腎功能衰竭,擬行血液透析治療。
20:00,血常規示:WBC:14.60×109/L,RBC:4.45×1012/L,HGB:123g/L,HCT:37.70%,PLT:265×109/L;NEUT 87.91%,LYM 6.02%。凝血檢查:PT 13.50 S,APTT 34.4S,TT 26.90S,INR 1.12,FIB 2.63g/L。腎功、電解質示:UA 553.2mmol/L,Urea 9.46umol/L,CO2 24.2mmol/L,HCO3-24.2mmol/L,Cr 106.8umol/L,Na+ 141.3mmol/L,K+ 8.38mmol/L,Cl-100.8mmol/L,Ca2+ 1.14mmol/L。患者在ICU很快出現了ARDS,ARF,MODS。
20:55患者擬行血液透析救治未遂,終因心跳驟停,搶救無效死亡。
最後診斷:1.惡性高熱;2.多臟器功能衰竭;3.先天性脊柱側彎畸形,脊髓栓系。
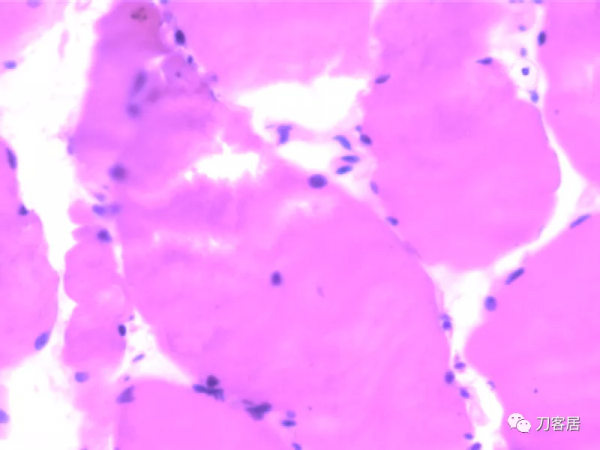
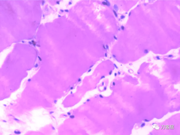
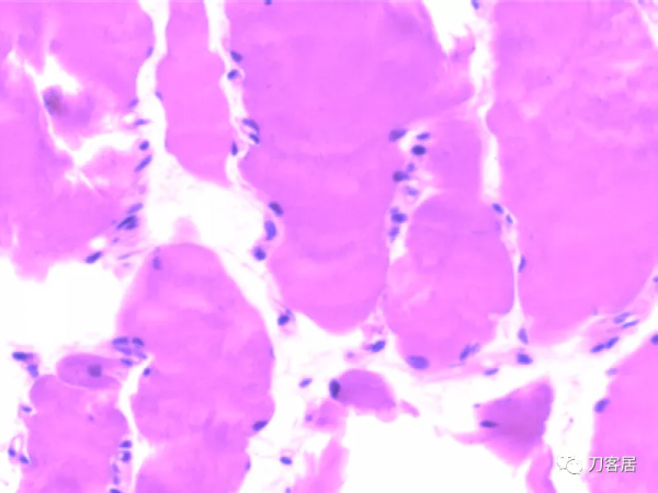
患者發病後右腿腓腸肌病理切片所見:灰紅色至綠豆大組織四塊。光鏡檢查結果:病理診斷“右側腓腸肌”肌纖維肥大變性,個別肌纖維可見溶解及空泡。患者家屬拒絕屍檢。
2.討論
惡性高熱(malignant hyperthermia, MH)是一種罕見的具有家族遺傳性的亞臨床肌肉病。發病率為兒童1:15000,成人1:150000,男性多於女性。目前認為MH的發病機制是骨骼肌內肌漿網(SR)鈣釋放通道(亦稱ryanodine受體,羅納丹受體,Ryr)異常[1]。位於人類19號染色體長臂上的骨骼肌肌型Ryr基因突變或與惡性高熱易感性(MHs)基因位點連鎖可能是MH發病的分子基礎[2]。MH多發生於易感體質患者,一般在麻醉誘導後急性發病,也有延遲數小時後發病者。最常見的誘發藥物是氟烷和琥珀膽鹼,此外,甲氧氟烷、恩氟醚、異氟醚、地氟醚、七氟醚、乙醚、環丙烷、三氯乙烯、三碘季銨酚、右旋筒箭毒鹼、利多卡因和甲哌卡因等也可誘發 [3]。MH臨床表現多種多樣,早期有肌肉強直,心動過速與心律失常,血壓波動,體溫升高,呼吸深快等,晚期則出現角弓反張,高熱(超過41℃),凝血障礙,左心衰竭,急性肺水腫,多臟器功能衰竭等。由於此病在國內罕見,救治成功率很低,目前診斷MH尚沒有統一標準。北京協和醫院的經驗:一旦發現難以解釋PETCO2異常升高,(機械通氣狀態下PETCO2>55mmHg),或出現不可解釋的心動過速,並伴有體溫快速升高(>43℃),可診斷MH。
本例病人發病具有以下特點:
(1)七氟烷吸入全麻後大約30分鐘出現PETCO2異常升高,心率增快,血壓升高,並伴有咀嚼肌、四肢肌肉緊張,再次予肌松藥物、過度通氣等無效,繼之四肢、胸腹部肌肉僵直;
(2)約1h出現體溫進行性快速升高至39.8℃以上,伴有心動過速、心律失常;
(3)實驗室檢查示嚴重呼吸性酸中毒和代謝性酸中毒,高肌紅蛋白血癥、高鉀血癥;
(4)酶學改變(GOT,LDH,CK,CK—MB,TNI,MYO均升高);
(5)病情發展迅猛,在2h內即出現多臟器功能衰竭,病人死前嚴重高鉀血癥,心律失常;
(6)病理學檢查右側腓腸肌肌纖維粗細不均,肌細胞漿溶解,縱橫紋不清晰,有纖維肥大變性,個別肌纖維可見溶解及空泡。根據以上特點,此患者可診斷MH。
我們討論如下:
(1)對有易感因素的先天性亞臨床肌肉疾病,如斜視、上瞼下垂、膈病等,先天性脊柱側彎、先天性髖關節脫位、馬蹄內翻等患者,尤其小兒,要有防範MH發生的意識。除詳細瞭解病史及家族史外,術前應常規檢查測定CPK、CPK-MB等,在MH患者中其陽性率在80%以上有家族史。術前一定要告知患者及家屬麻醉及手術過程患者可能發生MH,爭取在有條件的醫院進行術前篩選檢查。有資料顯示,MH的確診有賴於進行骨骼肌肉組織活檢,咖啡因和氟烷激發試驗[4]。
(2)術中要密切監測呼氣末CO2和體溫,注意吸入麻醉藥的濃度,對於高度懷疑者應避免使用琥珀膽鹼及氟化吸入麻醉藥,並應避免使用影響體溫調節和增加交感張力的藥物[5]。一旦患者在肌肉鬆弛藥全身麻醉時或手術過程中出現難以解釋的呼末二氧化碳濃(PCO2)異常升高,紫紺,心率過快,快速體溫升高達39.0℃以上,伴有全身骨骼肌強直性收縮,要警惕惡性高熱,儘早結束手術和麻醉。應積極給予物理降溫,穩定呼吸迴圈功能。
(3)一旦確診MH可積極聯絡靜注丹曲林治療[6]。丹曲林可直接作用於肌肉,抑制鈣從肌漿中釋出,從而使肌肉鬆弛。開始劑量為1-2mg/kg,5-l0min後重復1次。總量為l0mg/kg。
(4)惡性高熱死亡率極高,早期有效地治療是救治成功的關鍵。在無特效藥丹曲林的情況下可以考慮透過血液透析救治。徐輝等報道其發病後肌持續痙攣收縮,可產生嚴重的RM,RM是MH患者較遲表現的併發症。一些與肌代謝有關的酶會成千上萬倍地升高並釋放到血液中,導致急性腎衰竭。早期CRRT和血漿置換可以以降低和排出骨骼肌痙攣破壞而產生的大量代謝產物,取得良好效果 [7]。
總之,惡性高熱罕見,死亡率極高,近年來在我國有增加趨勢,加強對該病的認識和防範非常重要。歐美等發達國家對可疑MR患者,術前一般取肌肉活檢行咖啡因一氟烷骨骼肌體外收縮試驗明確診斷,以決定麻醉方式及麻醉用藥。目前應根據國人的特點,儘快建立試驗方法和診斷標準。對於早期患者沒有出現多臟器功能衰竭、嚴重的高鉀血癥之前,是否可以經驗性予以血液透析治療,血液透析治療的時機以及能否降低其死亡率,仍需進行深入的研究。
患者術前
患者術前
患者發病後
患者發病後(右腿腓腸肌)
參考文獻
[1] [3]田玉科,陳治軍.惡性高熱的發病機理及其防治[J].臨床麻醉學雜誌,2002,18(1):56-58.
[2] 楊天德.惡性高熱的分子生物學研究[J].國外醫學·麻醉學與復甦分冊,1998,19(2):91.92.
[4] 鄭斯聚惡性高熱[J].中華麻醉學雜誌.1996, 16(2):92.
[5] 張伯勳.惡性高熱的術前及其防治[J].中華外科雜誌.1993,31(5) :298.
[6]【徐仲煌,郭向陽,羅愛倫.我國惡性高熱發病概況,實驗室診斷方法的建立及臨床應用.China Medical News[J].2005,2008):22.
[7] 徐輝,姜虹,黃慧敏,朱也森.口腔頜面外科術中惡性高熱的急救處理:附2例報告[J].中國口腔頜面外科雜誌,2007,5(5):386-388.
