來源:鼎湖影像,轉載僅供學習交流
全身CT斷層影像,很全,很詳細,滿滿乾貨,坐在小板凳上,一起學習吧...
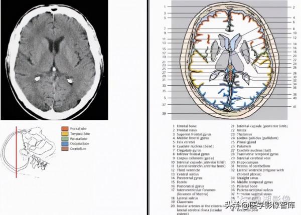
頭顱
1.額骨 2.額上回 3.冠狀縫 4.中央前溝 5.大腦鐮 6.中央前回 7.頂骨 8.旁中央小葉 9.中央溝 10.中央後回11.頂上小葉 12.楔前葉13.矢狀縫 14.上矢狀竇
1.額骨 2.上矢狀竇 3.額上葉 4.冠狀縫 5.大腦鐮 6.額中回 7.大腦縱裂 8.中央前溝 9.中央前回 10.中央溝 11.大腦白質(半卵圓中心)12.中央後回 13.旁中央小葉 14.緣上回 15.頂骨 16.頂下小葉 17.楔前葉 18.頂枕溝 19.枕骨
1.額骨 2.額上回 3.大腦鐮 4.額中回 5.扣帶回 6.冠狀縫 7.胼胝體周圍動脈 8.中央前回 9.放射冠 10.中央溝11.胼胝體 12.中央後回13.側腦室(脈絡膜叢) 14.中央後溝 15.頂骨 16.緣上回 17. 楔前葉 18.角回 19.頂枕溝 20.枕回 21.楔葉 22.枕骨 23.上矢狀竇
1.額骨 2.大腦鐮 3.額上回 4.額中回 5.額下回 6.扣帶回 7.胼胝體幹 8.側腦室前角 9.尾狀核頭10.中央前回 11.中央溝 12.放射冠 13.中央後回 14.屏狀核 15.丘腦 16.外側裂 17.顳葉島蓋 18.腦島 19.尾狀核尾 20.顳上回 21.胼胝體壓部 22.穹窿 23.扣帶回峽 24. 側腦室脈絡叢 25.直竇 26.大腦大靜脈27.頂骨 28.頂枕溝 29.枕回 30.楔葉 31.上矢狀竇 32.紋狀皮層(視覺初級皮層)33.枕骨
1.額骨 2.額竇 3.額上回 4.額中回 5.大腦鐮 6.尾狀核頭 7.扣帶回 8.額下回 9.胼胝體膝部 10.內囊前肢 11.側腦室前角 12.第三腦室 13.中央溝 14.中央前回 15.穹窿 16.中央後回 17.室間孔 18.外側裂 19.屏狀核20.外側裂池島動脈? 21.內囊後肢 22.島葉 23.丘腦 24.蒼白球 25.松果體 26.殼(核) 27.尾狀核尾 28.顳橫回 29.大腦內靜脈 30.海馬 31.小腦蚓部 32.側腦室后角(脈絡膜叢)33.直竇 34.顳中回 35.頂骨 36.頂枕溝 37.上矢狀竇 38.枕回 39.枕骨 40.紋狀皮層(視覺初級皮層)41.枕極
1.額骨 2.額竇 3.大腦鐮 4.額上回 5.扣帶回 6.額中回 7.胼胝體膝部 8.側腦室前角 9.內囊前肢 10.尾狀核頭11.頂骨 12.額下回 13.外囊 14.殼(核)15. 前聯合?16.外側裂池島動脈? 17.下丘腦 18.內囊膝 19.第三腦室 20.屏狀核 21.顳上回 22.外囊 23.顳骨 24.內囊後肢 25.膝狀體(內、外)26.內囊後肢 27.海馬28.丘腦 29.海馬旁回 30.松果體 31.小腦幕 32.四疊體板 33.小腦蚓部 34.四疊體池 35.直竇 36.顳中回 37.上矢狀竇 38.側腦室后角 39.枕骨 40.頂骨 41.枕回
1.額骨 2.額竇 3.大腦鐮 4.額上回 5.扣帶回 6.額中回 7.額下回 8.大腦前動脈 9.紋狀體(下部)10.外側裂(島池)11.島葉 12.島動脈 13.視束 14.顳上回 15.下丘腦 16.第三腦室 17.大腦腳 18.頂骨 19.側腦室(顳角) 20.腳間池 21.顳中回 22.海馬 23.海馬旁回 24.環池?25.中腦(四疊體板) 26.中腦導水管 27.顳下回 28.四疊體池 29.枕顳外側回 30.小腦蚓部 31.頂枕溝 32.小腦幕 33.上矢狀竇 34.直竇 35.枕骨 36.枕回
1.額竇 2.額骨 3.大腦鐮 4.眶回 5.直回 6.大腦前動脈 7.前交通動脈 8.頸內動脈 9.顳上回 10.顳中回 11.大腦中動脈 12.後交通動脈 13.視交叉 14.杏仁核 15.垂體 16.側腦室(顳角)17.鞍背 18.海馬 19.基底池?20.顳下回 21.大腦後動脈22.海馬旁回 23.小腦幕 24.基底動脈和基地溝 25.橋腦 26.乙狀竇 27.小腦角(中部)28.第四腦室 29.齒狀核 30.小腦蚓(上部)31.顳骨 32.竇匯 33.小腦半球 34.橫竇 35.枕骨
1.額骨 2.額竇 3.直回 4.顳肌 5.眶回 6.眶頂 7.顳上回 8.視神經 9.頸內動脈 10.垂體 11.顳中回 12.鞍背13.海馬旁回 14.基底動脈 15.側腦室(顳角) 16.顳下回 17.三叉神經 18.滑車神經 19.腦橋池 20.乳突竇21.小腦幕 22.第四腦室 23.橋腦 24.顳骨 25.小腦腳 26.小腦蚓 27.乙狀竇 28.小腦半球 29.齒狀核 30.枕竇 31.枕骨 32頭半棘肌
1.額骨 2.額竇 3.上斜肌 4.眼球 5.眼靜脈 6.上直肌 7.直回合嗅球 8.眶後脂肪 9.顳肌 10.視神經 11.蝶竇 12.蝶骨 13.顳下回 14.眶上組織 15.三叉神經 16.頸內動脈 17.橋腦池 18.海綿竇 19.乳突竇 20.基底動脈 21.橋腦 22.腦橋小腦池 23.小腦腳中下部 24.面、前庭蝸神經(內耳道)25.乙狀竇 26.乳突和乳突細胞 27.小腦蚓 28.第四腦室 29.枕竇 30.小腦半球 31.枕骨32.頭半棘肌
1.眼球 2.上斜肌 3.淚腺 4.篩骨竇 5.顴骨 6.內直肌 7.視神經 8.外直肌 9.蝶骨 10.上直肌 11.顳肌 12.蝶竇13.顳骨 14.顳葉(底部)15.斜坡(由顱骨的枕大孔向上至背鞍)16.顳下頜關節和下頜頭17.基底動脈18.頸內動脈19.外耳道(骨膜)20.鼓室 21.橋腦 22. 外展神經 23.絨球 24.小腦下前動脈 25.乳突和乳突細胞 26.舌咽神經和迷走神經 27.乙狀竇 28.延髓 29.頭夾肌 30.小腦半球 31.枕骨 32.枕竇 33.頭後小直肌 34.頭半棘肌
1.鼻骨 2.眼球 3.內直肌 4.鼻中隔 5.篩骨竇 6.顴骨 7.翼顎窩 8.下直肌 9.枕骨(基底部) 10.顳肌 11.卵圓孔下頜神經 12.蝶竇 13.顳骨(巖頂部)14.顴弓 15.頸內動脈 16.咀嚼肌 17.頸靜脈 18 翼外機 19.外耳道 20.咽鼓管 21.延髓 22.下頜頭 23.乳突 24.破裂孔 25.乙狀竇 26.椎動脈 27巖枕裂.28.絨球 29.小腦扁桃體 30.二腹肌 31.頭夾肌 32.小腦半球(尾葉)33.頭後小直肌 34.小腦延髓池 35.頭後大直肌 36.枕骨 37.頭半棘肌 38.斜方肌
頸部及顱內血管
主動脈弓分支(2/3)
無名動脈(頭臂幹, brachiocephalic trun,BCT)-右側頸總動脈RCCA、右側鎖骨下動脈RSCA
左頸總動脈(left common carotid artery,CCA)
左鎖骨下動脈(left subclavian artery,SCA)
頸總動脈分支
CCA:C4/5椎體水平分叉成ICA、ECA
頸內動脈分 7 個解剖段
C1:頸段
C2:巖段
C3:破裂孔段
C4:海綿竇段
C5:床突段
C6:眼段
C7:交通段
C1段(頸段):頸內動脈在 C4 平面分出,進入顳骨巖部的頸動脈管後C1 段終止。
C2段(巖段):全程均在頸動脈管內,分垂直段及水平段,如倒“L”形(黑箭),圓圈代表顱外及顱內頸動脈管的開口,平行黑線代表巖舌韌帶,白箭示破裂孔段。
C3段(破裂孔段):短段,位於破裂孔上
C4段(海綿竇段):始於巖舌韌帶上緣,穿過硬膜環而出海綿竇。
C5段(床突段):始於近側硬膜環,止於ICA進入蛛網膜下腔外的遠側硬膜環,為硬膜間結構。
C6段(眼段):起自遠側硬膜環,止於PCoA起點近側。
C7段(交通段):起自PCoA起點近側,止於ACA及分叉處。位於視交叉動眼神經間。
近側椎動脈段解剖
(A 側位;B 前後位;C 頦頂位)
1. 骨外段(V1) 2. 橫突孔段(V2) 3. 椎外段(V3)4. 硬膜內段(V4)5. 枕骨髁的大概位置
椎動脈(VA)
①V1(骨外)段:起自鎖骨下動脈的上方,向上進入 C6 橫突孔。
②V2(椎間孔段):透過 C6 至 C3 橫突孔,經 C2,出樞椎,透過 C1 橫突孔。
③V3(脊椎外)段:自出 C1 並止於穿硬腦膜處。
④V4(硬膜內段):過枕骨大孔,在腦橋及延髓交界處合成基底動脈。
椎基底動脈系統及其分支解剖(側位):
1. 左椎動脈 2. 腦膜後動脈 3. 小腦後下動脈(PICA)
4. 基底動脈 5.小腦前下動脈(AICA) 6.腦橋外側支
7. 小腦上動脈(SCA) 8.大腦後動脈 9.小腦半球支大水平裂
10.SCA的小腦半球分支 11.小腦蚓上動脈
椎基底動脈系統及其分支解剖(前後位):
1.右椎動脈 2.左椎動脈 3.脊髓前動脈 4.小腦後下動脈(PICA)
5.基底動脈 6.小腦前下動脈(AICA) 7.腦橋外側支
8.小腦上動脈(SCA) 9.大腦後動脈 10.後交通動脈 11.頸內動脈
基底動脈(BA)
在腦橋前的正中溝內。正常管徑 3~4mm,平均長 32mm。左側椎動脈造影前後位:
1. 基底動脈 2.左小腦前下動脈(AICA) 3. 左小腦後下動脈(PICA)
4.右 AICA-PICA 幹 5.左 PICA 6. PICA半球支
7.小腦上動脈(SCA) 8.SCA的蚓支 9.小腦上動脈半球支
分支:
①PCoA;
②AChA(脈絡膜前動脈):供應視束、內囊後肢、大腦腳、脈絡叢及顳葉內側;
③ACA 及 MCA。Willis 環
A1 大腦前動脈水平段(交通前段)
A2:大腦前動脈垂直段(交通後段)
P1:大腦後動脈水平段(交通前段)
P2:PCA 環池段
SCA:小腦上動脈
OA:眼動脈ON:視神經
CNIII:動眼神經
CNIV:滑車神經
大腦前動脈
A1 段(水平段):位於視交叉上水平內側走行,與對側經ACoA匯合
A2 (垂直段) :沿半球間裂上行,從A1-ACoA 連線胼胝體嘴。
A3 (胼胝體膝前段):位於胼胝體膝前。
A4段:分成胼周動脈(粗支)胼胝體上方扣帶回間和胼緣動脈扣帶溝走行。
大腦中動脈
大腦中動脈 MCA 分段:
M1 (水平段):ICA 分叉-外側裂前兩或三分叉
M2 (島段):MCA幹分叉後上,位於側裂池→島葉供血
M3 (島蓋段):側裂尖轉向外側,供血額顳頂島蓋
M4 (皮層) 段:出側裂
大腦皮層表面前後點陣圖解:FPO 為額頂葉島蓋;TO 為顳葉島蓋;I 為腦島。
1.頸內動脈 2.大腦前動脈 3.Heubner返動脈 4.顳前動脈 5.外側豆紋動脈 6. MCA 分叉處 7. MCA膝部 8.側裂頂部
大腦後動脈(PCA)
1. 基底動脈
2. 後交通動脈
3. PCA P1 段
4. 穿支
5. P2 段
6. 小腦上動脈
7. 基底動脈的腦橋支
8. 顳前動脈
9. 顳後動脈
PCA 分 4 段:P1 交通前段;P2 環池段;P3 四疊體段;P4 距裂段
PCA 分出 3 種類型分支:中央支、腦室及脈絡叢支及大腦支。
中央支
①丘腦穿動脈(PTPA):起於 P1 段,通過後穿質入腦。
②丘腦膝狀體動脈(TGA):起於 P2 段。
③大腦腳穿動脈(PPA):起於 P2 段,直接進入大腦腳。
腦室及脈絡叢分支
①脈絡膜後內動脈(MPChA):起自 P2 段,繞過腦幹轉向上內前行進入介於兩側丘之間的第三腦室頂,透過室間孔進入側腦室的脈絡叢。
②脈絡膜後外動脈(LPCha):起自 P2 段,向外行, 穿過脈絡裂進入顳角及側腦室三角區的脈絡叢內。
大腦分支
①顳前動脈:始於 P2 段,在海馬迴下前外行。
②顳後動脈:起自 P2 面的中部,沿海馬迴向後外方行走。
顱底
顳骨
頸部
胸部
第一層:胸廓入口水平
1. Deltoid muscle 三角肌
2. Head of humerus 肱骨頭
3. Pectoralis major muscle 胸大肌
4. Pectoralis minor muscle 胸小肌
5. Sternothyroid muscle 胸骨甲狀肌
6. Internal jugular vein 頸內靜脈
7. Internal carotid artery 頸內動脈
8. Longus colli muscle 頸長肌
9. Thyroid gland 甲狀腺
10. Trachea 氣管
11. Esophagus 食管
12. Sternocleidomastoid muscle 胸鎖乳突肌
13. Vagus nerve (ramus) 迷走神經
14. Anterior scalene muscle 前斜角肌
15. Brachial plexus 臂叢神經
16. Subclavian artery 鎖骨下動脈
17. Joint capsule with capsular ligaments 關節囊及囊韌帶
18. Infraspinatus muscle 岡下肌
19. Spine of scapula 肩胛岡
20. Coracoid process 喙突
21. Trapezius muscle 斜方肌
22. Medial and posterior scalenus muscles 中、後斜角肌
23. Costovertebral joint (Rib 1) 肋椎關節(第1肋)
24. Thoracic vertebra 1 第1胸椎
25. Vertebral arch (lamina) 椎弓(椎板)
26. Supraspinous ligament 棘上韌帶
27. Spinal cord 脊髓
28. Erector spinae muscle 豎脊肌
29. Serratus anterior muscle 前鋸肌
30. Rhomboid muscle 菱形肌
31. Clavicle 鎖骨
32. Supraspinatus muscle 岡上肌
33. Supraclavicular lymph nodes
鎖骨上淋巴結
34. Subclavicular lymph nodes
鎖骨下淋巴結
35. Jugular lymph nodes
頸淋巴結
36. Paratracheal lymph nodes
氣管旁淋巴結
37. Anterior cervical lymph nodes
頸前淋巴結
38. Paraesophageal lymph nodes
食管周圍淋巴結
第二層:鎖骨下動、靜脈水平
1. Deltoid muscle 三角肌
2. Subscapularis muscle 肩胛下肌
3. Pectoralis minor muscle胸小肌
4. Pectoralis major muscle 胸大肌
5. Clavicle 鎖骨
6. Subclavius muscle 鎖骨下肌
7. Vagus nerve (ramus) 迷走神經
8. Internal jugular vein 頸內靜脈
9. Internal carotid artery 頸內動脈
10. Thyroid gland 甲狀腺
11. Trachea 氣管
12. Sternocleidomastoid muscle 胸鎖乳突肌
13. Esophagus 食管
14. Subclavian artery 鎖骨下動脈
15. Left lung 左肺
16. Rib 1 第1肋
17. Intercostal muscle 肋間肌
18. Subclavian artery and vein 鎖骨下動、靜脈
19. Brachial plexus 臂叢神經
20. Teres major muscle and latissimus dorsi muscle 大圓肌和背闊肌
21. Spine of scapula 肩胛岡
22. Serratus anterior muscle 前鋸肌
23. Rib 2 第2肋
24. Rhomboid muscle 菱形肌
25. Costovertebral joint 肋椎關節
26. Erector spinae muscle 豎脊肌
27. Thoracic vertebra 2 第2胸椎
28. Spinal cord 脊髓
29. Sympathetic trunk 交感幹
30. Trapezius muscle 斜方肌
31. Supraspinatus muscle 岡上肌
32. Scapula 肩胛骨
33. Infraspinatus muscle 岡下肌
34. Deep axillary lymph nodes
深部腋窩淋巴結
35. Intercostal lymph nodes
肋間淋巴結
36. Paratracheal lymph nodes
氣管旁淋巴結
37. Anterior cervical lymph nodes
頸前淋巴結
38. Paraesophageal lymph nodes
食管旁淋巴結
39. Jugular lymph nodes
頸淋巴結
Right Lung
1. Apical segment of upper lobe
右肺上葉尖段
Left Lung
1+2 Apicoposterior segment of upper lobe
左肺上葉尖後段
第三層:主動脈弓三大分支水平
1. Deltoid muscle 三角肌
2. Subscapularis muscle 肩胛下肌
3. Pectoralis minor muscle 胸小肌
4. Pectoralis major muscle 胸大肌
5. Right lung 右肺
6. Rib 1 第1肋
7. Brachiocephalic vein 頭臂靜脈
8. Clavicle 鎖骨
9. Brachiocephalic artery 頭臂幹
10. Trachea 氣管
11. Thymus 甲狀腺
12. Sternum (manubrium) 胸骨(胸骨柄)
13. Left common carotid artery 左頸總
14. Recurrent laryngeal nerve 喉返神經
15. Left subclavian artery 左鎖骨下動脈
16. Left lung 左肺
17. Rib 2 第2肋
18. Intercostal muscle 肋間肌
19. Axillary artery and vein 腋動、靜脈
20. Brachial plexus 臂叢
21. Teres major muscle and latissimus dorsi muscle 大圓肌和背闊肌
22. Triceps brachii muscle (long head) 肱三頭肌(長頭)
23. Infraspinatus muscle 岡下肌
24. Supraspinatus muscle 岡上肌
25. Serratus anterior muscle 前鋸肌
26. Rib 3 第3肋
27. Rhomboid muscle 菱形肌
28. Erector spinae muscle 豎脊肌
29. Sympathetic trunk 交感幹
30. Spinal cord 脊髓
31. Thoracic vertebra 胸椎
32. Trapezius muscle 斜方肌
33. Esophagus 食管
34. Scapula 肩胛骨
35. Spine of scapula 肩胛岡
36. Deep axillary lymph nodes
深部腋窩淋巴結
37. Interpectoral lymph nodes
胸肌間淋巴結
38. Intercostal lymph nodes
肋間淋巴結
39. Paravertebral lymph nodes
椎旁淋巴結
40. Anterior mediastinal lymph nodes
前縱隔淋巴結
41. Paratracheal lymph nodes
氣管旁淋巴結
42. Paraesophageal lymph nodes
食管旁淋巴結
Right Lung
1. Apical segment of upper lobe
右肺上葉尖段
2. Posterior segment of upper lobe
右肺上葉後段
3. Anterior segment of upper lobe
右肺上葉前段
Left Lung
1+2 Apicoposterior segment of upper lobe
左肺上葉尖後段
3. Anterior segment of upper lobe
左肺上葉前段
第四層:主動脈弓上緣水平
1. Deltoid muscle 三角肌
2. Subscapularis muscle 肩胛下肌
3. Pectoralis minor muscle 胸小肌
4. Pectoralis major muscle 胸大肌
5. Right lung 右肺
6. Rib 肋骨
7. Right brachiocephalic vein 右頭臂靜脈
8. Right brachiocephalic artery 右頭臂幹
9. Vagus nerve 迷走神經
10. Trachea 氣管
11. Left brachiocephalic vein 左頭臂靜脈
12. Sternum (manubrium) 胸骨(胸骨柄)
13. Left common carotid artery 左頸總
14. Phrenic nerve 膈神經
15. Left subclavian artery 左鎖骨下動脈
16. Left lung 左肺
17. Intercostal muscle 肋間肌
18. Axillary artery and vein 腋動、靜脈
19. Rib 肋骨
20. Teres major muscle and latissimus dorsi muscle 大圓肌和背闊肌
21. Infraspinatus muscle 岡下肌
22. Supraspinatus muscle 岡上肌
23. Rhomboid muscle major 菱形肌
24. Trapezius muscle 斜方肌
25. Thoracic vertebra 胸椎
26. Spinal cord (thoracic part) 脊髓(胸段)
27. Erector spinae muscle 豎脊肌
28. Esophagus 食管
29. Recurrent laryngeal nerve 喉返神經
30. Scapula 肩胛骨
31. Spine of scapula 肩胛岡
32. Superficial axillary lymph nodes
表淺腋窩淋巴結
33. Interpectoral lymph nodes
胸肌間淋巴結
34. Paravertebral lymph nodes
椎旁淋巴結
35. Paratracheal lymph nodes
氣管旁淋巴結
36. Anterior mediastinal lymph nodes
前縱隔淋巴結
37. Parasternal lymph nodes
胸骨旁淋巴結
38. Paraesophageal lymph nodes
食管旁淋巴結
39. Intercostal lymph nodes
肋間淋巴結
Right Lung
1. Apical segment of upper lobe
右肺上葉尖段
2. Posterior segment of upper lobe
右肺上葉後段
3. Anterior segment of upper lobe
右肺上葉前段
Left Lung
1+2 Apicoposterior segment of upper lobe
左肺上葉尖後段
3. Anterior segment of upper lobe
左肺上葉前段
第五層:主動脈弓水平
1. Latissimus dorsi muscle 背闊肌
2. Subscapularis muscle 肩胛下肌
3. Pectoralis minor muscle 胸小肌
4. Pectoralis major muscle 胸大肌
5. Right lung 右肺
6. Rib 肋骨
7. Right brachiocephalic vein 右頭臂靜脈
8. Phrenic nerve 膈神經
9. Sternum (manubrium) 胸骨(胸骨柄)
10. Azygos vein 奇靜脈
11. Thymus 胸腺
12. Trachea 氣管
13. Aortic arch 主動脈弓
14. Left lung 左肺
15. Intercostal muscle 肋間肌
16. Thoracodorsal artery 胸背動脈
17. Infraspinatus muscle 岡下肌
18. Scapula 肩胛骨
19. Spine of scapula 肩胛岡
20. Rhomboid muscle major 菱形肌
21. Trapezius muscle 斜方肌
22. Sympathetic trunk 交感幹
23. Erector spinae muscle 豎脊肌
24. Spinal cord 脊髓
25. Thoracic vertebra 胸椎
26. Thoracic duct 胸導管
27. Esophagus 食管
28. Teres major muscle 大圓肌
29. Superficial axillary lymph nodes
表淺腋窩淋巴結
30. Interpectoral lymph nodes
胸肌間淋巴結
31. Intercostal lymph nodes
肋間淋巴結
32. Paratracheal lymph nodes
氣管旁淋巴結
33. Anterior mediastinal lymph nodes
前縱隔淋巴結
34. Paraesophageal lymph nodes
食管旁淋巴結
35. Parasternal lymph nodes
胸骨旁淋巴結
36. Paravertebral lymph nodes
椎旁淋巴結
Right Lung
1. Apical segment of upper lobe
右肺上葉尖段
2. Posterior segment of upper lobe
右肺上葉後段
3. Anterior segment of upper lobe
右肺上葉前段
6. Superior segment of lower lobe
右肺下葉上段
Left Lung
1+2 Apicoposterior segment of upper lobe
左肺上葉尖後段
3. Anterior segment of upper lobe
左肺上葉前段
6. Superior segment of lower lobe
左肺下葉上段
第六層:主肺動脈窗水平
1. Latissimus dorsi muscle 背闊肌
2. Thoracodorsal artery 胸背動脈
3. Subscapularis muscle 肩胛下肌
4. Pectoralis minor muscle 胸小肌
5. Pectoralis major muscle 胸大肌
6. Right lung 右肺
7. Phrenic nerve 膈神經
8. Internal thoracic artery and vein 胸廓內動、靜脈
9. Superior vena cava 上腔靜脈
10. Sternum (body) 胸骨體
11. Thymus 胸腺
12. Ascending aorta 升主動脈
13. Recurrent laryngeal nerve 喉返神經
14. Aorticopulmonary window 主肺動脈窗
15. Left lung 左肺
16. Intercostal muscle 肋間肌
17. Teres major muscle 大圓肌
18. Infraspinatus muscle 岡下肌
19. Scapula 肩胛骨
20. Rhomboid major muscle 大菱形肌
21. Rib 肋骨
22. Right main stem bronchus 右主支氣管
23. Trapezius muscle 斜方肌
24. Erector spinae muscle 豎脊肌
25. Spinal cord 脊髓
26. Thoracic vertebra 胸椎
27. Thoracic duct 胸導管
28. Esophagus 食管
29. Descending aorta 降主動脈
30. Left main stem bronchus 左主支氣管
31. Teres minor muscle 小圓肌
32. Tracheobronchial lymph nodes
氣管支氣管淋巴結
33. Middle mediastinal lymph nodes
中縱隔淋巴結
34. Paratracheal lymph nodes
氣管旁淋巴結
35.Anterior mediastinal lymph nodes
前縱隔淋巴結
36. Parasternal lymph nodes
胸骨旁淋巴結
37. Paraesophageal lymph nodes
食管旁淋巴結
38. Lymph nodes of the aorticopulmonary window
主肺動脈窗淋巴結
39. Paravertebral lymph nodes
椎旁淋巴結
40. Intercostal lymph nodes
肋間淋巴結
Right Lung
2. Posterior segment of upper lobe
右肺上葉後段
3. Anterior segment of upper lobe
右肺上葉前段
6. Superior segment of lower lobe
右肺下葉上段
Left Lung
1+2 Apicoposterior segment of upper lobe
左肺上葉尖後段
3. Anterior segment of upper lobe
左肺上葉前段
6. Superior segment of lower lobe
左肺下葉上段
第七層:氣管隆突下水平
1. Latissimus dorsi muscle 背闊肌
2. Thoracodorsal artery 胸背動脈
3. Subscapularis muscle 肩胛下肌
4. Pectoralis minor muscle 胸小肌
5. Right lung 右肺
6. Pectoralis major muscle 胸大肌
7. Superior vena cava 上腔靜脈
8. Phrenic nerve 膈神經
9. Ascending aorta 升主動脈
10. Sternum 胸骨
11. Right pulmonary artery 右肺動脈
12. Pulmonary trunk 肺動脈幹
13. Recurrent laryngeal nerve 喉返神經
14. Left pulmonary artery 左肺動脈
15. Descending aorta 降主動脈
16. Intercostal muscle 肋間肌
17. Rib 肋骨
18. Teres major muscle 大圓肌
19. Infraspinatus muscle 岡下肌
20. Scapula 肩胛骨
21. Rhomboid major muscle 大菱形肌
22. Trapezius muscle 斜方肌
23. Right main stem bronchus 右主支氣管
24. Thoracic vertebra 胸椎
25. Spinal cord 脊髓
26. Esophagus 食管
27. Erector spinae muscle 豎脊肌
28. Thoracic duct 胸導管
29. Left main stem bronchus 左主支氣管
30. Left lung 左肺
31. Serratus anterior muscle 前鋸肌
32. Intercostal lymph nodes
肋間淋巴結
33. Middle mediastinal lymph nodes
中縱隔淋巴結
34. Anterior mediastinal lymph nodes
前縱隔淋巴結
35. Paratracheal lymph nodes
氣管旁淋巴結
36. Paraesophageal lymph nodes
食管旁淋巴結
37. Parasternal lymph nodes
胸骨旁淋巴結
38. Bronchopulmonary lymph nodes
支氣管肺淋巴結
39. Lymph nodes of the aorticopulmonary window
主肺動脈窗淋巴結
40. Para-aortal lymph nodes
主動脈旁淋巴結
Right Lung 右肺
3. Anterior segment of upper lobe
上葉前段
6. Superior segment of lower lobe
下葉上段
Left Lung 左肺
3. Anterior segment of upper lobe
上葉前段
6. Superior segment of lower lobe
下葉上段
第八層:肺動脈幹水平
1. Latissimus dorsi muscle 背闊肌
2. Long thoracic nerve 胸長神經
3. Serratus anterior muscle 前鋸肌
4. Glandular tissue of the breast and nipple 乳腺腺體及乳頭
5. Right lung 右肺
6. Pectoralis major muscle 胸大肌
7. Right pulmonary artery 右肺動脈
8. Superior vena cava 上腔靜脈
9. Internal thoracic artery and vein 胸內動脈、靜脈
10. Ascending aorta 升主動脈
11. Sternum 胸骨
12. Pulmonary trunk 肺動脈幹
13. Rib (costal cartilage) 肋骨(肋軟骨)
14. Left pulmonary vein 左肺靜脈
15. Left atrium 左心房
16. Intercostal muscle 肋間肌
17. Rib 肋骨
18. Teres major muscle 大圓肌
19. Infraspinatus muscle 岡下肌
20. Scapula 肩胛骨
21. Trapezius muscle 斜方肌
22. Right inferior lobar bronchus 右肺下葉支氣管
23. Erector spinae muscle 豎脊肌
24. Thoracic vertebra 胸椎
25. Spinal cord 脊髓
26. Azygos vein 奇靜脈
27. Thoracic duct 胸導管
28. Esophagus 食管
29. Descending aorta 降主動脈
30. Left inferior lobar bronchus 左肺下葉支氣管
31. Rhomboid muscle major 菱形肌
32. Left lung 左肺
33. Subscapularis muscle 肩胛下肌
34. Bronchopulmonary lymph nodes
支氣管肺淋巴結
35. Paravertebral lymph nodes
椎旁淋巴結
36. Parasternal lymph nodes
胸骨旁淋巴結
37. Juxtaesophageal lymph nodes
食管旁淋巴結
38. Anterior mediastinal lymph nodes
前縱隔淋巴結
39. Para-aortal lymph nodes
主動脈旁淋巴結
40. Intercostal lymph nodes
肋間淋巴結
Right Lung 右肺
3. Anterior segment of upper lobe
上葉前段
6. Superior segment of lower lobe
下葉上段
Left Lung 左肺
3. Anterior segment of upper lobe
上葉前段
6. Superior segment of lower lobe
下葉上段
第九層:左肺靜脈水平
1. Latissimus dorsi muscle 背闊肌
2. Long thoracic nerve 胸長神經
3. Serratus anterior muscle 前鋸肌
4. Right lung 右肺
5. Pectoralis major muscle 胸大肌
6. Right inferior lobar bronchus 右肺下葉支氣管
7. Superior vena cava上腔靜脈
8. Right auricle 右心耳
9. Internal thoracic artery and vein 胸內動脈、靜脈
10. Left atrium 左心房
11. Sternum 胸骨
12. Right coronary artery 右冠狀動脈
13. Ascending aorta 升主動脈
14. Rib (costal cartilage) 肋骨(肋軟骨)
15. Conus arteriosus 動脈圓錐
16. Left ventricle 左心室
17. Left coronary artery 左冠狀動脈
18. Rib 肋骨
19. Intercostal muscle 肋間肌
20. Scapula 肩胛骨
21. Right lung in retroesophageal recess食管後隱窩處的右肺
22. Trapezius muscle 斜方肌
23. Erector spinae muscle 豎脊肌
24. Thoracic vertebra 胸椎
25. Azygos vein 奇靜脈
26. Spinal cord 脊髓
27. Esophagus 食管
28. Thoracic duct 胸導管
29. Descending aorta 降主動脈
30. Left pulmonary vein 左肺靜脈
31. Left inferior lobar bronchus 左肺下葉支氣管
32. Left lung 左肺
33. Bronchopulmonary lymph nodes
支氣管肺淋巴結
34. Paravertebral lymph nodes
椎旁淋巴結
35. Parasternal lymph nodes
胸骨旁淋巴結
36. Prepericardial lymph nodes
心包前淋巴結
37. Juxtaesophageal lymph nodes
食管旁淋巴結
38. Para-aortal lymph nodes
主動脈旁淋巴結
39. Intercostal lymph nodes
肋間淋巴結
Right Lung 右肺
4. Lateral segment of middle lobe
中葉外側段
5. Medial segment of middle lobe
中葉內側段
6. Superior segment of lower lobe
下葉上段
10. Posterior basal segment of lower lobe
下葉後基底段
Left Lung 左肺
4. Superior lingular segment
上舌段
5. Inferior lingular segment
下舌段
6. Superior segment of lower lobe
下葉上段
10. Posterior basal segment of lower lobe
下葉後基底段
第十層:升主動脈根部水平
1. Latissimus dorsi muscle 背闊肌
2. Thoracodorsal artery 胸背動脈
3. Long thoracic nerve 胸長神經
4. Serratus anterior muscle 前鋸肌
5. Right lung 右肺
6. Crista terminalis 界嵴
7. Superior vena cava 上腔靜脈
8. Right atrium 右心房
9. Internal thoracic artery and vein 胸內動脈、靜脈
10. Right coronary artery 右冠狀動脈
11. Aortic valve 主動脈瓣
12. Sternum 胸骨
13. Conus arteriosus 動脈圓錐
14. Rib (costal cartilage) 肋骨(肋軟骨)
15. Left coronary artery 左冠狀動脈
16. Coronary sulcus 冠狀溝
17. Left ventricle 左心室
18. Left coronary artery 左冠狀動脈
19. Phrenic nerve and pericardium 膈神經和心包
20. Left lung 左肺
21. Scapula 肩胛骨
22. Intercostal muscle 肋間肌
23. Rib 肋骨
24. Right pulmonary vein 右肺靜脈
25. Left atrium 左心房
26. Trapezius muscle 斜方肌
27. Erector spinae muscle 豎脊肌
28. Thoracic vertebra 胸椎
29. Azygos vein 奇靜脈
30. Spinal cord 脊髓
31. Esophagus 食管
32. Transverse process 橫突
33. Costovertebral joint 肋椎關節
34. Thoracic duct 胸導管
35. Descending aorta 降主動脈
36. Left pulmonary vein 左肺靜脈
37. Left inferior lobar bronchus 左肺下葉支氣管
38. Bronchopulmonary lymph nodes
支氣管肺淋巴結
39. Paravertebral lymph nodes
椎旁淋巴結
40. Parasternal lymph nodes
胸骨旁淋巴結
41. Prepericardial lymph nodes
心包前淋巴結
42. Juxtaesophageal lymph nodes
食管旁淋巴結
43. Para-aortal lymph nodes
主動脈旁淋巴結
44. Intercostal lymph nodes
肋間淋巴結
Right Lung 右肺
4. Lateral segment of middle lobe
中葉外側段
5. Medial segment of middle lobe
中葉內側段
8. Anterior basal segment of lower lobe
下葉前基底段
9. Lateral basal segment of lower lobe
下葉外基底段
10. Posterior basal segment of lower lobe
下葉後基底段
Left Lung 左肺
4. Superior lingular segment
上舌段
5. Inferior lingular segment
下舌段
8. Anterior basal segment of lower lobe
下葉前基底段
9. Lateral basal segment of lower lobe
下葉外基底段
10. Posterior basal segment of lower lobe
下葉後基底段
第十一層:四腔心水平
1. Latissimus dorsi muscle 背闊肌
2. Serratus anterior muscle 前鋸肌
3. Right lung 右肺
4. Right atrium 右心房
5. Internal thoracic artery and vein 胸內動脈、靜脈
6. Right coronary artery 右冠狀動脈
7. Right atrioventricular (tricuspid) valve 三尖瓣
8. Sternum (body) 胸骨體
9. Right ventricle 右心室
10. Interventricular septum 室間隔
11. Left atrium 左心房
12. Rib (costal cartilage) 肋軟骨
13. Left coronary artery (interventricular branch) 左冠狀動脈(室間支)
14. Left ventricle 左心室
15. Coronary sinus 冠狀竇
16. Left coronary artery (circumflex branch) 左冠狀動脈(迴旋支)
17. Phrenic nerve and pericardium 膈神經及心包
18. Myocardium 心肌
19. Rib 肋骨
20. Intercostal muscle 肋間肌
21. Azygos vein 奇靜脈
22. Erector spinae muscle 豎脊肌
23. Trapezius muscle 斜方肌
24. Spinal cord 脊髓
25. Spinous process 棘突
26. Esophagus食管
27. Sympathetic trunk 交感幹
28. Thoracic duct 胸導管
29. Descending aorta 降主動脈
30. Left lung 左肺
31. Paramammary lymph nodes
乳房旁淋巴結
32. Paravertebral lymph nodes
椎旁淋巴結
33. Lateral pericardial lymph nodes
心包外側淋巴結
34. Parasternal lymph nodes
胸骨旁淋巴結
35. Prepericardial lymph nodes
心包前淋巴結
36. Juxtaesophageal lymph nodes
食管旁淋巴結
37. Para-aortal lymph nodes
主動脈旁淋巴結
38. Intercostal lymph nodes
肋間淋巴結
Right Lung 右肺
4. Lateral segment of middle lobe
中葉內側段
5. Medial segment of middle lobe
中葉外側段
7. Medial basal (cardiac) segment of lower lobe
下葉內基底段
8. Anterior basal segment of lower lobe
下葉前基底段
9. Lateral basal segment of lower lobe
下葉外基底段
10 Posterior basal segment of lower lobe
下葉後基底段
Left Lung 左肺
5. Inferior lingular segment
下舌段
7. Medial basal (cardiac) segment of lower lobe
下葉內基底段
8. Anterior basal segment of lower lobe
下葉前基底段
9. Lateral basal segment of lower lobe
下葉外基底段
10. Posterior basal segment of lower lobe
下葉後基底段
第十二層:冠狀竇水平
1. Latissimus dorsi muscle 背闊肌
2. Intercostal muscle 肋間肌
3. Rib 肋骨
4. Right lung 右肺
5. Inferior vena cava 下腔靜脈
6. Internal thoracic artery and vein 胸內動脈、靜脈
7. Right atrium 右心房
8. Xiphoid process 劍突
9. Right coronary artery 右冠狀動脈
10. Right atrioventricular (tricuspid) valve 三尖瓣
11. Coronary sinus 冠狀竇
12. Rib (costal cartilage) 肋軟骨
13. Right ventricle 右心室
14. Circumflex branch of left coronary artery 左冠狀動脈迴旋支
15. Left ventricle 左心室
16. Phrenic nerve and pericardium 膈神經及心包
17. Serratus anterior muscle 前鋸肌
18. Sympathetic trunk 交感幹
19. Thoracic vertebra 胸椎
20. Trapezius muscle 斜方肌
21. Erector spinae muscle 豎脊肌
22. Esophagus 食管
23. Spinal cord 脊髓
24. Azygos vein 奇靜脈
25. Thoracic duct 胸導管
26. Vagus nerve 迷走神經
27. Descending aorta 降主動脈
28. Left lung 左肺
29. Myocardium of the left ventricle 左心室心肌
30. Paravertebral lymph nodes
椎旁淋巴結
31. Parasternal lymph nodes
胸骨旁淋巴結
32. Prepericardial lymph nodes
心包前淋巴結
33. Juxtaesophageal lymph nodes
食管旁淋巴結
34. Para-aortal lymph nodes
主動脈旁淋巴結
35. Intercostal lymph nodes
肋間淋巴結
36. Lateral pericardial lymph nodes
心包外側淋巴結
Right Lung 右肺
4. Lateral segment of middle lobe
中葉內側段
5. Medial segment of middle lobe
中葉外側段
7. Medial basal (cardiac) segment of lower lobe
下葉內基底段
8. Anterior basal segment of lower lobe
下葉前基底段
9. Lateral basal segment of lower lobe
下葉外基底段
10 Posterior basal segment of lower lobe
下葉後基底段
Left Lung 左肺
5. Inferior lingular segment
下舌段
7. Medial basal (cardiac) segment of lower lobe
下葉內基底段
8. Anterior basal segment of lower lobe
下葉前基底段
9. Lateral basal segment of lower lobe
下葉外基底段
10. Posterior basal segment of lower lobe
下葉後基底段
第十三層:心底水平
1. Serratus anterior muscle 前鋸肌
2. Rib 肋骨
3. Intercostal muscle 肋間肌
4. Liver 肝臟
5. Rib (costal cartilage) 肋軟骨
6. Diaphragm 膈肌
7. Inferior vena cava 下腔靜脈
8. Esophagus 食管
9. Rectus abdominis muscle 腹直肌
10. Base of heart 心底
11. Left lung 左肺
12. Latissimus dorsi muscle 背闊肌
13. Right lung 右肺
14. Sympathetic trunk 交感幹
15. Azygos vein 奇靜脈
16. Thoracic duct 胸導管
17. Spinal cord 脊髓
18. Thoracic vertebra 胸椎
19. Costovertebral joint 肋椎關節
20. Erector spinae muscle 豎脊肌
21. Descending aorta 降主動脈
22. Vagus nerve 迷走神經
23. Intercostal lymph nodes
肋間淋巴結
24. Parasternal lymph nodes
胸骨旁淋巴結
25. Paravertebral lymph nodes
椎旁淋巴結
26. Para-aortal lymph nodes
主動脈旁淋巴結
27. Superior phrenic lymph nodes
膈上淋巴結
28. Prepericardial lymph nodes
心包前淋巴結
29. Lateral pericardial lymph nodes
心包外側淋巴結
Right Lung 右肺
5. Medial segment of middle lobe
中葉內側段
8. Anterior basal segment of lower lobe
下葉前基底段
9. Lateral basal segment of lower lobe
下葉外基底段
10. Posterior basal segment of lower lobe
下葉後基底段
Left Lung 左肺
5. Inferior lingular segment
下舌段
7. Medial basal (cardiac) segment of lower lobe
下葉內基底段
8. Anterior basal segment of lower lobe
下葉前基底段
9. Lateral basal segment of lower lobe
下葉外基底段
10. Posterior basal segment of lower lobe
下葉後基底段
第十四層:肝靜脈水平
1. Intercostal muscle 肋間肌
2. Rib 肋骨
3. External oblique muscle 腹外肌
4. Right hepatic vein 肝右靜脈
5. Inferior vena cava 下腔靜脈
6. Left hepatic vein 肝左靜脈
7. Diaphragm 膈肌
8. Vagus nerve 迷走神經
9. Esophagus 食管
10. Liver (left lobe) 肝左葉
11. Rectus abdominis muscle 腹直肌
12. Stomach 胃
13. Left lung 左肺
14. Latissimus dorsi muscle 背闊肌
15. Liver (right lobe) 肝右葉
16. Right lung 右肺
17. Sympathetic trunk 交感幹
18. Erector spinae muscle 豎脊肌
19. Azygos vein 奇靜脈
20. Thoracic duct 胸導管
21. Spinal cord 脊髓
22. Thoracic vertebra 胸椎
23. Descending aorta 降主動脈
24. Posterior vagal trunk 迷走神經後幹
25. Spleen 脾臟
26. Intercostal lymph nodes
肋間淋巴結
27. Paravertebral lymph nodes
椎旁淋巴結
28. Para-aortal lymph nodes
主動脈旁淋巴結
29. Superior phrenic lymph nodes
膈上淋巴結
30. Inferior phrenic lymph nodes
膈下淋巴結
31. Right gastric lymph nodes
胃右淋巴結
32. Left gastroomental lymph nodes
胃網膜左淋巴結
Right Lung 右肺
9. Lateral basal segment of lower lobe
下葉外側基底段
10. Posterior basal segment of lower lobe
下葉後基底段
Left Lung 左肺
5. Inferior lingular segment
下舌段
8. Anterior basal segment of lower lobe
下葉前基底段
9. Lateral basal segment of lower lobe
下葉外側基底段
10. Posterior basal segment of lower lobe
下葉後基底段
心臟
冠脈
冠狀動脈疾病報告與資料制度(CAD-RADS):
美國心血管CT學會(SCCT)、美國放射學會(ACR)和北美心血管影像學會(NASCI),共同釋出了一份新的報告制度,規範行冠狀動脈CT血管造影(CTA)患者的報告。CAD-RADS規定了0(無狹窄)~5(至少一條動脈完全閉塞)的範圍,根據分類進行進一步成像或處理。修飾符S(支架)、G(移植)和V(易損斑塊)用來更好地描述動脈。
CAD-RADS分類取決於狹窄程度。SCCT建議分類系統為狹窄嚴重程度分級(表1)。表2和表3分別列出穩定性胸痛和急性胸痛的CAD-RADS報告制度分類。
點選圖片檢視大圖
點選圖片檢視大圖
點選圖片檢視大圖
冠脈解剖:
後降支posterior descending branches PD
左室後支 posterior branches of leftventricular PL
銳緣支 right marginal branch AM
右圓錐支 right corus artery CA
右室前支 right anterior ventricular branches
右房動脈 right atrial artery
左冠狀動脈
左主幹 left main coronary artery LM 或LCA
前降支 left anterior descending branch LAD
對角支 diagonal branches 或左室前支 left anterior ventricular branches
右室前支 right anterior ventricular branches
前間隔支 anterior septal artery
左圓錐支 left corus artery LCA
左迴旋支 left circumflex branch LCX
鈍緣支 obtuse marginal branch OM
左室前支 left anterior ventricular branches
左室後支 left posterior ventricular branches
左房支 left anticular branches
Maximum intensity projection (MIP)
心肌梗死好發部位為左心室前臂心尖部室間隔前2/3。
心肌梗死的好發部位依次為:
①左冠狀動脈前降支所支配的區域,即左室前壁、心尖部、室間隔前2/3部位。
②右冠狀動脈所支配的區域,即左室後壁、室間隔後1/3及右心室。
③左冠狀動脈迴旋支所支配的區域。即:左室側壁。
Course of LAD
Axial CT slide
Left Coronary Artery System
Right Coronary Artery System
Maximum Intensity Projection (MIP)右圓錐支(CB)
腹部CT
盆腔
下肢CTA
