27歲的陳女士,是一名普通的文員。想起數月前的一次就醫經歷,至今仍心有餘悸。到底發生了什麼呢?
事情還是從陳女士無緣無故出現咳嗽、胸痛說起。
由於事發時廣東正處於梅雨季節,陳女士沒多考慮,以為是天氣原因導致自己咳嗽和胸痛。但是持續了幾個禮拜,仍然不見好轉,於是就前往街道醫院進行就診。
當醫生聽了陳女士的自訴後,就考慮是肺部的疾病,於是就安排陳女士拍了個片子。當拍攝結果拿給醫生看的時候,醫生當時驚呆了,直接告訴陳女士,趕緊去大醫院進行手術吧。
陳女士懵了,為什麼咳嗽胸痛會讓自己去手術呢?
原來,拍片子發現陳女士的左上肺,有一個巨大的佔位。再結合陳女士的症狀,街道醫院的醫生首先就想到了肺癌,於是就安排陳女士轉院去大醫院手術治療。
陳女士不敢耽擱,趕緊驅車前往省城的大醫院。
大醫院的醫生接診陳女士後,聽了陳女士的描述和她所做的檢查,初步考慮和基層醫院的判斷一樣,十分重視地就把陳女士收治入院了。
接著就是準備術前檢查了。
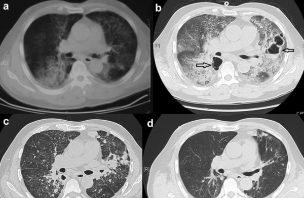
一項一項檢查做完了,血常規、二便常規即血糖血脂凝血等指標一切正常,胸部CT可見左上肺佔位,增強未見明顯強化,縱膈可見多個增大的淋巴結。肺功能一切正常,肝膽胰脾一切正常。
查到這裡的時候,醫生就開始犯糊塗了:肺部有那麼大的佔位,如果是腫瘤,那最起碼都是中晚期了,為什麼其他系統一點點問題都沒有?這有一點不符合肺癌晚期的特徵。
唯一引人注目的就是陳女士的面部及前胸部可見多個大小不一的皮疹,這些皮疹有些已經潰爛結痂。
這個時候,主診大夫有點懷疑自己的判斷了,但是考慮到肺部有巨大佔位首先就是手術治療,於是照樣安排了手術。
就在手術的前一天,主診大夫似乎想到了什麼,就把病歷拿給了大外科主任看一下。大主任在看了病歷之後,提出要到病房看一看陳女士。
當主任到達病房後,詳細詢問了陳女士的情況,隨後即走出了病房,並且對主診大夫說:“幸虧你還沒有開這個手術!”
主診大夫很疑惑,不知道為什麼主任為什麼這樣說。
主任接著說道:“我剛才仔細看了她的情況,除了面部的那些皮疹和一點咳嗽,她有哪一點像是肺癌的病人?肺部那麼大的佔位,如果是肺癌肯定是晚期。她面色紅潤,活動自如,呼吸正常,無咳血,病史很短。我們的重點應該在那些皮疹上。你肺癌的診斷肯定是誤診了。”
接著主任在電腦上搗鼓了一會,然後把電腦給主診大夫,告訴他,你看看是不是這個病!
“馬爾尼菲感染?這個病常常發生在廣東和廣西地區,但是一般主要是艾滋病患者好發呀。這個病人的艾滋病檢測結果是陰性的。”#健康明星計劃#
緊接著主任也沒說話也陷入了沉思。看著閱片燈上面的片子,又告訴主診大夫:“詳細查一查兩廣地區的研究文獻,如果HIV陰性,有沒有馬爾尼菲藍狀菌的感染病例。然後找一下面板科會診一下。”
很快,面板科大夫就到了。他看了陳女士的情況以後,也是很疑惑。他就說到:“馬爾尼菲青黴菌是十分罕見的,又稱馬爾尼菲藍狀菌,主要好發於兩廣(廣東、廣西)地區,是一種系統性的真菌病。按照文獻記載,大多數都是發生在艾滋病患者身上,也有普通人感染馬爾尼菲的報道。也就是說,免疫力低下的人(比如艾滋病患者)容易感染。在自然界,竹鼠是馬爾尼菲藍狀菌的自然宿主。人感染馬爾尼菲藍狀菌後,多表現為多發性肺膿腫,同時可有淋巴結腫大,甚至有表淺淋巴結潰瘍。從這些來看,陳女士很像是感染了馬爾尼菲藍狀菌病。”
主診大夫趕緊跑到病房問陳女士,是不是接觸過竹鼠。結果得到了肯定的回答。
原來陳女士在一次公司團建過程中,去過鄉下的一個竹鼠養殖點,接觸了竹鼠。
看來,謎底終於揭曉了。
原來,而後續的針對性的馬爾尼菲藍狀菌檢查也驗證了陳女士就是感染了罕見的馬爾尼菲青黴菌,繼而導致嚴重的面板化膿性感染及肺部病變。
該病例在初期,主診大夫接診時以咳嗽胸痛及肺部巨大佔位就簡單考慮為肺部腫瘤,並擬進行手術治療,實為誤診。更在於主診大夫忽略了皮疹這個細節。
醫生強調,儘管馬爾尼菲藍狀菌很罕見,但是近些年人們對野生資源的開發,相關病例報道越來越多。想要避免這些罕見病,應當做到不接觸、捕捉、販賣和食用野生動物,更應該積極鍛鍊身體提高免疫力以抵禦外界的病原菌。#健康科普大賽#







 
			 
			 
			 
			 
			 
			 
			 
			 
			 
			 
			 
			 
			 
			 
			