酗酒是一種常見的物質濫用障礙,可導致嚴重的軀體併發症!
酒精幾乎影響了每個器官系統,酗酒者患肝硬化、胃腸道出血、胰腺炎、心肌病、創傷、精神健康障礙(如抑鬱症、痴呆)和多種癌症的風險增加。患者通常對自己的成癮(一種通常被稱為否認的狀態)的洞察力非常差,並且必須意識到酗酒的許多破壞性的短期和長期併發症。
我們總結了8個相應因為酒精引發的病例:
圖1顯示了由於患有肝硬化的酗酒者的肝臟組織部分纖維化引起的瀰漫性蒼白。
肝硬化
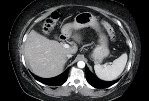
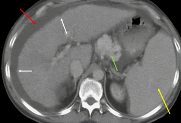
酗酒是美國肝硬化的第二大常見原因,僅次於丙型肝炎。當疤痕組織取代肝臟中的正常健康組織時,肝硬化就會發展。它發生在健康細胞長時間(通常是多年)受損之後,疤痕組織使肝臟結塊和堅硬,一段時間後,器官開始衰竭。疤痕組織使血液難以透過門靜脈進入肝臟。酒精對肝實質的損害導致進行性纖維化,從而產生肝臟結節狀輪廓(見圖2白色箭頭)。隨後對門靜脈血流的阻力增加誘發門靜脈高壓,可能導致脾腫大(見圖2黃色箭頭)、漏出性腹水(見圖2紅色箭頭)和靜脈曲張。圖2中顯示的計算機斷層掃描(CT)影象顯示了非常突出的食管靜脈曲張(見圖2綠色箭頭)。專門的多相造影劑增強 CT 核磁共振 (MR) 方案可用於疑似肝病的患者。
酒精性脂肪肝
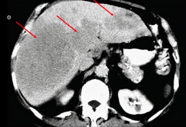
60歲女性前來接受新的患者評估,自述一年前失去丈夫後一直患有抑鬱症,每天喝大約60g酒。最近在急診室就診期間接受了腹部CT掃描(如圖3)。
在回顧CT 掃描時,考慮哪些變化是繼發於酒精,包括酒精性肝脂肪變性、酒精性肝炎、酒精性肝硬化、肝細胞癌。答案是酒精性肝脂肪變性。每天攝入超過60g酒精會導致肝臟的形態變化,出現肝臟的脂肪替代或肝脂肪變性。酒精性脂肪肝被認為是由於脂肪酸和甘油3-磷酸鹽的增加.較新的成像技術,如雙能CT,顯示出量化脂肪變性程度的潛力。肝脂肪變性是可逆的,但如果攝入酒精沒有減少,就會發生酒精性肝炎,隨後是酒精性肝硬化。
食管損傷
50歲男性,長期酗酒史,近期食管造影診斷出已知食管靜脈曲張(紅色箭頭),因嘔血而到急診室就診。他的朋友報告說道,這名男子當天早些時候酗酒,大約1小時前開始嘔吐。患者的初始生命體徵顯示心率為90次/分,血壓為 115/73 mmHg,呼吸頻率正常。當他坐在候診室裡時,他已經用兩個杯子裡裝滿了含有血液的紅色液體。
在開始靜脈液體給藥後,如何進行下一步管理,包括警惕等待、重複食管造影、胸部、腹部和骨盆CT、胃腸道內窺鏡檢查、血管造影的介入放射學諮詢。
答案是胃腸道內窺鏡檢查。患者就診的病史提示食管靜脈曲張出血或馬洛裡-魏斯綜合徵,這兩種病史都可以透過內鏡檢查進行診斷和管理。靜脈曲張繼發於肝硬化,肝硬化會改變脈管系統的壓力和流量梯度。隨著靜脈曲張大小的增加,破裂和出血的風險急劇增加,再出血的機率為70%。其他臨床症狀包括嘔吐物中的血液、頭暈目眩、心率加快、意識喪失及黑色、柏油或血腥的糞便。
肝癌
載玻片中的CT掃描顯示80歲男性出現大多灶性肝細胞癌(見圖6箭頭),約30%的原因是由於過度飲酒所致。在慢性酒精使用10年的患者中,HCC風險增加了5倍。肝細胞癌的總體預後較差,5年生存率不超過 20%。然而,對於不可手術的患者,現在有多種新的治療選擇,包括頸動脈化療栓塞、藥物洗脫栓塞和放射性栓塞。
食道癌
粗略病理影象(見圖7)顯示最右側的非腫瘤性食道,最左側的胃的非腫瘤性腥腩褶皺,以及伴有相關巴雷特化生的食道癌(圓圈)。
酒精使用是美國食道癌的主要原因之一。在每天飲用超過30g乙醇的患者中,與戒酒者相比,鱗狀細胞癌的風險比為4.61。食慾困難伴固體和最終伴有液體是食管癌最常見的主要症狀。內窺鏡檢查允許直接視覺化和組織活檢。吞鋇劑可以顯示佔位性病變的間接跡象,並提供功能資訊。
直接手術切除是治癒性治療的最佳選擇,非手術治療僅用於緩解吞嚥困難。食管癌所有階段的總體5年相對生存率約為20%,晚期癌症的生存率約為5%。
中風
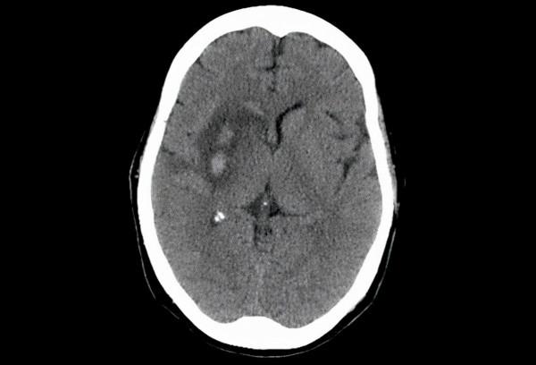
載玻片中的腦部CT掃描(見圖8)顯示右慢樣核中的兩個腦出血區域。中風是美國第五大死因,也是成人殘疾的主要來源。雖然低至中度飲酒與中風風險降低有關,但重度飲酒,無論是慢性還是不規則,都會顯著增加缺血性和出血性中風的風險。除了增加酗酒者頭部外傷的風險外,酒精還具有抗凝血作用。雖然這種效果在較低的飲酒水平下可能是保護性的,但它被認為是在較高消費水平下出血性中風風險增加的部分原因。
