好的食慾,較好的身體狀態對於癌症患者來說是至關重要的,甚至關乎患者的生命。然而,在晚期的患者中,不少患者出現一種稱之為“惡病質”(或稱為“惡液質”)的併發症,這是一種以短期內人體重下降、厭食、營養不良、乏力、衰竭、脂肪和肌肉群進行性消耗和臟器功能損害為特徵的綜合徵。
據臨床資料顯示,約有50%晚期和80%終末期癌症患者發生惡病質,該併發症也是導致癌症病人體質虛弱和高病死率的一個重要因素。
因此,針對惡病質的治療,阻止其繼續發展,是患者實現長期帶瘤生存,延長生命的前提。
由於祖國醫學在改善食慾、調理身體方面具有明顯的優勢,近年來,不少醫家提倡聯合中醫藥治療癌症惡病質。中醫是如何應對該併發症,減輕患者痛苦,改善生存質量,延長生存期的呢?
補益脾腎,祛邪抗癌,應對癌症惡病質!
從病因病機上看,癌症惡病質的發生主要與脾、腎兩髒有著密切的關係。由於各種各樣的原因,導致脾腎虧損,進一步導致五臟虛損,從而引起人體氣血陰陽虧虛,最終發為本病。
祖國醫學認為腎為人體的先天之本,脾為後天之本。意思是說,腎是一個人的生命根本,而脾胃由於與飲食息息相關,是人體營養的重要來源,因此脾是後天的根本。當脾腎出現問題,長期發展往往會累及其餘臟腑,從而導致營養不良,消瘦乏力等表現。
所以,根據不同患者的病情,分別採取益氣、養血、滋陰、溫陽的治法,並且選用方藥同時要考慮結合五臟病位以增強治療的針對性,常可取得較好的效果。
樂啟生中醫團隊結合臨床診治經驗指出,癌症惡病質治療首先要強調補益脾腎在治療中的主導作用,只有脾腎先後天之本不敗,則能促進各髒虛損的恢復。具體辨證上,要以氣血陰陽為綱,分清脾腎氣血陰陽何者虧虛為治療的主攻方向;用藥要注意兩點:一是補血必兼補氣,益氣生血;二是補陰補陽中,注意陰中求陽,陽中求陰。
其次,也要重視原發病的治療,即抗腫瘤中藥的應用。目前對於腫瘤惡病質的治療上,西醫主要採用“最佳支援治療”。而中醫則不同,運用辨證論治,對患者個體化治療,其治療惡病質的同時亦可透過多靶點、多機制治療原發腫瘤,可以達到減輕放化療毒副反應、抑制腫瘤復發轉移、姑息治療等目的。
如此攻補兼施,辨證論治,同時結合西醫支援治療,臨床方可取得良好療效,達到減輕患者痛苦、改善生活質量、延長惡病質患者生存時間的目的。
病例分享
2020年4月來診的崔女士,60歲,於4年前進行左乳腺癌改良根治術,術後曾行6療程的化療,其後一直保持定期複查。
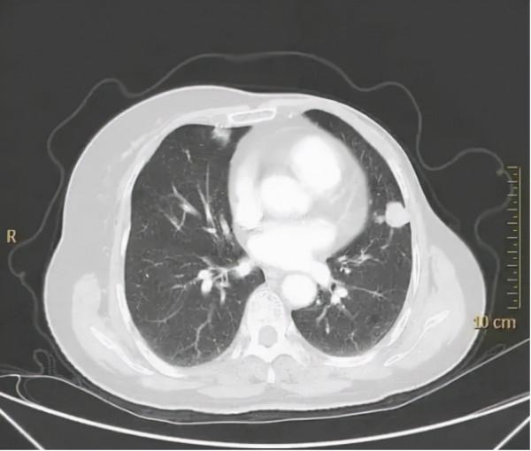
2020年3月崔女士因反覆刺激性乾咳到醫院就醫,複查胸部CT提示:兩肺內見多發類圓形結節影,最大者位於左肺下葉,直徑約1.5cm,考慮兩肺多發轉移癌。
顯然,崔女士病情進展了,而由於此時崔女士體質較差,難以耐受化療,當地醫院僅予以對症支援治療。崔女士於是前來就診,尋求中醫的幫助。
來診時,可見患者咳嗽頑固,咯吐少量白黏痰,口苦咽乾,心情煩躁,疲憊盜汗,極度消瘦,體重減輕,睡眠和食慾差,大便偏幹,小便尚調,舌黯紅,苔薄白微膩。
考慮患者乳腺癌肺轉移,呈現惡病質象。情志不舒,肝氣鬱結,氣鬱化火,煎熬腎陰,故心煩寐差、盜汗、便幹;術後癌毒暗伏,侵襲肺臟,肺氣上逆而咳。木鬱克土,脾虛生痰,運化失司,故極度消瘦,體重減輕。因此,病位在肺、肝,涉及脾、腎,病性屬本虛標實,標實為主,辨證屬肝鬱氣滯,痰熱蘊肺。治療當疏肝理氣、清肺化痰為主。
擬方:炒白芍、玄參、冬凌草、山茱萸、炙鱉甲(先煎)、路路通、貓爪草、王不留行、補骨脂、莪術等。每日1劑,水煎服。
二診:患者自述服藥後咳嗽減輕,飲食增加,口苦咽乾減輕,仍睡眠欠佳。調整中藥組方,囑繼續服藥7劑。
三診:患者口苦咽乾不顯,睡眠稍有改善,調整中藥組方,囑繼續治療。
此後以上方加減治療至今1半年餘,患者情況良好,體重稍有增加,CT複查病情穩定。
總的來說,惡病質是嚴重影響患者生活質量及是否耐受放化療等抗癌治療的主要因素,可發生於任何腫瘤及腫瘤的任何時期,腫瘤患者最好在未發病時給予治療,比如當食慾差,營養不良時予以重視,及時調理改善食慾和營養吸收情況。此外,一旦發生惡病質,應及時治療,延緩該併發症的進展。
本病例來源於患者分享,僅供參考,治療需因病而異,因人而異,如想了解更多抗癌詳情的朋友可點選我頭像進行私信。
