前言
前言:頭皮和顱骨的病變在日常工作中經常能夠遇到,但在許多情況下,它們經常會被忽視,並且在被發現時,由於其非特異性和對病變的不熟悉,會產生巨大的診斷難題。放射科醫生應該對頭皮和顱骨的病變掌握,包括:解剖變異、先天性、創傷性、炎症、腫瘤和其他病變
頭皮和顱骨的正常解剖
頭皮由五層組成:面板;緻密結締組織;帽狀腱膜腱膜;疏鬆結締組織;骨膜
紅線:面板; 淡紅:皮下組織; 藍線:帽狀腱膜+骨膜
正常的顱縫:冠狀縫、矢狀縫、人字縫
變異
變異:某些解剖變異可能會被誤認為是病變,比如:擴大的頂骨孔和其他類似顱骨孔、縫間骨、蛛網膜囊腫顆粒;乳突導靜脈;顱骨瀰漫性增厚;顱骨過度氣化
A:雙側頂骨孔;B:單側頂骨孔;C:單側枕骨孔;D:擴大的盲孔;E-F:縫間骨;蛛網膜顆粒壓跡
縫間骨
A-C:乳突導靜脈:透過乳突導靜脈將硬腦膜的靜脈竇與顱骨外部的靜脈連線起來;D:顱骨瀰漫性增厚;E:額竇過度氣化;F-G:枕骨過度氣化;H:顳骨過度氣化
顱縫過早閉合
A:矢狀縫過早閉合,前後生長繼續,形成一個狹長的顱腦;B-C:人字縫過早閉合,顱腦呈三角形
D-F:冠狀縫過早閉合,注意雙測頂骨繼續增長;E-F:矢狀縫、冠狀縫和人字縫過早閉合,典型的塔狀顱腦
小頭畸形
A-B:先天性寨卡病毒感染的新生兒顱腦尺寸縮小
軟骨發育不全
軟骨發育不全:矢狀位 T1WI 顯示相對較大的顱頂和較小的顱底;前額鼻樑凹陷,枕骨大孔狹窄(黃色箭頭)
腦膜膨出/腦膜腦膨出
腦膜膨出/腦膜腦膨出:特徵是大腦和/或腦膜組織透過顱骨和硬腦膜的先天性缺陷突出,通常位於中線或中線附近,並伴有可觸及的腫塊,在枕部位置更常見(75% 的病例),CT 有助於評估骨缺損的大小和邊界,MRI 是評估腦膨出內內容物的最佳成像方式
多種腦膜/腦膜腦膨出
頂突閉鎖
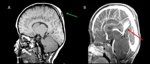
頂突閉鎖:它們是由腦膜和殘留纖維組織等組成的良性畸形病變,通常位於中線,被面板覆蓋。MRI 是能夠很好的觀察內容物,靜脈血管造影 MRI 可能顯示偶然的原始鐮狀靜脈持續存在,以及靜脈竇的其他異常
矢狀位 T1WI 和矢狀位 T1WI MIP 增強顯示頂部皮下結節(綠箭頭),增強與上矢狀竇相通,與永存鐮狀竇共存(紅箭頭)
枕骨孔樣缺損,增強與竇匯溝通
頂部皮下腦脊液訊號,與永存鐮狀竇共存
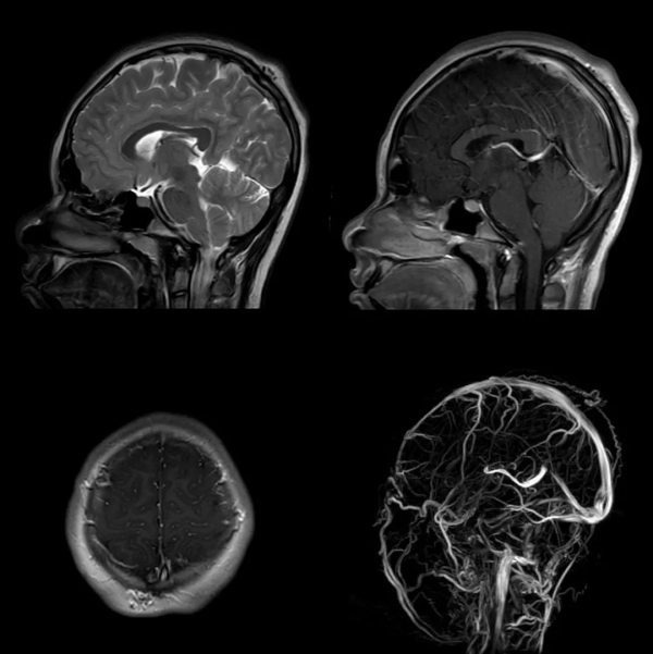
顱骨膜血竇
顱骨膜血竇:由顱內和顱外靜脈引流之間透過異常交通組成。對比增強可以顯示由蛇行血管組成的強化顱外腫塊,是評估異常靜脈解剖的最合適手段
注意透過(黃色箭頭)顱內和顱外靜脈引流之間的異常溝通
頂部皮下顱骨膜血竇,可見流空血管,溝通顱內外動脈
血管瘤
血管瘤:T2WI 血管瘤表現為高訊號,可能存在內部網狀低訊號分隔,增強後明顯強化
神經纖維瘤病
1 型神經纖維瘤病患者,枕部皮下叢狀分佈的腫瘤,T2WI 高訊號,明顯強化
先天性皮膚髮育不全
先天性皮膚髮育不全:一種罕見的疾病,特徵是面板區域性缺失。頭皮缺損與下面的骨和硬腦膜缺損有關,並伴有大腦和矢狀竇的暴露
注意左頂不區域區域性缺少顱骨和面板(紅色箭頭)
顱骨發育不全
顱鎖骨發育不全:一種以持續性囟門和鎖骨發育不全/發育不全為特徵的骨骼發育不良,具有廣泛的表型變異性
顱骨創傷
皮下氣腫+線性骨折+乒乓球樣骨折
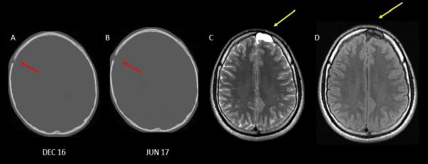
生長性骨折
生長性骨折:又稱軟腦膜囊腫,是顱骨骨折的晚期創傷後併發症,其表現為腦脊液或腦實質突出到皮下組織,隨後骨折擴大。在隨後的研究中,CT 顯示為擴大的骨折,MRI 可以識別骨缺損及其內容物
軸位骨窗 CT 顯示額骨右側骨折,在 6 個月後骨折間隔增寬。另一名患者在軸位 T2WI 和 FLAIR 上顯示骨質缺損,額骨上充滿囊性病變(黃色箭頭)
蔓狀動脈瘤
是一種罕見的頭皮動靜脈瘻,它們可能是先天性的,也可能是創傷後的。在大多數情況下,顳淺動脈是瘻的主要供血來源,血管造影是首選的檢查方法
注意到繼發於頸外動脈分支動靜脈瘻的頭皮淺靜脈明顯擴張
小結
顱骨和頭皮是解剖變異和多種疾病的部位,影象模式有時重疊,因此,放射科醫生對這些疾病的掌握對於更準確的診斷非常重要。
來源:影像時間
【版權宣告】本平臺屬公益學習平臺,轉載系出於傳遞更多學習資訊之目的,且已標明作者和出處,如不希望被傳播的老師可與我們聯絡刪除
