“孩子7歲了,門牙掉了兩顆,出了一顆,又出了一個這‘’怪牙,醫生,你給看看吧?”
家長進了診室,急匆匆地講著。
我看了看孩子口內的情況,右上門牙萌出,左上一顆畸形牙,初步診斷為“多生牙”。
我說:“給孩子拍一張曲面斷層片,更準確地確定多生牙的數目和方向,以及恆牙的位置。”
家長一聽,有點不樂意:“當醫生,這都看不出來?走,再換個地方看看。”
說罷拉著孩子離開了。
一、一個真實的病例提醒家長:
我做牙醫27年,這是見過的最觸目驚心,錐心之痛的一個小患者,
9歲女孩,面目清秀,
卻因為右下頜骨巨大囊腫,不得不面臨手術的風險。
一張曲面斷層片,本可以早期發現問題,
卻被別人告知,等,等,等,
等來的卻是,快被囊腫侵蝕完的下頜骨。
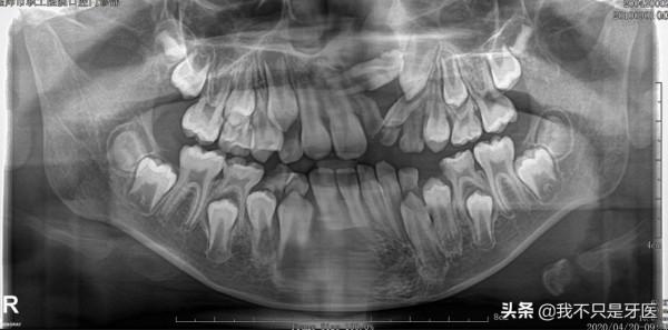
二、曲面斷層片的意義:
觀察乳恆牙發育的整體狀況,瞭解牙齒數目,牙尖關係和牙齒替換狀況,同時把握乳牙根吸收程度,恆牙萌出方向及下頜骨情況,還可以用於記錄口腔頜面生長髮育狀況。
三、片子可以發現以下的問題:
1、多生牙,
2、先天缺牙,
3、牙齒形態是否異常,
4,、乳牙滯留、牙齒和牙槽骨是否粘連,
5,第一恆磨牙是否異位,
6、還有早期發現一些根尖囊腫,含牙囊腫等
四、牙齒替換的時間和順序:左右兩側同名牙替換時間相差不多,如果超過半年以上,就要拍片確診。
中切牙 (前門牙) 6 - 7歲
側切牙 8 - 9歲
第一前磨牙 10歲左右
尖牙 11歲左右
第二前磨牙 12歲左右
第一磨牙 6歲左右
第二磨牙 13—14歲 。
善意提醒:曲面斷層片 是早期發現問題的第一個屏障。
醫生不是為了掙這個錢!
