腦內部的腔隙稱為腦室,在大腦兩個半球內有側腦室,間腦內有第3腦室;小腦和延髓及腦橋之間有第4腦室,各腦室之間有小孔和管道相通。腦室中的脈絡叢產生腦脊液。腦脊液在各腦室與蛛網膜下腔之間迴圈,如腦室的通道發生阻塞,則腦室中的腦脊液越來越多,並擴大形成腦積水。
“第五腦室”屬於腦室系統嗎?
關於第五腦室(the fifth ventricle)的概念,從國內能夠查到的中文醫學資料包括醫學教科書、著作、文獻及網路文字中,其定義基本是一致的,即第五腦室也稱透明隔間腔。國內幾乎所有醫務工作者一直篤信此定義。然而,在國外的文獻報道中,“第五腦室通常被定義為位於脊髓圓錐並由室管膜組織包繞的囊腔,而不是透明隔間腔,因為透明隔間腔的組織結構與腦室不同”。
透明隔是兩側側腦室中間的間隔,在胎兒四個月時原始透明隔內形成一箇中縫,然後發展為分離的兩個小葉,兩小葉之間的間隙為透明隔間腔即CSP。腔的前上方為胼胝體,後下方為穹隆,側壁即透明隔小葉。正常情況下,此腔將逐漸融合而消失。如到一定年齡尚未融合且由腦脊液填充,即形成CSP,它在透明隔發育畸形時更加膨大。CSP不屬於腦室系統,因為它沒有後者所具有的室管膜。但是經常與側腦室或三腦室相通因為在氣腦造影時可積滿氣體,那些不與腦室系統相通者.腔內的腦脊液透過透明隔膜過濾和隔膜靜脈及毛細血管重吸收。
什麼是“第五腦室”
第五腦室,也稱終室(ventriculus terminalis, VT),是位於脊髓圓錐內、由正常室管膜組織包繞且內含腦脊液的囊性腔室。該腔室結構由Stilling在1859年首次描述為與蛛網膜下腔相通且擴張的脊髓中央管,但Krause不認同Stilling提出的該腔室與蛛網膜下腔相通的觀點,並於1875年在觀察到這個囊腔的壁是由正常室管膜細胞構成後提出了"第五腦室"這一概念。
透明隔間腔為什麼不是“第五腦室”
透明隔間腔是在顱內兩層透明隔之間形成的腔隙,它的上界為胼胝體體部,前下方為胼胝體膝部及嘴部和前聯合,底部和後方為穹窿。透明隔間腔被認為是人腦發育過程中的正常結構,通常在出生後的幾個月內閉合,但該結構亦存在於少數成人中。但是,將透明隔間腔稱為"第五腦室"是不正確的,因為它的內壁未襯有室管膜細胞,其內含有的液體也通常與腦室系統不同,因此透明隔間腔不具備腦室的組織結構特徵。
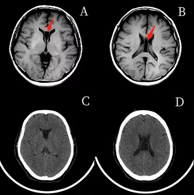
透明隔腔(CSP)的前上方為胼胝體,後下方為穹隆。側壁即透明隔小葉。透明隔腔≤3mm,描述可見透明隔腔。
1.胼胝體膝部;2.透明隔腔;3.穹隆柱;4.穹隆體;5.穹隆腳;6. Vergae腔;7.胼胝體壓部
透明隔腔增寬是透明隔腔≥3mm,直徑<10mm,描述可見透明隔腔增寬,透明隔的兩壁呈前後平行排列,邊界清晰,或內凹,對周圍組織無壓迫,為正常生理變異,臨床無症狀。透明隔腔≥10mm,描述可見透明隔腔明顯增寬。
兩壁呈前後內凹
兩壁呈前後平行
在兒童時期,無臨床症狀的第五腦室被認為是一種正常的發育現象,無需進行干預,但是也有部分具有第五腦室的兒童,合併一些先天畸形,例如脊髓栓系綜合徵、脊髓脊膜膨出、腰骶部脂肪瘤等。成人的第五腦室可以沒有任何臨床症狀,但當脊髓圓錐受到第五腦室壓迫時,可產生括約肌功能障礙,運動和感覺功能異常,坐骨神經痛等症狀。
第五腦室屬於良性改變,預後比較好,囊腔可在隨訪的數年中沒有明顯變化,術後病灶殘留也可以長期保持穩定狀態,第五腦室的體積與臨床症狀程度並沒有正比關係,但第五腦室大小與術後的療效有關,直徑越大的囊腔療效越差。
診斷與鑑別診斷
超聲是診斷胎兒或新生兒第五腦室的一種常用檢查方法。第五腦室在超聲矢狀切面圖上顯示為脊髓圓錐區域囊狀擴張的低迴聲區並可與中央管相通,在超聲橫斷切面圖上表現為擴張的低迴聲囊腔且與周圍脊髓組織有著較為清楚的分界。
來自雜誌圖片
MR檢查為診斷第五腦室的主要手段。第五腦室在MRI上通常表現為脊髓圓錐內邊緣清楚的卵圓形囊腔,形態規則,囊壁光整,且與周圍正常的脊髓組織分界清楚,囊內為T1WI低、T2WI高的腦脊液訊號,囊內分隔及囊周水腫性改變比較少見,增強掃描後囊壁不強化。第五腦室需要與位於脊髓圓錐的囊性腫瘤如室管膜瘤、星形細胞瘤以及膿腫相鑑別,囊性腫瘤和膿腫的囊壁通常有不同程度的強化。脊髓圓錐的轉移瘤很少見,MRI表現通常為腫瘤強化且周圍伴有明顯水腫。脊髓背側的嚴重損傷也可發展為囊性病灶,但目前報道的大多數第五腦室病例並無外傷病史。脊髓內的表皮樣囊腫和皮樣囊腫由於成分複雜導致MRI表現多變,而第五腦室的MRI表現單一。
參考文獻:
內容主要來自王梅雲,白巖,史大鵬,重新正確認識第五腦室的概念及其影像表現. 中華放射學雜誌.2016.
大連大學附屬新華醫院 唐偉,徐紹武,透明隔腔、透明隔腔增寬、透明隔囊腫、五腦室、六腦室如何區別.醫學界神經病學頻道.
【版權宣告】本平臺屬公益學習平臺,轉載系出於傳遞更多學習資訊之目的,且已標明作者和出處,如不希望被傳播的老師可與我們聯絡刪除







