sponsored links

頭頸五官CT斷層解剖圖及常見病影像診斷

頭頸五官CT斷層解剖圖

1眼眶(前面觀)

頭頸五官CT斷層解剖圖及常見病影像診斷

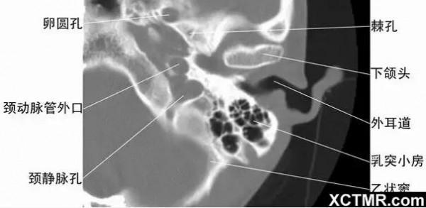
2耳部橫斷面-CT - 解剖圖片

頭頸五官CT斷層解剖圖及常見病影像診斷

頭頸五官CT斷層解剖圖及常見病影像診斷

頭頸五官CT斷層解剖圖及常見病影像診斷

頭頸五官CT斷層解剖圖及常見病影像診斷

頭頸五官CT斷層解剖圖及常見病影像診斷

頭頸五官CT斷層解剖圖及常見病影像診斷

3眼眶(前面觀) - 解剖圖片

頭頸五官CT斷層解剖圖及常見病影像診斷

4眼球和眼的附屬結構(外面觀) - 解剖圖片

頭頸五官CT斷層解剖圖及常見病影像診斷

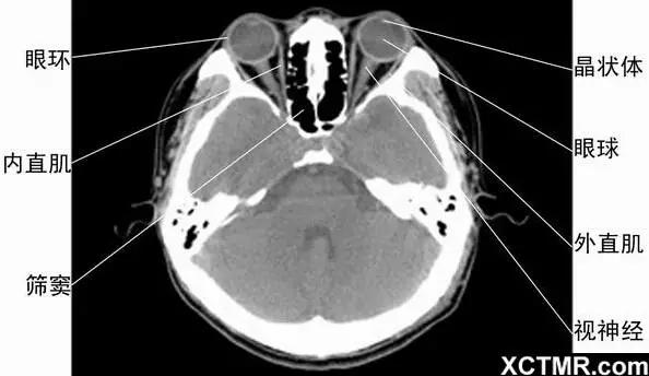
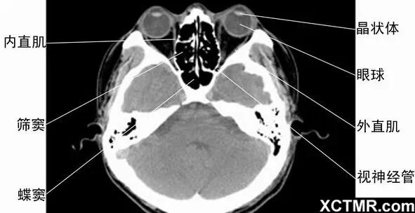
5眼眶橫斷面-CT - 解剖圖片

頭頸五官CT斷層解剖圖及常見病影像診斷

頭頸五官CT斷層解剖圖及常見病影像診斷

頭頸五官CT斷層解剖圖及常見病影像診斷

頭頸五官CT斷層解剖圖及常見病影像診斷

頭頸五官CT斷層解剖圖及常見病影像診斷

頭頸五官CT斷層解剖圖及常見病影像診斷

6鼻腔、口腔、咽和喉的正中矢狀面 - 解剖圖片

頭頸五官CT斷層解剖圖及常見病影像診斷

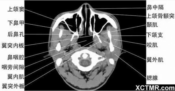
7CT軸位鼻腔和鼻竇層面(蝶竇水平) - 解剖圖片

頭頸五官CT斷層解剖圖及常見病影像診斷

8CT軸位鼻腔和鼻竇層面(中鼻甲水平) - 解剖圖片

頭頸五官CT斷層解剖圖及常見病影像診斷

頭頸五官CT斷層解剖圖及常見病影像診斷

頭頸五官CT斷層解剖圖及常見病影像診斷

鼻和鼻竇解剖及常見病影像診斷

頭頸五官CT斷層解剖圖及常見病影像診斷

頭頸五官CT斷層解剖圖及常見病影像診斷

頭頸五官CT斷層解剖圖及常見病影像診斷

頭頸五官CT斷層解剖圖及常見病影像診斷

頭頸五官CT斷層解剖圖及常見病影像診斷

頭頸五官CT斷層解剖圖及常見病影像診斷

頭頸五官CT斷層解剖圖及常見病影像診斷

頭頸五官CT斷層解剖圖及常見病影像診斷

頭頸五官CT斷層解剖圖及常見病影像診斷

頭頸五官CT斷層解剖圖及常見病影像診斷

頭頸五官CT斷層解剖圖及常見病影像診斷

頭頸五官CT斷層解剖圖及常見病影像診斷

頭頸五官CT斷層解剖圖及常見病影像診斷

頭頸五官CT斷層解剖圖及常見病影像診斷

頭頸五官CT斷層解剖圖及常見病影像診斷

頭頸五官CT斷層解剖圖及常見病影像診斷

頭頸五官CT斷層解剖圖及常見病影像診斷

頭頸五官CT斷層解剖圖及常見病影像診斷

頭頸五官CT斷層解剖圖及常見病影像診斷

頭頸五官CT斷層解剖圖及常見病影像診斷

頭頸五官CT斷層解剖圖及常見病影像診斷

頭頸五官CT斷層解剖圖及常見病影像診斷

頭頸五官CT斷層解剖圖及常見病影像診斷

頭頸五官CT斷層解剖圖及常見病影像診斷

頭頸五官CT斷層解剖圖及常見病影像診斷

頭頸五官CT斷層解剖圖及常見病影像診斷

頭頸五官CT斷層解剖圖及常見病影像診斷

頭頸五官CT斷層解剖圖及常見病影像診斷

頭頸五官CT斷層解剖圖及常見病影像診斷

頭頸五官CT斷層解剖圖及常見病影像診斷

頭頸五官CT斷層解剖圖及常見病影像診斷

頭頸五官CT斷層解剖圖及常見病影像診斷

頭頸五官CT斷層解剖圖及常見病影像診斷

頭頸五官CT斷層解剖圖及常見病影像診斷

頭頸五官CT斷層解剖圖及常見病影像診斷

頭頸五官CT斷層解剖圖及常見病影像診斷

頭頸五官CT斷層解剖圖及常見病影像診斷

頭頸五官CT斷層解剖圖及常見病影像診斷

頭頸五官CT斷層解剖圖及常見病影像診斷

頭頸五官CT斷層解剖圖及常見病影像診斷

頭頸五官CT斷層解剖圖及常見病影像診斷

頭頸五官CT斷層解剖圖及常見病影像診斷

頭頸五官CT斷層解剖圖及常見病影像診斷

頭頸五官CT斷層解剖圖及常見病影像診斷

頭頸五官CT斷層解剖圖及常見病影像診斷

頭頸五官CT斷層解剖圖及常見病影像診斷

頭頸五官CT斷層解剖圖及常見病影像診斷

頭頸五官CT斷層解剖圖及常見病影像診斷

頭頸五官CT斷層解剖圖及常見病影像診斷

頭頸五官CT斷層解剖圖及常見病影像診斷

頭頸五官CT斷層解剖圖及常見病影像診斷

頭頸五官CT斷層解剖圖及常見病影像診斷

頭頸五官CT斷層解剖圖及常見病影像診斷

頭頸五官CT斷層解剖圖及常見病影像診斷

頭頸五官CT斷層解剖圖及常見病影像診斷

頭頸五官CT斷層解剖圖及常見病影像診斷

頭頸五官CT斷層解剖圖及常見病影像診斷

頭頸五官CT斷層解剖圖及常見病影像診斷

頭頸五官CT斷層解剖圖及常見病影像診斷

頭頸五官CT斷層解剖圖及常見病影像診斷

頭頸五官CT斷層解剖圖及常見病影像診斷

頭頸五官CT斷層解剖圖及常見病影像診斷

頭頸五官CT斷層解剖圖及常見病影像診斷

頭頸五官CT斷層解剖圖及常見病影像診斷

頭頸五官CT斷層解剖圖及常見病影像診斷

頭頸五官CT斷層解剖圖及常見病影像診斷

頭頸五官CT斷層解剖圖及常見病影像診斷

頭頸五官CT斷層解剖圖及常見病影像診斷

頭頸五官CT斷層解剖圖及常見病影像診斷

頭頸五官CT斷層解剖圖及常見病影像診斷

頭頸五官CT斷層解剖圖及常見病影像診斷

頭頸五官CT斷層解剖圖及常見病影像診斷

頭頸五官CT斷層解剖圖及常見病影像診斷

頭頸五官CT斷層解剖圖及常見病影像診斷

頭頸五官CT斷層解剖圖及常見病影像診斷

頭頸五官CT斷層解剖圖及常見病影像診斷

頭頸五官CT斷層解剖圖及常見病影像診斷

頭頸五官CT斷層解剖圖及常見病影像診斷

頭頸五官CT斷層解剖圖及常見病影像診斷

頭頸五官CT斷層解剖圖及常見病影像診斷

頭頸五官CT斷層解剖圖及常見病影像診斷

頭頸五官CT斷層解剖圖及常見病影像診斷

頭頸五官CT斷層解剖圖及常見病影像診斷

頭頸五官CT斷層解剖圖及常見病影像診斷

頭頸五官CT斷層解剖圖及常見病影像診斷

頭頸五官CT斷層解剖圖及常見病影像診斷

頭頸五官CT斷層解剖圖及常見病影像診斷

頭頸五官CT斷層解剖圖及常見病影像診斷

頭頸五官CT斷層解剖圖及常見病影像診斷

頭頸五官CT斷層解剖圖及常見病影像診斷

頭頸五官CT斷層解剖圖及常見病影像診斷

頭頸五官CT斷層解剖圖及常見病影像診斷

頭頸五官CT斷層解剖圖及常見病影像診斷

頭頸五官CT斷層解剖圖及常見病影像診斷

高畫質鼻咽部CT解剖

頭頸五官CT斷層解剖圖及常見病影像診斷

頭頸五官CT斷層解剖圖及常見病影像診斷

頭頸五官CT斷層解剖圖及常見病影像診斷

頭頸五官CT斷層解剖圖及常見病影像診斷

頭頸五官CT斷層解剖圖及常見病影像診斷

頭頸五官CT斷層解剖圖及常見病影像診斷

頭頸五官CT斷層解剖圖及常見病影像診斷

頭頸五官CT斷層解剖圖及常見病影像診斷

頭頸五官CT斷層解剖圖及常見病影像診斷

頭頸五官CT斷層解剖圖及常見病影像診斷

頭頸五官CT斷層解剖圖及常見病影像診斷

頭頸五官CT斷層解剖圖及常見病影像診斷

頭頸五官CT斷層解剖圖及常見病影像診斷

頭頸五官CT斷層解剖圖及常見病影像診斷

頭頸五官CT斷層解剖圖及常見病影像診斷

頭頸五官CT斷層解剖圖及常見病影像診斷

頭頸五官CT斷層解剖圖及常見病影像診斷

頭頸五官CT斷層解剖圖及常見病影像診斷

頭頸五官CT斷層解剖圖及常見病影像診斷

頭頸五官CT斷層解剖圖及常見病影像診斷

頭頸五官CT斷層解剖圖及常見病影像診斷

頭頸五官CT斷層解剖圖及常見病影像診斷

頭頸五官CT斷層解剖圖及常見病影像診斷

頭頸五官CT斷層解剖圖及常見病影像診斷

頭頸五官CT斷層解剖圖及常見病影像診斷

頭頸五官CT斷層解剖圖及常見病影像診斷

頭頸五官CT斷層解剖圖及常見病影像診斷

頭頸五官CT斷層解剖圖及常見病影像診斷

分類: 財經
時間: 2022-01-29

相關文章

「每週經濟觀察」以中長期合同全覆蓋化解煤電博弈
煤炭價格屢創新高,讓煤炭企業迎來了"煤飛色舞"的日子.據國家統計局資料,今年上半年,我國規模以上煤炭企業利潤總額2068.8億元,同比增長高達113.8%. 煤企樂開了花,火電企業 ...

煤穩了?誰解“燃煤之急”?記者實地探訪山西煤礦,50多萬煤炭人棄假加班

煤穩了?誰解“燃煤之急”?記者實地探訪山西煤礦,50多萬煤炭人棄假加班
本文來源:時代週報 作者:黃坤 9月下旬以來,部分省份出現供電緊張局面.多地限電的背後,是全國煤炭緊缺.煤價高企. 煤炭網最新資料顯示,截至9月底,秦皇島港口5550大卡的混煤價格創下了1700元/噸 ...

新冠疫情已造成全球旅行自由最大差距;勞斯萊斯首款純電動車2年後交付 | 美通社頭條

新冠疫情已造成全球旅行自由最大差距;勞斯萊斯首款純電動車2年後交付 | 美通社頭條
要聞摘要:新冠疫情已造成全球旅行自由最大差距.勞斯萊斯首款純電動車釋出.馬石油將首次向中國交付碳中和LNG.威馬汽車預計將獲超3億美元D1輪融資,電訊盈科.信德集團領投.可口可樂釋出全新品牌理念.麥當 ...

重磅打新變化!新股發行定價新規出爐,高價剔除比例不超過3%!董監高近期出手增持這些股

重磅打新變化!新股發行定價新規出爐,高價剔除比例不超過3%!董監高近期出手增持這些股
最新董監高增持股名單出爐. 新股發行定價新規出爐 昨日晚間,深交所釋出關於釋出<深圳證券交易所創業板首次公開發行證券發行與承銷業務實施細則(2021年修訂)>的通知,細則釋出後刊登招股意向 ...

安徽汽車職教集團在2020年全省職教集團工作評議中被認定為A等

安徽汽車職教集團在2020年全省職教集團工作評議中被認定為A等
近日,安徽教育網公佈職業教育集團2020年備案結果,省教育廳對各職教集團2020年度執行情況進行綜合評價,全省共有10個職教集團為A等級,安徽汽車職教集團榜上有名,已連續三年被評為A等級. 2020年 ...

劍指“抱團報價”等問題 新股發行定價規則最佳化
證監會9月18日訊息,針對實踐中出現的部分網下投資者重策略輕研究,為博入圍"抱團報價",干擾發行秩序等新情況新問題,證監會在加強發行承銷監管的同時,對<創業板首次公開發行證券 ...

電力全面緊張,未來如何解決?| 電力大戰①
文 | 湯雨 趙榮美 王進 據不完全統計,目前已有20多個省市.自治區出臺了停.限電措施.包括長期以來電力供過於求的東北三省,都已開始限制工商業甚至居民用電,全國電力形勢面臨空前挑戰. 隨著北方地區供 ...

中國稅務報:房企無償移交配建房 涉稅爭議如何解決?
房企無償移交配建房 涉稅爭議如何解? 2021年08月31日 中國稅務報 版次:07 作者:唐豔輝 陸國慶 配建產權移交房是為"穩地價.穩房價.穩預期"實施的政策,無償移交配建產權 ...

加強蘇浙皖抽水蓄能聯動開發,實現長三角能源互濟互保、互聯互通

加強蘇浙皖抽水蓄能聯動開發,實現長三角能源互濟互保、互聯互通
1.發展現狀 華東區域位於我國東部沿海,包括上海市.江蘇省.浙江省.安徽省.福建省等四省一市,2020年底常住人口2.26億人,約佔全國總人口的19.1%,是我國人口稠密地區之一.華東區域海岸線長達6 ...

煤價“高燒”當休矣
來源:經濟日報 煤炭價格的持續衝高,讓一度沉寂的"煤超瘋"再度來襲.9月9日,國內煤炭期貨價格創下歷史新高.其中,動力煤主力合約價格首次突破每噸千元大關,焦煤.焦炭也不甘落後,主力 ...

國共大決戰,缺彈藥的居然是國軍,背後的深層次原因,值得深思

國共大決戰,缺彈藥的居然是國軍,背後的深層次原因,值得深思
很多人在探討軍事問題時,側重於武器裝備對比.但實際上彈藥供給更為重要.沒有炮彈,大炮就是一堆廢鐵.沒有子彈,槍械只能當燒火棍用. 全面抗戰期間,國共雙方的彈藥供給均相當緊張.日本宣佈投降後,在彈藥方面 ...

中秋假期大事件,資訊量太大

中秋假期大事件,資訊量太大
中秋節假期影響市場的重要財經資訊有:北交所投資者資金門檻50萬元,即日起啟動預約開戶: 證監會擴大紅籌企業在境內上市試點範圍: 江蘇"能耗雙控"動真格 泰州多企業限產關停 上交所修 ...

為國點贊,高煤價下,先保供熱

為國點贊,高煤價下,先保供熱
年初以來,煤價暴漲,環渤海5500大卡動力煤一度突破1500元/噸,較去年同期上漲180%!創歷史新高.進而導致燃煤發電企業出現全行業虧損的情況,電企叫苦不迭 紛紛呼籲漲電價,降煤價.各地也出臺了一定 ...

天然氣價格為何淡季不淡
來源:經濟日報 近一段時間,國際國內天然氣市場淡季不淡,價格持續上漲.原因主要有三個. 一是天氣因素推動.今年6月中旬,北半球出現持續較長時間的高溫天氣,刺激了空呼叫電需求,電力需求同時又推動天然氣需 ...

重磅!國務院突施六大猛招,糾正“一刀切”停產限產!電價浮動調升至20%,這種情形徹底放開,什麼訊號?
能源供應涉及民生和產業鏈安全,始終是要解決的! 據中國政府網訊息,國務院總理李克強10月8日主持召開國務院常務會議,進一步部署做好今冬明春電力和煤炭等供應,保障群眾基本生活和經濟平穩執行.此次會議罕見 ...

給火電廠算一筆賬「工資成本明明最低卻開始大幅降了......」

給火電廠算一筆賬「工資成本明明最低卻開始大幅降了......」
寫這篇文章之前,我簡單算了一筆賬來試圖探底電廠的生產成本. 假設電廠採購的電煤折算成標煤價格1000元/噸,按照當前主流35萬超臨界機組來計算,好一點的供電煤耗能有300g/千瓦時,兩者相乘算下來發出 ...

前8月鐵路投資完成4200億元 下降7%
本報記者 孫麗朝 北京報道 2021年前8月鐵路固定資產投資累計完成4211.42億元,同比下降7.23%,其中8月完成583.12億元,同比減少4.34%,這也是自2016年以來,6年來歷史同期投資 ...

每經22點|上交所修訂科創板股票發行與承銷業務規則;國稅總局通知加強文娛領域從業人員稅收管理;青海柴達爾煤礦事故致20人死亡
每經編輯:袁東 1丨上交所修訂科創板股票發行與承銷業務規則 每經AI快訊,為進一步最佳化科創板新股發行承銷制度,促進買賣雙方博弈更加均衡,經中國證監會批准,上交所於今日釋出新修訂的<上海證券交易 ...

揭秘澳門賭場的“搖錢樹”:疊碼仔是賭場最大的“財神爺”

揭秘澳門賭場的“搖錢樹”:疊碼仔是賭場最大的“財神爺”
2006年,澳門迴歸七週年之際,澳門賭場業績一舉擊敗全球對手,澳門取代美國拉斯維加斯,成為世界第一大賭城. 據統計,博彩業為澳門創造了一半的GDP.雖是彈丸之地,但澳門的土地上臥虎藏龍,廣為人知的便是 ...

煤電中長協全覆蓋帶來的穩價預期

煤電中長協全覆蓋帶來的穩價預期
近日,國家發改委發通知要求,發電供熱企業和煤炭企業在今年已簽訂中長期合同的基礎上,再簽訂一批中長期合同,將發電供熱企業中長期合同佔年度用煤量的比重提高到100%. 當前我國處於傳統的煤炭消費淡季,煤價 ...