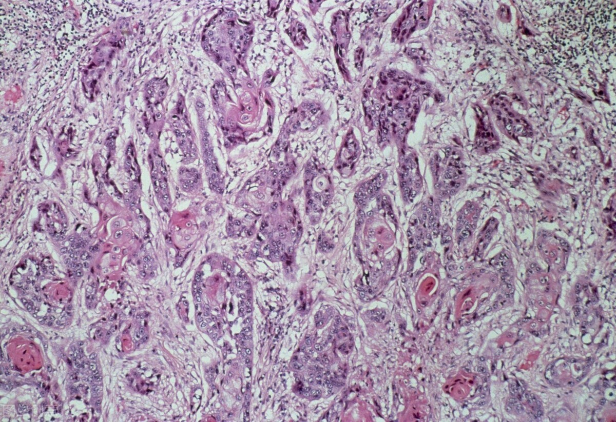
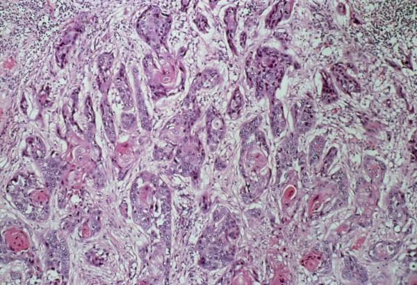
呂先生今年42歲,在2021年秋天開始咳嗽,當時並沒有在意,直到兩個月前,突然覺得胸痛,甚至出現咯血的現象。到醫院活檢的結果是肺鱗癌。
肺鱗癌無法完全治癒,只能儘量延長病人生存期。在全世界的全部惡性腫瘤死亡病例中,肺癌佔19%,居惡性腫瘤死因的首位。肺癌分為小細胞肺癌和非小細胞肺癌,非小細胞肺癌(其中就包括了肺鱗癌、肺腺癌等)手術治療,術後化療或化放療5年生存率為27%,中位生存時間24個月,其中一期、二期病人,5年生存率為38%。
肺鱗癌的位置多數為中央型,通常會容易壓迫到氣管及大血管,故會出現胸悶、氣喘等症狀,若腫塊生長的速度較快,很容易引起血管破裂、出現刺激性乾咳、咯血或痰中帶血的情況,也會有少數患者出現背部疼痛,出現這些症狀時,應儘快去醫院檢查。
肺鱗癌早期的症狀有哪些?
1.發熱
20%~30%的肺鱗癌患者,早期會出現發熱。一部分患者為炎性發熱,通常在38℃左右,使用抗生素治療可能會有一定效果,但很容易反覆發作;另一部分患者為癌性發熱,這類發熱抗炎藥物不會起效,但使用激素類、吲哚類藥物時會有一定的作用。
2.咳嗽
咳嗽是肺鱗癌患者最常見的症狀。通常與阻塞性肺炎、肺不張、黏液分泌改變、胸膜侵犯或其他胸內合併症有關。若是慢性呼吸系統疾病的患者,咳嗽程度突然加重、次數增多、咳嗽性質改變時,要及時檢查。
3.痰中帶血或咯血
肺部血供豐富血管密集,肺部腫物刺激下,咳嗽時極易導致血管破裂、形成出血。咳血多為間斷性或持續性、反覆少量的痰中帶血絲,或少量咯血,偶因較大血管破裂、大的空洞形成或腫瘤破潰入支氣管與肺血管而導致難以控制的大咯血。
4.胸痛
以胸痛為首發症狀者約佔25%。常表現為胸部不規則的隱痛或鈍痛。
早期肺鱗癌患者可以實現臨床治癒,但由於患者確診時多分期較晚、患者合併症較多,復發轉移率很高。到了晚期往往只能透過放化療、靶向藥、及中藥治療延長壽命。
