這8種腫瘤,你想到了嘛?
什麼是側腦室三角區?
側腦室的三個主要部分體部、顳角和枕角的交界處呈三角形,稱側腦室三角區。側腦室體部向後延續為三角區,三角區向後外伸入枕葉形成枕角,向下突入顳葉形成顳角。
富有血管的軟腦膜突入側腦室,被覆有室管膜,形成側腦室脈絡叢,側腦室含豐富脈絡叢,尤其是三角區脈絡叢最發達,常呈球狀,稱脈絡叢球。
側腦室三角區有哪些腫瘤?
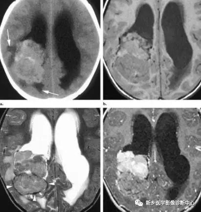
1、脈絡叢乳頭狀瘤
是緩慢生長的良性腫瘤,起源於腦室的脈絡叢上皮細胞。好發於10歲之內的兒童,成人少見。
好發部位:兒童最常見的是側腦室三角區,成人最常見第四腦室。脈絡叢乳頭狀瘤因刺激脈絡叢分泌過多腦脊液引起腦積水。
腫瘤常呈類圓形,邊緣常為絨毛顆粒狀、乳頭狀、小結節狀等,凹凸不平;CT上呈等或稍高密度。MRI上T1WI多呈等或稍低訊號,T2WI多呈高訊號。可分泌腦脊液,引起全腦室擴張,不同於其他腫瘤壓迫引起的區域性腦室擴張。
產生腦脊液遠遠超過正常每天450ML腦脊液量腫瘤中心位於脈絡叢。周圍腦脊液多,腫瘤可完全浸泡在腦脊液中。其內顆粒狀、乳頭狀混雜訊號為其特徵性表現。腫瘤內可見囊變,出血或鈣化。
鈣化為散在局灶性針狀,也可累及整個腫塊。有血管蒂附於脈絡叢。脈絡膜動脈增粗。富血供,平掃可見血管流空。由於脈絡叢含有較多穿支血管且無血腦屏障,增強掃描實性部分及囊壁均明顯強化。
2、脈絡叢乳頭狀癌
極為罕見,多由脈絡叢乳頭狀瘤惡變而來。多見於2-4歲兒童,平均發病年齡為26個月。多見於側腦室三角區。
肉眼觀腫瘤呈不規則乳頭狀結構,多侵犯鄰近腦實質,腦水腫明顯,與正常腦組織邊界不清。鏡下乳頭狀結構不規則,細胞分化不良,可見明顯的有絲分裂,可出血、囊變,壞死多見。可發生蛛網膜下腔種植。
3、室管膜瘤
室管膜瘤約佔顱內腫瘤5%,其中約8%發生於側腦室。主要發生於5歲前,也可發生於較大兒童。幕上以側腦室三角區最為常見,其次為側腦室體部。腫瘤生長較緩慢。
因多位於三角區,早期不易引起腦積水,故發現時腫瘤往往很大。腫瘤多為不規則形,邊緣不光滑或呈分葉狀,與側腦室室壁之間常有廣基底相連或跨壁生長。常侵犯鄰近腦實質;鈣化常見。
易囊變,但較腦實質內室管膜瘤少見。密度/訊號不均勻是室管膜瘤的特點,其原因與腫瘤內鈣化、囊變、出血、壞死有關。
腫瘤實性部分:CT平掃呈等密度或稍高密度,斑點狀鈣化很常見,約佔50%。MRI平掃T1WI呈稍低訊號或等訊號,T2WI為稍高訊號,訊號不均。CT和MR增強掃描腫瘤呈顯著不均勻強化。
4、腦膜瘤
成人側腦室內最常見腫瘤,佔所有腦膜瘤的0.7%。30歲以上,高峰年齡30-60歲,女性好發。
起源於側腦室內脈絡叢組織內的蛛網膜顆粒內帽狀上皮細胞。由於側腦室三角區脈絡叢組織比較豐富,所以側腦室腦膜瘤好發於三角區,左側稍多於右側。側腦室腦膜瘤多為良性腫瘤,文獻報告以纖維型多見。
供血動脈來自脈絡膜前動脈和/或脈絡膜後動脈。生長緩慢,由於側腦室三角區空間較大,一般有症狀患者腫瘤體積均較大。腫瘤較小時呈類圓形,較大時可不規則或分葉狀。
CT平掃顯示為均勻一致等或稍高於腦組織密度的腫塊,約50%出現鈣化,可見囊變,罕見出血。MRI平掃T1WI呈等或稍低訊號,T2WI一般呈等訊號,有鈣化時表現為低訊號。
增強掃描為中等度強化或明顯強化,可強化不均;邊緣光整,境界清楚。不向腦組織內侵襲,較小的腫瘤多無周圍腦水腫。腫瘤常引起側腦室顳角擴大和區域性脈絡叢鈣化移位。
氫質子波譜可見Cho峰明顯增高,缺乏NAA峰和Cr峰(腦外腫瘤),可出現Ala(丙氨酸)峰。周圍腦實質可見輕-中度水腫。瘤周水腫是由於瘤體體積較大時對腦室周圍機械性壓迫導致靜脈迴流障礙及壓力差致使水滲透出。
至腦實質所致;亦有認為是腫瘤合併區域性腦室壓力升高致室管膜水腫或腦脊液透過破裂的室管膜向白質逆流所致。兒童發現側腦室腦膜瘤應注意是否存在神經纖維瘤病可能。
特點:文獻報道側腦室三角區腦膜瘤增強掃描與脈絡叢關係密切,這是重要特徵之一,類似與腦膜尾徵,或可稱之為“脈絡叢尾徵”。
5、膠質母細胞瘤
膠質母細胞瘤因其瘤細胞具有多形性及高度異型性,因此又稱多形性膠質母細胞瘤。多位於幕上大腦半球白質區,發生於側腦室非常少見,多位於體部和前角,位於三角區者罕見。
成人多見,高峰年齡45-75歲。早期臨床表現不典型,隨著的腫瘤體積的增大,出現梗阻性腦積水或壓迫周圍組織而產生症狀,常見症狀為顱壓高所致頭痛、視乳頭水腫等。
形態:團塊狀,血供豐富,生長較快。
水腫:腫瘤周圍血腦屏障破壞並相鄰血管功能異常,血管通透性增加。
訊號:長T1長T2為主的不均質訊號,是由於瘤細胞的間變性,發育不成熟,細胞含水量大且形態不規則。
壞死:腫瘤的不均勻快速增長使得中心部位缺血、缺氧而壞死。
出血:供瘤血管多不成熟,功能不全,故出血後易導致區域性含鐵血黃素沉積。
侵襲性:突破中線累及對側腦組織,“蝴蝶徵”;沿室管膜播散。
共性:表現為明顯的不均質,T1WI呈等、低訊號,T2WI呈等、稍高訊號,瘤內可有出血、囊變、壞死,腫瘤實性部分DWI呈高訊號,ADC圖呈等、低訊號,增強呈明顯不均勻強化,典型的表現為花環樣、簇狀強化。
特性:腫瘤沿室管膜、室管膜下和白質纖維、周圍腦質播散明顯廣泛,可出現腦積水。
6、淋巴瘤
源於顱內淋巴、網狀細胞系統。多發生於大腦半球深部及中線區,發生於側腦室罕見。CT呈等或略高密度結節。MR平掃T1WI呈略低或等到訊號,T2WI呈等、低或略高訊號,邊界清楚,DWI呈高訊號,ADC圖低訊號。增強掃描多呈明顯均勻強化。
7、海綿狀血管瘤
顱內海綿狀血管瘤(CA)為先天性腦血管畸形之一,約佔血管畸形的1.9%-6.0%。好發於中年(30-50歲),男女比例無差異。多發生於腦實質內,發生於腦室內的罕見。
臨床表現:常無明顯症狀,可有頭痛、視乳頭水腫、癲癇發作。大體標本上CA呈深紅色界限清楚的團塊狀病灶。
顯微鏡下由缺乏肌層及彈力層的海綿樣血管竇構成,其間無腦組織,瘤內可見出血及鈣化,常有含鐵血黃素及膠質增生;無供血動脈和引流靜脈的異常和增粗。
邊界清楚的圓形或類圓形等-高密度腫塊,密度均勻或不均勻,常伴有不同程度的鈣化或出血。增強可有輕度到中度增強,強化程度與病灶內血栓形成和鈣化有關,典型表現為不均勻的斑點狀增強。
病灶周圍一般無水腫,無或僅輕度佔位效應。MRI呈邊界清楚的混雜訊號,周圍有完整的低訊號含鐵血黃素環,病灶呈“爆米花”狀,具有特徵性。
病灶內含有不同階段的出血是訊號不均勻的原因;T1WI呈高訊號,是海綿狀血管瘤的特徵。增強可明顯強化,也可強化不明顯。
8、神經上皮囊腫
神經上皮囊腫,發生於腦室內一般為室管膜囊腫,以側腦室三角區為最常見。肉眼觀囊性病灶,境界清楚;鏡下可見囊腫壁襯以上皮細胞樣細胞。
免疫組化:膠質纖維酸性蛋白染色強陽性(GFAP+++)。任何年齡均可發生,室管膜囊腫出現症狀平均年齡33歲。CT呈均勻囊樣低密度,可見薄的囊壁,囊內充滿腦脊液樣物,無鈣化,無瘤周水腫。增強掃描病灶無強化。
MR:平掃囊液成分與腦脊液訊號相似,T1WI呈低訊號,T2WI呈高訊號,病灶呈橢圓形、卵圓形或紡錘形,可見薄的囊壁,無瘤周水腫。增強掃描病灶無強化,可見增強的脈絡叢被推移。
來源:新鄉醫學影像診斷中心
【版權宣告】本平臺屬公益學習平臺,轉載系出於傳遞更多學習資訊之目的,且已標明作者和出處,如不希望被傳播的老師可與我們聯絡刪除
